Shopping Cart
Remove All
Your shopping cart is currently empty
Anti-GPR43 Polyclonal Antibody is a Rabbit antibody targeting GPR43. Anti-GPR43 Polyclonal Antibody can be used in ICC/IF, IF, IHC-Fr, IHC-P.
| Pack Size | Price | USA Warehouse | Global Warehouse | Quantity |
|---|---|---|---|---|
| 50 μL | $221 | 7-10 days | 7-10 days | |
| 100 μL | $373 | 7-10 days | 7-10 days | |
| 200 μL | $527 | 7-10 days | 7-10 days |
| Description | Anti-GPR43 Polyclonal Antibody is a Rabbit antibody targeting GPR43. Anti-GPR43 Polyclonal Antibody can be used in ICC/IF, IF, IHC-Fr, IHC-P. |
| Synonyms | GPR 43, GPCR GPR43, GPCR 43, G protein coupled receptor 43, Free fatty acid receptor 2, free fatty acid activated receptor 2, FFAR2, FFA2R |
| Ig Type | IgG |
| Reactivity | Human,Mouse (predicted:Rat) |
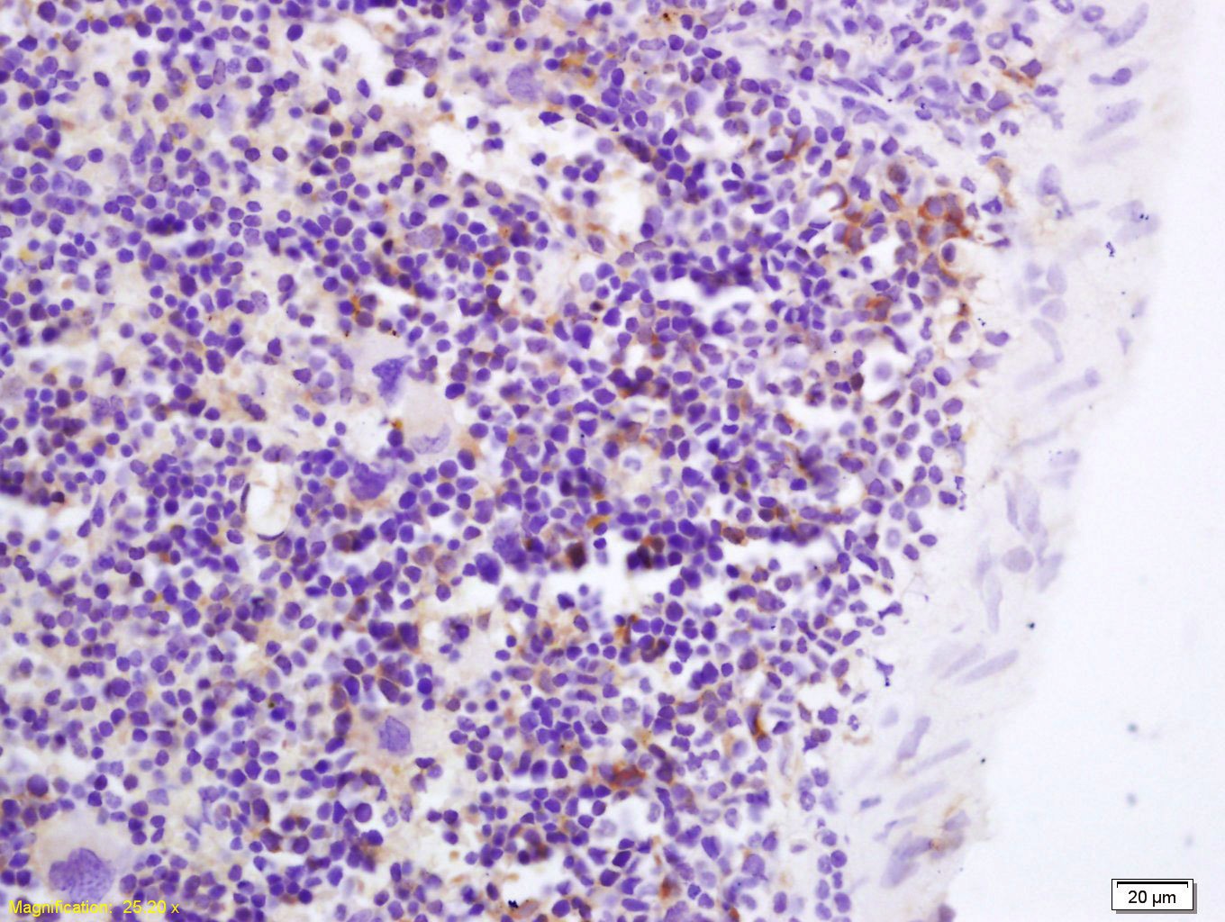
| Verified Activity | 1. Tissue/cell: mouse spleen tissue; 4% Paraformaldehyde-fixed and paraffin-embedded; Antigen retrieval: citrate buffer (0.01M, pH6.0), Boiling bathing for 15 min; Block endogenous peroxidase by 3% Hydrogen peroxide for 30 min; Blocking buffer (normal goat serum) at 37°C for 20 min; Incubation: Anti-GPR43 Polyclonal Antibody, Unconjugated (TMAB-00795) 1:200, overnight at 4°C, followed by conjugation to the secondary antibody and DAb staining. 2. MCF7 cell; 4% Paraformaldehyde-fixed; Triton X-100 at room temperature for 20 min; Blocking buffer (normal goat serum) at 37°C for 20 min; Antibody incubation with (GPR43) polyclonal Antibody, Unconjugated (TMAB-00795) 1:100, 90 minutes at 37°C; followed by a conjugated Goat Anti-Rabbit IgG antibody at 37°C for 90 minutes, DAPI (blue) was used to stain the cell nucleus. ![]() ![]() |
| Application | |
| Recommended Dose | ICC/IF=1:100-500; IF=1:100-500; IHC-Fr=1:100-500; IHC-P=1:100-500 |
| Antibody Type | Polyclonal |
| Host Species | Rabbit |
| Subcellular Localization | Cell membrane. |
| Tissue Specificity | Expressed at relatively high levels in peripheral blood leukocytes and, to lesser, extent, in spleen. |
| Construction | Polyclonal Antibody |
| Purification | Protein A purified |
| Appearance | Liquid |
| Formulation | 0.01M TBS (pH7.4) with 1% BSA, 0.02% Proclin300 and 50% Glycerol. |
| Concentration | 1 mg/mL |
| Research Background | G protein-coupled receptors provide attractive targets for drug therapy due to the sheer size and diversity of ligands within this receptor family. G protein-coupled receptor (GPR) GPR41 and GPR43 are related members of a homologous family of orphan G protein-coupled receptors that are tandemly encoded at a single chromosomal locus in both humans and mice. GPR43 functions as a ligand for short chain fatty acids (SCFAs), notably acetate and propionate. Bacteria in the gut produce high concentrations of SCFAs, which are subsequently released in the bloodstream, where they exert cellular effects on blood leukocytes, including calcium release, ERK1/2 activation, and inhibition of cAMP accumulation. These effects indicate a role for GPR43 in the recruitment of leukocytes, particularly polymorphonuclear cells, to sites of bacterial infection. |
| Immunogen | KLH conjugated synthetic peptide: human GPR43 |
| Antigen Species | Human |
| Gene Name | FFAR2 |
| Gene ID | |
| Protein Name | Free fatty acid receptor 2 |
| Uniprot ID | |
| Biology Area | GPCR |
| Function | Receptor for short chain fatty acids through a G(i)-protein-mediated inhibition of adenylyl cyclase and elevation of intracellular calcium. The rank order of potency for agonists of this receptor is acetate= propionate = butyrate > pentanoate = formate. |
| Molecular Weight | Theoretical: 37 kDa. |
| Stability & Storage | Store at -20°C or -80°C for 12 months. Avoid repeated freeze-thaw cycles. |
| Transport | Shipping with blue ice. |
| Size | Quantity | Unit Price | Amount | Operation |
|---|

Copyright © 2015-2026 TargetMol Chemicals Inc. All Rights Reserved.