Shopping Cart
- Remove All
 Your shopping cart is currently empty Your shopping cart is currently empty
Anti-HERC6 Polyclonal Antibody is a Rabbit antibody targeting HERC6. Anti-HERC6 Polyclonal Antibody can be used in IF,IHC-Fr,IHC-P,WB.
| Pack Size | Price | Availability | Quantity | 
|---|---|---|---|
| 50 μL | $222 | 7-10 days | |
| 100 μL | $372 | 7-10 days | |
| 200 μL | $527 | 7-10 days | 
| Description | Anti-HERC6 Polyclonal Antibody is a Rabbit antibody targeting HERC6. Anti-HERC6 Polyclonal Antibody can be used in IF,IHC-Fr,IHC-P,WB. | 
| Synonyms | Probable E3 ubiquitin protein ligase HERC6, Potential ubiquitin ligase, HERC6, HERC 6, Hect domain and RLD 6, HECT domain and RCC1-like domain-containing protein 6, HECT domain and RCC1 like domain containing protein 6, FLJ20637 | 
| Ig Type | IgG | 
| Reactivity | Human,Mouse,Rat (predicted:Pig,Rabbit) | 
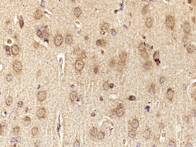
| Verified Activity | 1. Paraformaldehyde-fixed, paraffin embedded (Rat brain); Antigen retrieval by boiling in sodium citrate buffer (pH6.0) for 15 min; Block endogenous peroxidase by 3% hydrogen peroxide for 20 min; Blocking buffer (normal goat serum) at 37°C for 30 min; Antibody incubation with (HERC6) Polyclonal Antibody, Unconjugated (TMAB-00848) at 1:400 overnight at 4°C, followed by operating according to SP Kit (Rabbit) instructionsand DAB staining. 2. Sample: Lane 1: Mouse Placenta tissue lysates Lane 2: Mouse Testis tissue lysates Lane 3: Rat Placenta tissue lysates Lane 4: Rat Testis tissue lysates Lane 5: Human HL-60 cell lysates Lane 6: Human A431 cell lysates Lane 7: Human MOLT4 cell lysates Primary: Anti-HERC6 (TMAB-00848) at 1/1000 dilution Secondary: IRDye800CW Goat Anti-Rabbit IgG at 1/20000 dilution Predicted band size: 115 kDa Observed band size: 135 kDa   | 
| Application | |
| Recommended Dose | WB: 1:500-2000; IHC-P: 1:100-500; IHC-Fr: 1:100-500; IF: 1:100-500 | 
| Antibody Type | Polyclonal | 
| Host Species | Rabbit | 
| Subcellular Localization | Cytoplasm, cytosol. | 
| Tissue Specificity | Detected in brain, heart, placenta and testis. | 
| Construction | Polyclonal Antibody | 
| Purification | Protein A purified | 
| Appearance | Liquid | 
| Formulation | 0.01M TBS (pH7.4) with 1% BSA, 0.02% Proclin300 and 50% Glycerol. | 
| Concentration | 1 mg/mL | 
| Immunogen | KLH conjugated synthetic peptide: human HERC6 | 
| Antigen Species | Human | 
| Gene Name | HERC6 | 
| Gene ID | |
| Protein Name | Probable E3 ubiquitin-protein ligase HERC6 | 
| Uniprot ID | |
| Biology Area | Hect E3 Ligase | 
| Function | E3 ubiquitin-protein ligase which accepts ubiquitin from an E2 ubiquitin-conjugating enzyme in the form of a thioester and then directly transfers the ubiquitin to targeted substrates (By similarity). | 
| Molecular Weight | Theoretical: 115 kDa. | 
| Stability & Storage | Store at -20°C or -80°C for 12 months. Avoid repeated freeze-thaw cycles. | 
| Transport | Shipping with blue ice. | 

Copyright © 2015-2025 TargetMol Chemicals Inc. All Rights Reserved.