Shopping Cart
Remove All
Your shopping cart is currently empty
Anti-GPR91 Polyclonal Antibody is a Rabbit antibody targeting Phospho-Smad1/5 (Ser463, 465). Anti-GPR91 Polyclonal Antibody can be used in IF,IHC-Fr,IHC-P,WB.
| Pack Size | Price | USA Stock | Global Stock | Quantity |
|---|---|---|---|---|
| 50 μL | $221 | 7-10 days | 7-10 days | |
| 100 μL | $372 | 7-10 days | 7-10 days | |
| 200 μL | $529 | 7-10 days | 7-10 days |
| Description | Anti-GPR91 Polyclonal Antibody is a Rabbit antibody targeting Phospho-Smad1/5 (Ser463, 465). Anti-GPR91 Polyclonal Antibody can be used in IF,IHC-Fr,IHC-P,WB. |
| Synonyms | SUCR1, SUCNR1, SUCNR 1, SUCN R1, Succinate receptor 1, Succinate receptor, Purinergic Receptor P2U2, P2Y purinoceptor 1-like, P2Y purinoceptor 1, G-protein coupled receptor 91, GPR 91 |
| Ig Type | IgG |
| Reactivity | Human(predicted:Mouse) |
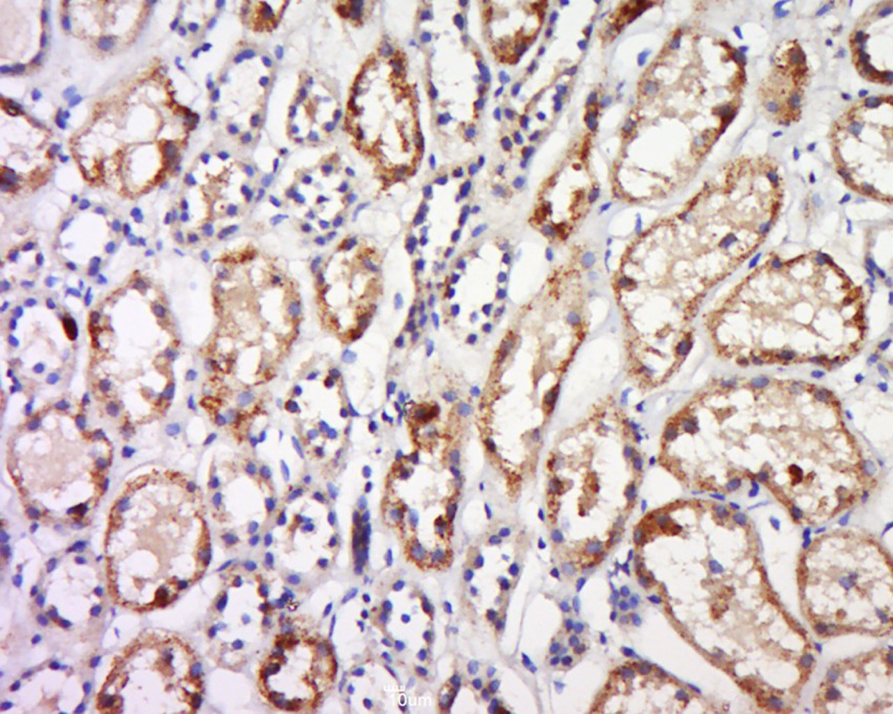
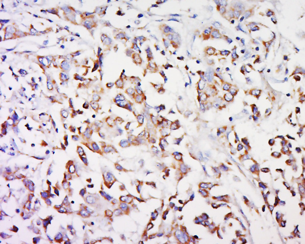
| Verified Activity | 1. Tissue/cell: human breast cancer; 4% Paraformaldehyde-fixed and paraffin-embedded; Antigen retrieval: citrate buffer (0.01M, pH6.0), Boiling bathing for 15 min; Block endogenous peroxidase by 3% Hydrogen peroxide for 30 min; Blocking buffer (normal goat serum) at 37°C for 20 min; Incubation: Anti-GPR91 Polyclonal Antibody, Unconjugated (TMAB-00801) 1:600, overnight at 4°C, followed by conjugation to the secondary antibody and DAb staining. 2. Western blot analysis of extracts from Liver tissue (mo) using GPR91 Antibody. 3. Tissue/cell: human kidney tissue; 4% Paraformaldehyde-fixed and paraffin-embedded; Antigen retrieval: citrate buffer (0.01M, pH6.0), Boiling bathing for 15 min; Block endogenous peroxidase by 3% Hydrogen peroxide for 30 min; Blocking buffer (normal goat serum) at 37°C for 20 min; Incubation: Anti-GPR91 Polyclonal Antibody, Unconjugated (TMAB-00801) 1:600, overnight at 4°C, followed by conjugation to the secondary antibody and DAb staining. 4. Protein: 1.kidney lyates (mo);2.liver lyates (mo); Primary: Rabbit Anti-GPR91 (TMAB-00801) at 1:300; Secondary: 800CW Conjugated Goat (polyclonal) Anti-Rabbit Igg (H+L) at 1: 10000; Predicted band size:39 kDa Observed band size:49 kDa 5. Sample: HepG2 Cell (Human) Lysate at 40 μg Primary: Anti-GPR91 (TMAB-00801) at 1/300 dilution Secondary: IRDye800CW Goat Anti-Rabbit IgG at 1/20000 dilution Predicted band size: 39 kDa Observed band size: 39 kDa ![]() ![]() ![]() ![]() ![]() |
| Application | |
| Recommended Dose | WB: 1:500-2000; IHC-P: 1:100-500; IHC-Fr: 1:100-500; IF: 1:100-500 |
| Antibody Type | Polyclonal |
| Host Species | Rabbit |
| Subcellular Localization | Cell membrane; Multi-pass membrane protein. |
| Tissue Specificity | Expressed specifically in kidney. |
| Construction | Polyclonal Antibody |
| Purification | Protein A purified |
| Appearance | Liquid |
| Formulation | 0.01M TBS (pH7.4) with 1% BSA, 0.02% Proclin300 and 50% Glycerol. |
| Concentration | 1 mg/mL |
| Research Background | This gene encodes a G-protein-coupled receptor for succinate, an intermediate molecule of the citric acid cycle. It is involved in the promotion of hematopoietic progenitor cell development, and it has a potential role in renovascular hypertension which has known correlations to renal failure, diabetes and atherosclerosis. [provided by RefSeq, Oct 2009] |
| Immunogen | KLH conjugated synthetic peptide: human GPR91 |
| Antigen Species | Human |
| Gene Name | SUCNR1 |
| Gene ID | |
| Protein Name | Succinate receptor 1 |
| Uniprot ID | |
| Biology Area | GPCR,Other Cell Types |
| Function | Receptor for succinate. |
| Molecular Weight | Theoretical: 39 kDa. Actual: 39 kDa. |
| Stability & Storage | Store at -20°C or -80°C for 12 months. Avoid repeated freeze-thaw cycles. |
| Transport | Shipping with blue ice. |
| Size | Quantity | Unit Price | Amount | Operation |
|---|

Copyright © 2015-2026 TargetMol Chemicals Inc. All Rights Reserved.