Shopping Cart
Remove All
Your shopping cart is currently empty
Anti-HAMP Antibody (6Z883) is a Rabbit antibody targeting HAMP. Anti-HAMP Antibody (6Z883) can be used in IHC,WB.
| Pack Size | Price | USA Warehouse | Global Warehouse | Quantity |
|---|---|---|---|---|
| 50 μL | $296 | 7-10 days | 7-10 days | |
| 100 μL | $497 | 7-10 days | 7-10 days |
| Description | Anti-HAMP Antibody (6Z883) is a Rabbit antibody targeting HAMP. Anti-HAMP Antibody (6Z883) can be used in IHC,WB. |
| Synonyms | Putative liver tumor regressor, Liver-expressed antimicrobial peptide 1, LEAP1, HEPC |
| Ig Type | IgG |
| Clone | 6Z883 |
| Reactivity | Human,Rat |
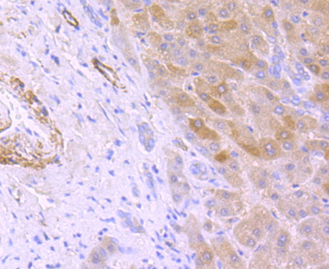
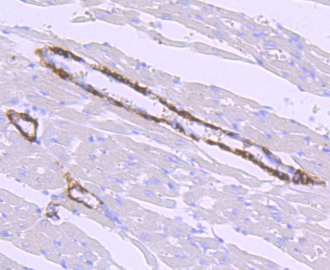
| Verified Activity | 1. Immunohistochemical analysis of paraffin-embedded human liver tissue using anti- Hepcidin antibody. Counter stained with hematoxylin. 2. Immunohistochemical analysis of paraffin-embedded rat heart tissue using anti- Hepcidin antibody. Counter stained with hematoxylin. 3. Immunohistochemical analysis of paraffin-embedded rat brain tissue using anti- Hepcidin antibody. Counter stained with hematoxylin. ![]() ![]() ![]() |
| Application | |
| Recommended Dose | WB: 1:500-1000; IHC: 1:50-200 |
| Antibody Type | Monoclonal |
| Host Species | Rabbit |
| Construction | Recombinant Antibody |
| Purification | ProA affinity purified |
| Appearance | Liquid |
| Formulation | 1*TBS (pH7.4), 1%BSA, 40%Glycerol. Preservative: 0.05% Sodium Azide. |
| Research Background | Hepcidin, also known as HAMP, HEPC, LEAP1 or HFE2B, is an 84 amino acid secreted protein that regulates iron-related signaling events. Highly expressed in liver with lower expression in heart, brain, lung, prostate and thyroid, hepcidin is thought to maintain iron homeostasis and, in conjunction with the HFE protein (a protein that is defective in hereditary hemochromatosis), may mediate both iron storage in macrophages and intestinal iron absorption. Additionally, hepcidin has strong antimicrobial activity against gram-positive and gram-negative bacteria, as well as certain yeast strains, suggesting that hepcidin may play a crucial role in staving off bacterial infections. Defects in the gene encoding hepcidin are the cause of hemochromatosis type 2B (also known as juvenile hemochromatosis), an early-onset autosomal recessive disorder that results in severe iron overload and is characterized by hepatic fibrosis, hypogonadotrophic hypogonadism and cardiomyopathy. |
| Conjucates | Unconjugated |
| Immunogen | Recombinant Protein |
| Uniprot ID |
| Molecular Weight | Theoretical: 3 kDa. |
| Stability & Storage | Store at -20°C or -80°C for 12 months. Avoid repeated freeze-thaw cycles. |
| Transport | Shipping with blue ice. |
| Size | Quantity | Unit Price | Amount | Operation |
|---|

Copyright © 2015-2026 TargetMol Chemicals Inc. All Rights Reserved.