Shopping Cart
Remove All
Your shopping cart is currently empty
Anti-HLA-DPB1 Antibody (7X876) is a Rabbit antibody targeting HLA-DPB1. Anti-HLA-DPB1 Antibody (7X876) can be used in ICC/IF,IHC,IP,WB.
| Pack Size | Price | USA Warehouse | Global Warehouse | Quantity |
|---|---|---|---|---|
| 50 μL | $297 | 7-10 days | 7-10 days | |
| 100 μL | $498 | 7-10 days | 7-10 days |
| Description | Anti-HLA-DPB1 Antibody (7X876) is a Rabbit antibody targeting HLA-DPB1. Anti-HLA-DPB1 Antibody (7X876) can be used in ICC/IF,IHC,IP,WB. |
| Synonyms | MHC class II antigen DPB1, HLA-DPB1, HLA-DP1B, HLA class II histocompatibility antigen, DP(W4) beta chain, HLA class II histocompatibility antigen, DP beta 1 chain, DP beta 1 chain |
| Ig Type | IgG |
| Clone | 7X876 |
| Reactivity | Human |
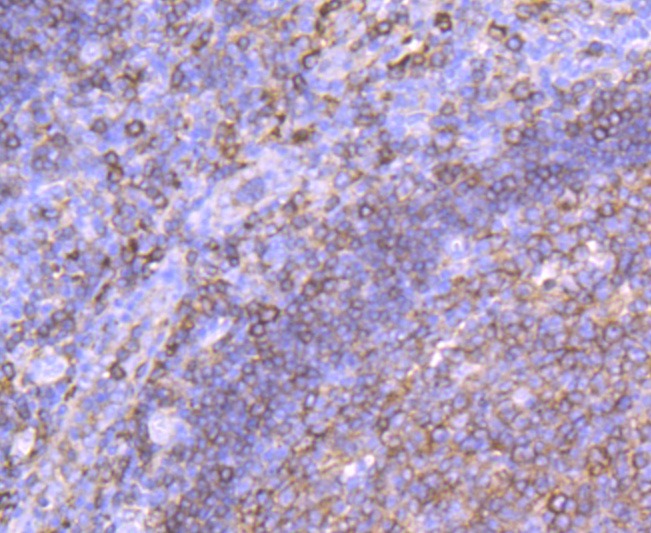
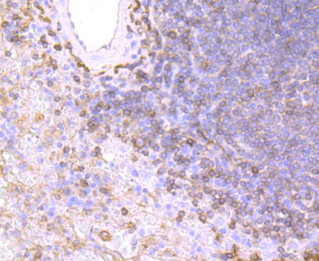
| Verified Activity | 1. Immunohistochemical analysis of paraffin-embedded human tonsil tissue using anti- MHC Class II antibody. Counter stained with hematoxylin. 2. Immunohistochemical analysis of paraffin-embedded human spleen tissue using anti- MHC Class II antibody. Counter stained with hematoxylin. ![]() ![]() |
| Application | |
| Recommended Dose | WB: 1:500-1000; IHC: 1:50-200; ICC/IF: 1:50-100; IP: 1:10-50 |
| Antibody Type | Monoclonal |
| Host Species | Rabbit |
| Construction | Recombinant Antibody |
| Purification | ProA affinity purified |
| Appearance | Liquid |
| Formulation | 1*TBS (pH7.4), 1%BSA, 40%Glycerol. Preservative: 0.05% Sodium Azide. |
| Research Background | Major histocompatibility complex (MHC) molecules, also designated human leukocyte antigen (HLA) molecules, are cell-surface receptors that bind foreign peptides and present them to T lymphocytes. MHC class I molecules consist of two polypeptide chains, an α or heavy chain and β-2-Microglobulin, a non-covalently associated protein. Cytotoxic T lymphocytes bind antigenic peptides presented by MHC class I molecules. Antigens that bind to MHC class I molecules are typically eight to ten residues in length and are stabilized in a peptide binding groove. MHC class II molecules are encoded by polymorphic MHC genes and consist of a non-covalent complex of an α and β chain. Helper T lymphocytes bind antigenic peptides presented by MHC class II molecules. MHC class II molecules bind 13-18 amino acid antigenic peptides. Accumu-lating in endosomal/lysosomal compartments and on the surface of B cells, HLA-DM and -DO molecules regulate binding of exogenous peptides to class II molecules (HLA-DR) by sustaining a conformation that favors peptide exchange. The differential structural properties of MHC class I and class II molecules account for their respective roles in activating different populations of T lymphocytes. |
| Conjucates | Unconjugated |
| Immunogen | Recombinant Protein |
| Uniprot ID |
| Molecular Weight | Theoretical: 29 kDa. |
| Stability & Storage | Store at -20°C or -80°C for 12 months. Avoid repeated freeze-thaw cycles. |
| Transport | Shipping with blue ice. |
| Size | Quantity | Unit Price | Amount | Operation |
|---|

Copyright © 2015-2026 TargetMol Chemicals Inc. All Rights Reserved.