Shopping Cart
Remove All
Your shopping cart is currently empty
Anti-HK2 Polyclonal Antibody is a Rabbit antibody targeting HK2. Anti-HK2 Polyclonal Antibody can be used in IF, IHC-Fr, IHC-P, WB.
| Pack Size | Price | USA Stock | Global Stock | Quantity |
|---|---|---|---|---|
| 50 μL | $222 | 7-10 days | 7-10 days | |
| 100 μL | $372 | 7-10 days | 7-10 days | |
| 200 μL | $527 | 7-10 days | 7-10 days |
| Description | Anti-HK2 Polyclonal Antibody is a Rabbit antibody targeting HK2. Anti-HK2 Polyclonal Antibody can be used in IF, IHC-Fr, IHC-P, WB. |
| Synonyms | HXK2, HKII |
| Ig Type | IgG |
| Reactivity | Human,Mouse (predicted:Rat,Dog,Pig,Cow,Rabbit,Sheep) |
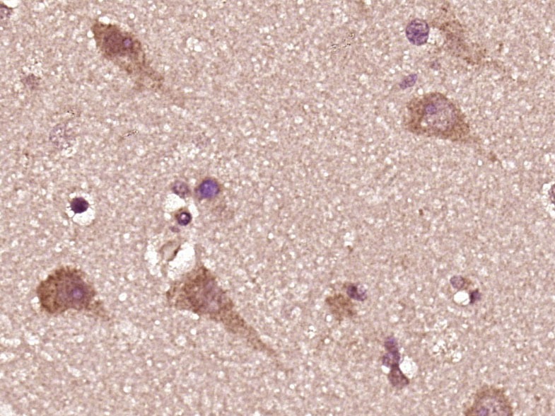
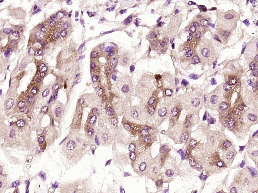
| Verified Activity | 1. Paraformaldehyde-fixed, paraffin embedded (Mouse stomach); Antigen retrieval by boiling in sodium citrate buffer (pH6.0) for 15 min; Block endogenous peroxidase by 3% hydrogen peroxide for 20 min; Blocking buffer (normal goat serum) at 37°C for 30 min; Antibody incubation with (Hexokinase 2) Polyclonal Antibody, Unconjugated (TMAB-00868) at 1:400 overnight at 4°C, followed by operating according to SP Kit (Rabbit) instructionsand DAB staining. 2. Paraformaldehyde-fixed, paraffin embedded (Human brain glioma); Antigen retrieval by boiling in sodium citrate buffer (pH6.0) for 15 min; Block endogenous peroxidase by 3% hydrogen peroxide for 20 min; Blocking buffer (normal goat serum) at 37°C for 30 min; Antibody incubation with (Hexokinase 2) Polyclonal Antibody, Unconjugated (TMAB-00868) at 1:400 overnight at 4°C, followed by operating according to SP Kit (Rabbit) instructionsand DAB staining. 3. Sample: Heart (Mouse) Lysate at 40 μg Muscle (Mouse) Lysate at 40 μg Primary: Anti-Hexokinase II (TMAB-00868) at 1/300 dilution Secondary: IRDye800CW Goat Anti-Rabbit IgG at 1/20000 dilution Predicted band size: 102 kDa Observed band size: 102 kDa ![]() ![]() ![]() |
| Application | |
| Recommended Dose | IF=1:100-500; IHC-Fr=1:100-500; IHC-P=1:100-500; WB=1:500-2000 |
| Antibody Type | Polyclonal |
| Host Species | Rabbit |
| Subcellular Localization | Mitochondrion outer membrane. Its hydrophobic N-terminal sequence may be involved in membrane binding. |
| Tissue Specificity | Predominant hexokinase isozyme expressed in insulin-responsive tissues such as skeletal muscle. |
| Construction | Polyclonal Antibody |
| Purification | Protein A purified |
| Appearance | Liquid |
| Formulation | 0.01M TBS (pH7.4) with 1% BSA, 0.02% Proclin300 and 50% Glycerol. |
| Concentration | 1 mg/mL |
| Research Background | The hexokinases utilize Mg-ATP as a phosphoryl donor to catalyze the first step of intracellular glucose metabolism, the conversion of glucose to glucose-6-phosphate. Four hexokinase isoenzymes have been identified, including hexokinase I (HXK I), hexokinase II (HXK II), hexokinase III (HXK III) and hexokinase IV (HXK IV, also designated glucokinase or GCK). Hexokinases I-III each contain an N-terminal cluster of hydrophobic amino acids. Glucokinase lacks the N-terminal hydrophobic cluster. The hydrophobic cluster is thought to be necessary for membrane binding. This is substantiated by the finding that glucokinase has lower affinity for glucose than do the other hexokinases. HXK I has been shown to be expressed in brain, kidney and heart tissues as well as in hepatoma cell lines. HXK II is involved in the uptake and utilization of glucose by adipose and skeletal tissues. Of the hexokinases, HXK III has the highest affinity for glucose. Glucokinase is expressed in pancreatic beta cells where it functions as a glucose sensor, determining the “set point” for insulin secretion. |
| Immunogen | KLH conjugated synthetic peptide: human Hexokinase II/HxK2 |
| Antigen Species | Human |
| Gene Name | HK2 |
| Gene ID | |
| Protein Name | Hexokinase-2 |
| Uniprot ID | |
| Biology Area | Metabolism of carbohydrates,Cardiac metabolism,Carbohydrate metabolism,Energy Metabolism,Energy Metabolism |
| Function | Predominant hexokinase isozyme expressed in insulin-responsive tissues such as skeletal muscle. |
| Molecular Weight | Theoretical: 102 kDa. Actual: 102 kDa. |
| Stability & Storage | Store at -20°C or -80°C for 12 months. Avoid repeated freeze-thaw cycles. |
| Transport | Shipping with blue ice. |
| Size | Quantity | Unit Price | Amount | Operation |
|---|

Copyright © 2015-2026 TargetMol Chemicals Inc. All Rights Reserved.