Shopping Cart
Remove All
Your shopping cart is currently empty
Anti-HNF4A Polyclonal Antibody is a Rabbit antibody targeting HNF4A. Anti-HNF4A Polyclonal Antibody can be used in IF,IHC-Fr,IHC-P,WB.
| Pack Size | Price | USA Stock | Global Stock | Quantity |
|---|---|---|---|---|
| 50 μL | $220 | 7-10 days | 7-10 days | |
| 100 μL | $372 | 7-10 days | 7-10 days | |
| 200 μL | $527 | 7-10 days | 7-10 days |
| Description | Anti-HNF4A Polyclonal Antibody is a Rabbit antibody targeting HNF4A. Anti-HNF4A Polyclonal Antibody can be used in IF,IHC-Fr,IHC-P,WB. |
| Ig Type | IgG |
| Reactivity | Human,Mouse,Rat |
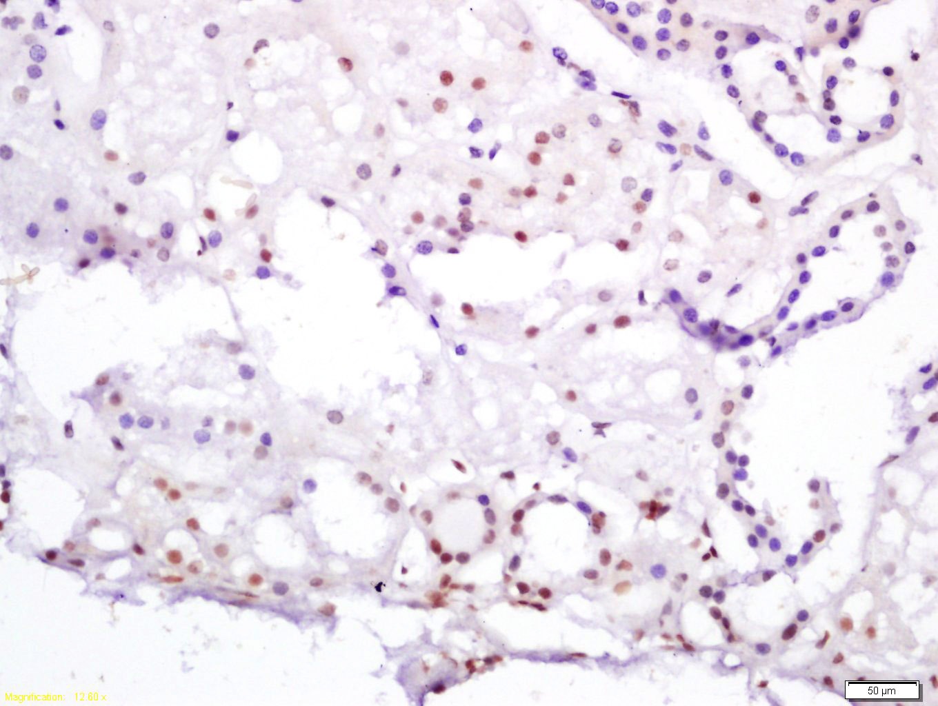
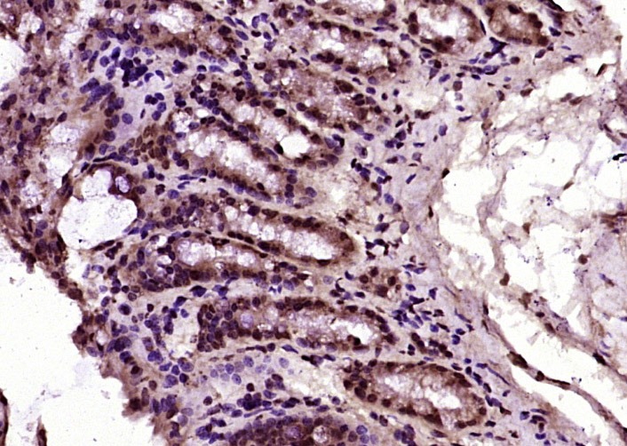
| Verified Activity | 1. Sample: BRL-3a (Rat) Cell Lysate at 30 μg Primary: Anti-HNF4A (TMAB-00877) at 1/500 dilution Secondary: IRDye800CW Goat Anti-Rabbit IgG at 1/20000 dilution Predicted band size: 52 kDa Observed band size: 52 kDa 2. Tissue/cell: human kidney tissue; 4% Paraformaldehyde-fixed and paraffin-embedded; Antigen retrieval: citrate buffer (0.01M, pH6.0), Boiling bathing for 15 min; Block endogenous peroxidase by 3% Hydrogen peroxide for 30 min; Blocking buffer (normal goat serum) at 37°C for 20 min; Incubation: Anti-HNF4A Polyclonal Antibody, Unconjugated (TMAB-00877) 1:200, overnight at 4°C, followed by conjugation to the secondary antibody and DAb staining. 3. Paraformaldehyde-fixed, paraffin embedded (Mouse colon); Antigen retrieval by boiling in sodium citrate buffer (pH6.0) for 15 min; Block endogenous peroxidase by 3% hydrogen peroxide for 20 min; Blocking buffer (normal goat serum) at 37°C for 30 min; Antibody incubation with (HNF4A) Polyclonal Antibody, Unconjugated (TMAB-00877) at 1:400 overnight at 4°C, followed by operating according to SP Kit (Rabbit) instructionsand DAB staining. 4. Sample: Hcclm3 Cell (Human) Lysate at 40 μg Primary: Anti-HNF4A (TMAB-00877) at 1/300 dilution Secondary: IRDye800CW Goat Anti-Rabbit IgG at 1/20000 dilution Predicted band size: 52 kDa Observed band size: 52 kDa ![]() ![]() ![]() ![]() |
| Application | |
| Recommended Dose | WB: 1:500-1000; IHC-P: 1:100-500; IHC-Fr: 1:100-500; IF: 1:100-500 |
| Antibody Type | Polyclonal |
| Host Species | Rabbit |
| Subcellular Localization | Nucleus. |
| Construction | Polyclonal Antibody |
| Purification | Protein A purified |
| Appearance | Liquid |
| Formulation | 0.01M TBS (pH7.4) with 1% BSA, 0.02% Proclin300 and 50% Glycerol. |
| Concentration | 1 mg/mL |
| Research Background | The protein encoded by the HNF4 gene is a nuclear transcription factor which binds DNA as a homodimer. The encoded protein controls the expression of several genes, including hepatocyte nuclear factor 1 alpha, a transcription factor which regulates the expression of several hepatic genes. This gene may play a role in development of the liver, kidney, and intestines. Mutations in this gene have been associated with monogenic autosomal dominant non insulin dependent diabetes mellitus type I. At least three different transcript variants encoding three different isoforms have been found for this gene. |
| Immunogen | KLH conjugated synthetic peptide: human HNF4 alpha |
| Antigen Species | Human |
| Gene Name | HNF4A |
| Gene ID | |
| Protein Name | Hepatocyte nuclear factor 4-alpha |
| Uniprot ID | |
| Biology Area | Energy Metabolism,Heart disease,Diabetes,Cancer,Cytochromes,Lipid metabolism,Lipases,Cholesterol Metabolism,Energy Metabolism,Pol II Transcription,Liver development,Cytochromes,Cholesterol Metabolism,Extrinsic,Diabetes associated,Metabolism of lipids and lipoproteins |
| Function | Transcriptionally controlled transcription factor. Binds to DNA sites required for the transcription of alpha 1-antitrypsin, apolipoprotein CIII, transthyretin genes and HNF1-alpha. May be essential for development of the liver, kidney and intestine. |
| Molecular Weight | Theoretical: 52 kDa. Actual: 52 kDa. |
| Stability & Storage | Store at -20°C or -80°C for 12 months. Avoid repeated freeze-thaw cycles. |
| Transport | Shipping with blue ice. |
| Size | Quantity | Unit Price | Amount | Operation |
|---|

Copyright © 2015-2026 TargetMol Chemicals Inc. All Rights Reserved.