Shopping Cart
Remove All
Your shopping cart is currently empty
Anti-GRIN1 Polyclonal Antibody is a Rabbit antibody targeting GRIN1. Anti-GRIN1 Polyclonal Antibody can be used in IF, IHC-Fr, IHC-P, WB.
| Pack Size | Price | USA Stock | Global Stock | Quantity |
|---|---|---|---|---|
| 50 μL | $221 | 7-10 days | 7-10 days | |
| 100 μL | $374 | 7-10 days | 7-10 days | |
| 200 μL | $527 | 7-10 days | 7-10 days |
| Description | Anti-GRIN1 Polyclonal Antibody is a Rabbit antibody targeting GRIN1. Anti-GRIN1 Polyclonal Antibody can be used in IF, IHC-Fr, IHC-P, WB. |
| Synonyms | N-methyl-D-aspartate receptor subunit NR1 (NMD-R1;hNR1), NMDAR1, NMDA 1, GRIN1, Glutamate receptor ionotropic, NMDA 1, Glutamate [NMDA] receptor subunit zeta-1, GluN1 |
| Ig Type | IgG |
| Reactivity | Mouse,Rat (predicted:Human,Chicken,Dog,Cow) |
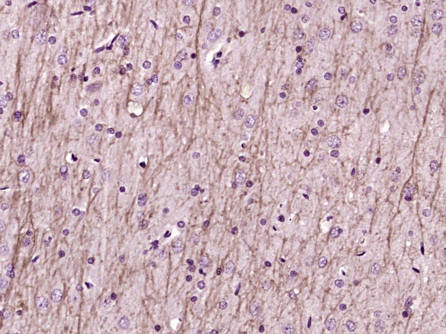
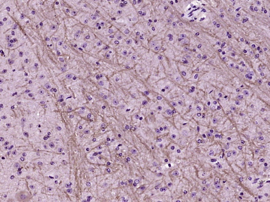
| Verified Activity | 1. Sample: Cerebrum (Mouse) Lysate at 40 μg Primary: Anti-NMDAR1 (TMAB-00812) at 1/300 dilution Secondary: IRDye800CW Goat Anti-Rabbit IgG at 1/20000 dilution Predicted band size: 103 kDa Observed band size: 113 kDa 2. Sample: Cerebrum (Rat) Lysate at 40 μg Primary: Anti-NMDAR1 (TMAB-00812) at 1/1000 dilution Secondary: IRDye800CW Goat Anti-Rabbit IgG at 1/20000 dilution Predicted band size: 103 kDa Observed band size: 113 kDa 3. Paraformaldehyde-fixed, paraffin embedded (Mouse brain); Antigen retrieval by boiling in sodium citrate buffer (pH6.0) for 15 min; Block endogenous peroxidase by 3% hydrogen peroxide for 20 min; Blocking buffer (normal goat serum) at 37°C for 30 min; Antibody incubation with (NMDAR1) Polyclonal Antibody, Unconjugated (TMAB-00812) at 1:400 overnight at 4°C, followed by operating according to SP Kit (Rabbit) instructions and DAB staining. 4. Paraformaldehyde-fixed, paraffin embedded (Rat brain); Antigen retrieval by boiling in sodium citrate buffer (pH6.0) for 15 min; Block endogenous peroxidase by 3% hydrogen peroxide for 20 min; Blocking buffer (normal goat serum) at 37°C for 30 min; Antibody incubation with (NMDAR1) Polyclonal Antibody, Unconjugated (TMAB-00812) at 1:400 overnight at 4°C, followed by operating according to SP Kit (Rabbit) instructions and DAB staining. ![]() ![]() ![]() ![]() |
| Application | |
| Recommended Dose | WB: 1:500-2000; IHC-P: 1:100-500; IHC-Fr: 1:100-500; IF: 1:100-500 |
| Antibody Type | Polyclonal |
| Host Species | Rabbit |
| Subcellular Localization | Cell membrane; Multi-pass membrane protein. Cell junction, synapse, postsynaptic cell membrane. Cell junction, synapse, postsynaptic cell membrane, postsynaptic density. Note=Enriched in post-synaptic plasma membrane and post-synaptic densities. |
| Construction | Polyclonal Antibody |
| Purification | Protein A purified |
| Appearance | Liquid |
| Formulation | 0.01M TBS (pH7.4) with 1% BSA, 0.02% Proclin300 and 50% Glycerol. |
| Concentration | 1 mg/mL |
| Research Background | The protein encoded by this gene is a critical subunit of N-methyl-D-aspartate receptors, members of the glutamate receptor channel superfamily which are heteromeric protein complexes with multiple subunits arranged to form a ligand-gated ion channel. These subunits play a key role in the plasticity of synapses, which is believed to underlie memory and learning. Cell-specific factors are thought to control expression of different isoforms, possibly contributing to the functional diversity of the subunits. Alternatively spliced transcript variants have been described. [provided by RefSeq, Jul 2008] |
| Immunogen | KLH conjugated synthetic peptide: human NMDAR1 |
| Antigen Species | Human |
| Gene Name | GRIN1 |
| Gene ID | |
| Protein Name | Glutamate receptor ionotropic, NMDA 1 |
| Uniprot ID | |
| Biology Area | Growth Cone,Neurogenesis |
| Function | NMDA receptor subtype of glutamate-gated ion channels with high calcium permeability and voltage-dependent sensitivity to magnesium. Mediated by glycine. This protein plays a key role in synaptic plasticity, synaptogenesis, excitotoxicity, memory acquisition and learning. It mediates neuronal functions in glutamate neurotransmission. Is involved in the cell surface targeting of NMDA receptors. |
| Molecular Weight | Theoretical: 103 kDa. Actual: 110 kDa. |
| Stability & Storage | Store at -20°C or -80°C for 12 months. Avoid repeated freeze-thaw cycles. |
| Transport | Shipping with blue ice. |
| Size | Quantity | Unit Price | Amount | Operation |
|---|

Copyright © 2015-2026 TargetMol Chemicals Inc. All Rights Reserved.