Shopping Cart
Remove All
Your shopping cart is currently empty
Anti-Histone H2B type 1-K Antibody (4Z139) is a Rabbit antibody targeting Histone H2B type 1-K. Anti-Histone H2B type 1-K Antibody (4Z139) can be used in FCM,ICC/IF,IHC,IP,WB.
| Pack Size | Price | USA Warehouse | Global Warehouse | Quantity |
|---|---|---|---|---|
| 50 μL | $297 | 7-10 days | 7-10 days | |
| 100 μL | $497 | 7-10 days | 7-10 days |
| Description | Anti-Histone H2B type 1-K Antibody (4Z139) is a Rabbit antibody targeting Histone H2B type 1-K. Anti-Histone H2B type 1-K Antibody (4Z139) can be used in FCM,ICC/IF,IHC,IP,WB. |
| Ig Type | IgG |
| Clone | 4Z139 |
| Reactivity | Human,Mouse,Rat |
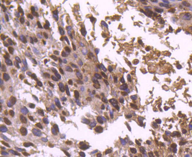
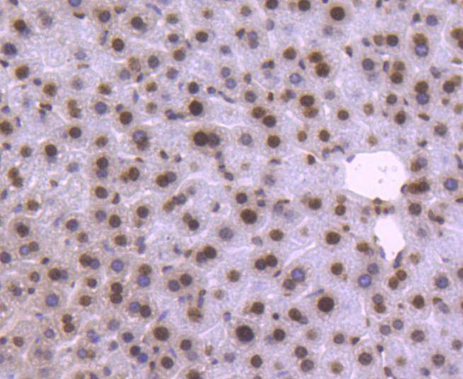
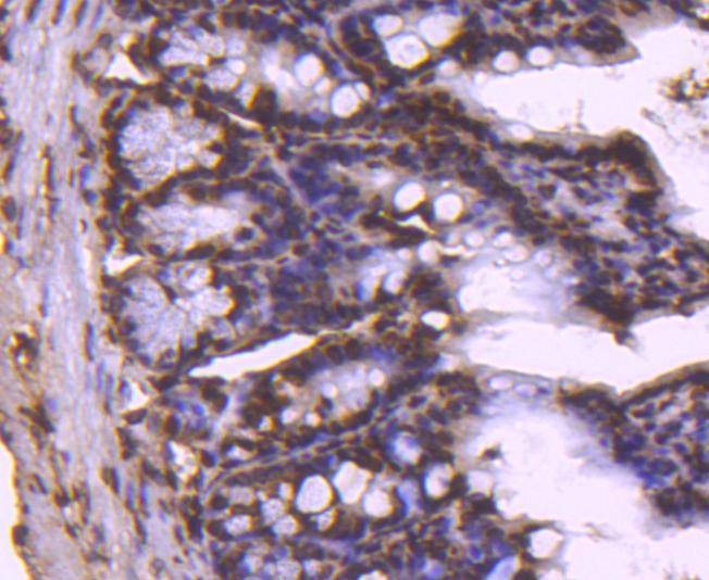
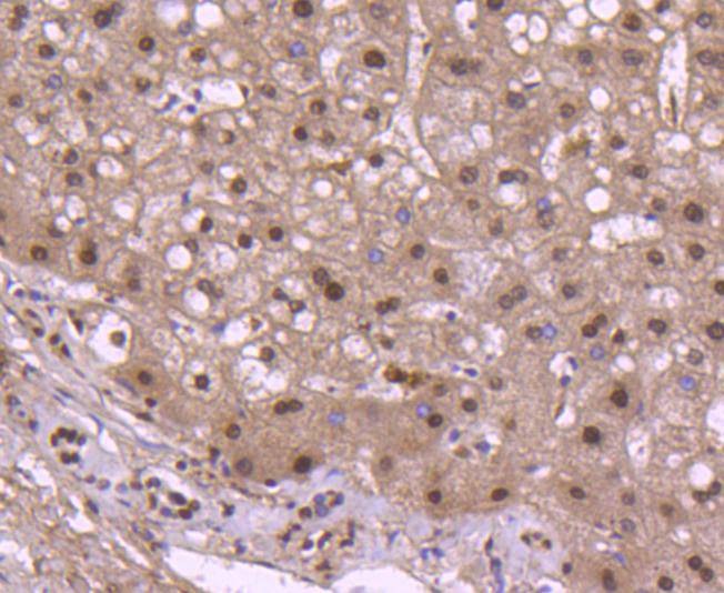
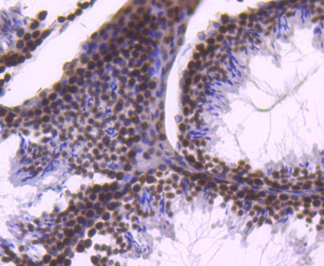
| Verified Activity | 1. Western blot analysis of Histone H2B on different lysates using anti-Histone H2B antibody at 1/1,000 dilution. Positive control: Lane 1: Hela, Lane 2: NIH/3T3, Lane 3: PC12. 2. Immunohistochemical analysis of paraffin-embedded human tonsil tissue using anti-Histone H2B antibody. Counter stained with hematoxylin. 3. Immunohistochemical analysis of paraffin-embedded human liver tissue using anti-Histone H2B antibody. Counter stained with hematoxylin. 4. Immunohistochemical analysis of paraffin-embedded mouse liver tissue using anti-Histone H2B antibody. Counter stained with hematoxylin. 5. Immunohistochemical analysis of paraffin-embedded mouse testis tissue using anti-Histone H2B antibody. Counter stained with hematoxylin. 6. Immunohistochemical analysis of paraffin-embedded mouse colon tissue using anti-Histone H2B antibody. Counter stained with hematoxylin. 7. Immunohistochemical analysis of paraffin-embedded human breast carcinoma tissue using anti-Histone H2B antibody. Counter stained with hematoxylin. 8. ICC staining Histone H2B in A431 cells (green). The nuclear counter stain is DAPI (blue). Cells were fixed in paraformaldehyde, permeabilised with 0.25% Triton X100/PBS. 9. Flow cytometric analysis of Hela cells with Histone H2B antibody at 1/50 dilution (red) compared with an unlabelled control (cells without incubation with primary antibody; black). Alexa Fluor 488-conjugated goat anti rabbit IgG was used as the secondary antibody. ![]() ![]() ![]() ![]() ![]() ![]() ![]() ![]() ![]() |
| Application | |
| Recommended Dose | WB: 1:1000-5000; IHC: 1:50-200; ICC/IF: 1:100-500; FCM: 1:50-100 |
| Antibody Type | Monoclonal |
| Host Species | Rabbit |
| Construction | Recombinant Antibody |
| Purification | ProA affinity purified |
| Appearance | Liquid |
| Formulation | 1*TBS (pH7.4), 1%BSA, 40%Glycerol. Preservative: 0.05% Sodium Azide. |
| Research Background | Eukaryotic histones are basic and water soluble nuclear proteins that form hetero-octameric nucleosome particles by wrapping 146 base pairs of DNA in a left-handed super-helical turn sequentially to form chromosomal fiber. Two molecules of each of the four core histones (H2A, H2B, H3, and H4) form the octamer; formed of two H2A-H2B dimers and two H3-H4 dimers, forming two nearly symmetrical halves by tertiary structure. Over 80% of nucleosomes contain the linker Histone H1, derived from an intronless gene, that interacts with linker DNA between nucleosomes and mediates compaction into higher order chromatin. Histones are subject to posttranslational modification by enzymes primarily on their N-terminal tails, but also in their globular domains. Such modifications include methylation, citrullination, acetylation, phosphorylation, sumoylation, ubiquitination and ADP-ribosylation. |
| Conjucates | Unconjugated |
| Immunogen | Recombinant Protein |
| Uniprot ID |
| Molecular Weight | Theoretical: 14 kDa. |
| Stability & Storage | Store at -20°C or -80°C for 12 months. Avoid repeated freeze-thaw cycles. |
| Transport | Shipping with blue ice. |
| Size | Quantity | Unit Price | Amount | Operation |
|---|

Copyright © 2015-2026 TargetMol Chemicals Inc. All Rights Reserved.