Shopping Cart
- Remove All
 Your shopping cart is currently empty Your shopping cart is currently empty
Anti-HER2/ERBB2 Antibody (9O395) is a Mouse antibody targeting HER2/ERBB2. Anti-HER2/ERBB2 Antibody (9O395) can be used in IHC,WB.
| Pack Size | Price | Availability | Quantity | 
|---|---|---|---|
| 50 μL | $218 | 7-10 days | |
| 100 μL | $318 | 7-10 days | 
| Description | Anti-HER2/ERBB2 Antibody (9O395) is a Mouse antibody targeting HER2/ERBB2. Anti-HER2/ERBB2 Antibody (9O395) can be used in IHC,WB. | 
| Synonyms | TKR1, NGL, NEU, MLN19, MLN 19, HERVW, HERV7Q, herstatin, HER-2, HER2, ERVWE1, ERBB2, ENVW, ENV, EGFR2, CD340 | 
| Clone | 9O395 | 
| Reactivity | Human,Mouse,Rat | 
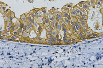
| Verified Activity | 1. Western blot analysis of Hela cell lysate (lane 1) and mouse brain (lane 2), using TMAC-01351 diluted at 1:4,000. 2. IHC staining of human breast cancer tissue with ErbB-2/HER-2 mouse mAb diluted at 1:200.   | 
| Application | |
| Recommended Dose | WB: 1:2000-4000; IHC: 1:200 | 
| Antibody Type | Monoclonal | 
| Host Species | Mouse | 
| Construction | Hybridoma Monoclonal Antibody | 
| Purification | Affinity purification using immunogen. | 
| Appearance | Liquid | 
| Formulation | Mouse IgG1 in phosphate buffered saline (without Mg2+ and Ca2+), pH 7.4, 150mM NaCl, 0.02% sodium azide and 50% glycerol. | 
| Research Background | ErbB 2 is a receptor tyrosine kinase of the ErbB 2 family. It is closely related instructure to the epidermal growth factor receptor. ErbB 2 oncoprotein is detectable in a proportion of breast and other adenocarconomas, as well as transitional cell carcinomas. In the case of breast cancer, expression determined by immunohistochemistry has been shown to be associated with poor prognosis. | 
| Conjucates | Unconjugated | 
| Uniprot ID | 
| Molecular Weight | Actual: 138 kDa. | 
| Stability & Storage | Store at -20°C or -80°C for 12 months. Avoid repeated freeze-thaw cycles. | 
| Transport | Shipping with blue ice. | 

Copyright © 2015-2025 TargetMol Chemicals Inc. All Rights Reserved.