Shopping Cart
Remove All
Your shopping cart is currently empty
Anti-H Cadherin Antibody (2P227) is a Rabbit antibody targeting H Cadherin. Anti-H Cadherin Antibody (2P227) can be used in IHC,WB.
| Pack Size | Price | USA Warehouse | Global Warehouse | Quantity |
|---|---|---|---|---|
| 50 μL | $297 | 7-10 days | 7-10 days | |
| 100 μL | $498 | 7-10 days | 7-10 days |
| Description | Anti-H Cadherin Antibody (2P227) is a Rabbit antibody targeting H Cadherin. Anti-H Cadherin Antibody (2P227) can be used in IHC,WB. |
| Synonyms | cadherin 13 |
| Ig Type | IgG |
| Clone | 2P227 |
| Reactivity | Human,Mouse,Rat |
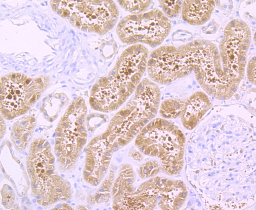
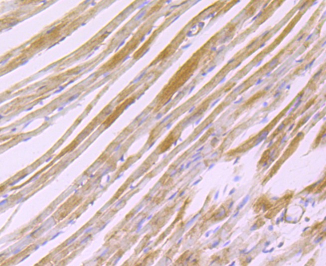
| Verified Activity | 1. Immunohistochemical analysis of paraffin-embedded rat skeletal muscle tissue using anti-H Cadherin antibody. Counter stained with hematoxylin. 2. Immunohistochemical analysis of paraffin-embedded human kidney tissue using anti-H Cadherin antibody. Counter stained with hematoxylin. 3. Immunohistochemical analysis of paraffin-embedded human fetal skeletal muscle tissue using anti-H Cadherin antibody. Counter stained with hematoxylin. 4. Immunohistochemical analysis of paraffin-embedded mouse heart tissue using anti-H Cadherin antibody. Counter stained with hematoxylin. ![]() ![]() ![]() ![]() |
| Application | |
| Recommended Dose | IHC: 1:50-200 |
| Antibody Type | Monoclonal |
| Host Species | Rabbit |
| Construction | Recombinant Antibody |
| Purification | ProA affinity purified |
| Appearance | Liquid |
| Formulation | 1*TBS (pH7.4), 1%BSA, 40%Glycerol. Preservative: 0.05% Sodium Azide. |
| Research Background | Cadherins comprise a family of Ca++-dependent adhesion molecules that function to mediate cell-cell binding critical to the maintenance of tissue structure and morphogen-esis. Cadherins each contain a large extracellular domains characterized by a series of five homologous repeats, the most distal of which is thought to be responsible for binding specificity. The relatively short intracellular domains interact with a variety of cytoplasmic proteins, such as β-catenin, to regulate cadherin function. T-cadherin (for truncated-cadherin), also designated heart-cadherin or cadherin-13) expression levels have been shown to be reduced in human breast cancers and carcinoma cell lines. Evidence suggests that decreased levels of T-cadherin indicate a progression in breast malignancies. |
| Conjucates | Unconjugated |
| Immunogen | Recombinant Protein: human H Cadherin aa 1-200 |
| Antigen Species | human |
| Uniprot ID |
| Molecular Weight | Theoretical: 78 kDa. |
| Stability & Storage | Store at -20°C or -80°C for 12 months. Avoid repeated freeze-thaw cycles. |
| Transport | Shipping with blue ice. |
| Size | Quantity | Unit Price | Amount | Operation |
|---|

Copyright © 2015-2026 TargetMol Chemicals Inc. All Rights Reserved.