Shopping Cart
Remove All
Your shopping cart is currently empty
Anti-GPR30 Polyclonal Antibody 2 is a Rabbit antibody targeting GPR30. Anti-GPR30 Polyclonal Antibody 2 can be used in FCM, ICC/IF, IF, IHC-Fr, IHC-P, WB.
| Pack Size | Price | USA Stock | Global Stock | Quantity |
|---|---|---|---|---|
| 50 μL | $222 | 7-10 days | 7-10 days | |
| 100 μL | $373 | 7-10 days | 7-10 days | |
| 200 μL | $528 | 7-10 days | 7-10 days |
| Description | Anti-GPR30 Polyclonal Antibody 2 is a Rabbit antibody targeting GPR30. Anti-GPR30 Polyclonal Antibody 2 can be used in FCM, ICC/IF, IF, IHC-Fr, IHC-P, WB. |
| Synonyms | mER, Membrane estrogen receptor, Lymphocyte-derived G-protein coupled receptor, LYGPR, IL8-related receptor DRY12, G-protein coupled estrogen receptor 1, GPER, GPCR-BR, G Protein Coupled Receptor 30, Flow-induced endothelial G-protein coupled receptor 1, FEG-1, DRY12, CMKRL2, Chemokine receptor-like 2, CEPR |
| Ig Type | IgG |
| Reactivity | Human,Mouse,Rat (predicted:Dog) |
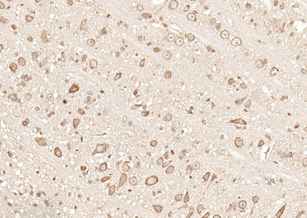
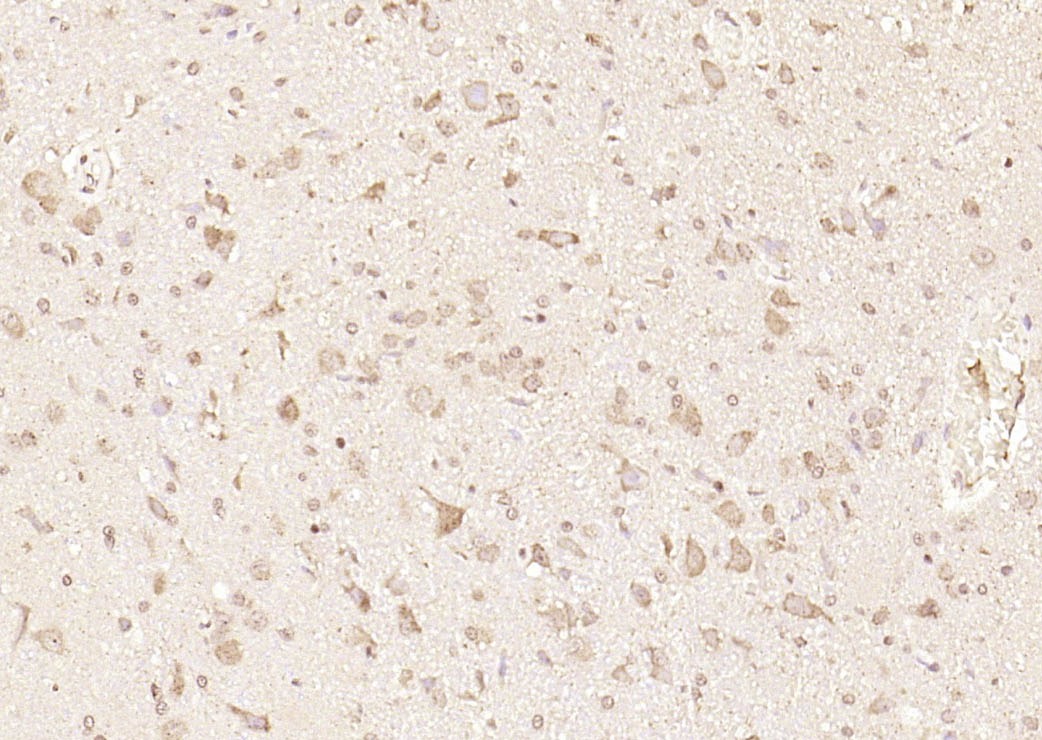
| Verified Activity | 1. Paraformaldehyde-fixed, paraffin embedded (rat brain); Antigen retrieval by boiling in sodium citrate buffer (pH6.0) for 15 min; Block endogenous peroxidase by 3% hydrogen peroxide for 20 min; Blocking buffer (normal goat serum) at 37°C for 30 min; Antibody incubation with (GPR30) Polyclonal Antibody, Unconjugated (TMAB-00793) at 1:200 overnight at 4°C, followed by operating according to SP Kit (Rabbit) instructionsand DAB staining. 2. Paraformaldehyde-fixed, paraffin embedded (mouse brain); Antigen retrieval by boiling in sodium citrate buffer (pH6.0) for 15 min; Block endogenous peroxidase by 3% hydrogen peroxide for 20 min; Blocking buffer (normal goat serum) at 37°C for 30 min; Antibody incubation with (GPR30) Polyclonal Antibody, Unconjugated (TMAB-00793) at 1:200 overnight at 4°C, followed by operating according to SP Kit (Rabbit) instructionsand DAB staining. 3. Tissue/cell: SH-SY5Y cell; 4% Paraformaldehyde-fixed; Triton X-100 at room temperature for 20 min; Blocking buffer (normal goat serum) at 37°C for 20 min; Antibody incubation with (GPR30) polyclonal Antibody, Unconjugated (TMAB-00793) 1:100, 90 minutes at 37°C; followed by a FITC conjugated Goat Anti-Rabbit IgG antibody at 37°C for 90 minutes, DAPI (blue) was used to stain the cell nucleus. 4. Sample: Lane 1: Cerebrum (Mouse) Lysate at 40 μg Lane 2: Cerebrum (Rat) Lysate at 40 μg Lane 3: HepG2 (Human) Cell Lysate at 30 μg Lane 4: SH-SY5Y (Human) Cell Lysate at 30 μg Lane 5: MCF-7 (Human) Cell Lysate at 30 μg Lane 6: Heart (Mouse) Lysate at 40 μg Lane 7: Heart (Rat) Lysate at 40 μg Primary: Anti-GPR30 (TMAB-00793) at 1/1000 dilution Secondary: IRDye800CW Goat Anti-Rabbit IgG at 1/20000 dilution Predicted band size: 55 kDa Observed band size: 55 kDa 5. Blank control (blue line): A431 cells (fixed with 70% methanol (Overnight at 4°C) and then permeabilized with 90% ice-cold methanol for 20 min at-20°C). Primary Antibody (green line): Rabbit Anti-GPR30 antibody (TMAB-00793), Dilution: 1 μg/10^6 cells; Isotype Control Antibody (orange line): Rabbit IgG. Secondary Antibody (white blue line): Goat anti-rabbit IgG-FITC, Dilution: 1 μg/test. 6. 25 μg total protein per Lane of various lysates probed with GPR30 polyclonal antibody, unconjugated (TMAB-00793) at 1:1000 dilution and 4°C overnight incubation. Followed by conjugated secondary antibody incubation at RT for 60 min. ![]() ![]() ![]() ![]() ![]() ![]() |
| Application | |
| Recommended Dose | FCM=1 μg/Test; ICC/IF=1:100-500; IF=1:100-500; IHC-Fr=1:100-500; IHC-P=1:100-500; WB=1:500-2000 |
| Antibody Type | Polyclonal |
| Host Species | Rabbit |
| Subcellular Localization | Cell membrane; Multi-pass membrane protein. Endoplasmic reticulum membrane; Multi-pass membrane protein (By similarity). Golgi apparatus membrane; Multi-pass membrane protein (By similarity). Note=Protein has been detected in the cell membrane, endoplasmic reticulum and Golgi apparatus. It is currently unclear whether this is a cell surface or intracellular receptor. |
| Tissue Specificity | Ubiquitously expressed, but is most abundant in placenta. In brain regions, expressed as a 2.8 kb transcript in basal forebrain, frontal cortex, thalamus, hippocampus, caudate and putamen. |
| Construction | Polyclonal Antibody |
| Purification | Protein A purified |
| Appearance | Liquid |
| Formulation | 0.01M TBS (pH7.4) with 1% BSA, 0.02% Proclin300 and 50% Glycerol. |
| Concentration | 1 mg/mL |
| Research Background | This gene is a member of the G-protein coupled receptor 1 family and encodes a multi-pass membrane protein that localizes to the endoplasmic reticulum. The protein binds estrogen, resulting in intracellular calcium mobilization and synthesis of phosphatidylinositol 3,4,5-trisphosphate in the nucleus. This protein therefore plays a role in the rapid nongenomic signaling events widely observed following stimulation of cells and tissues with estrogen. Alternate transcriptional splice variants which encode the same protein have been characterized. [provided by RefSeq, Jul 2008] |
| Immunogen | KLH conjugated synthetic peptide: human GPR30 |
| Antigen Species | Human |
| Gene Name | GPER1 |
| Gene ID | |
| Protein Name | G-protein coupled estrogen receptor 1 |
| Uniprot ID | |
| Biology Area | GPCR,More GPCR,Energy Metabolism,Hormone biosynthesis,Estrogen |
| Function | Receptor for estrogen. |
| Molecular Weight | Theoretical: 42 kDa. Actual: 53 kDa. |
| Stability & Storage | Store at -20°C or -80°C for 12 months. Avoid repeated freeze-thaw cycles. |
| Transport | Shipping with blue ice. |
| Size | Quantity | Unit Price | Amount | Operation |
|---|

Copyright © 2015-2026 TargetMol Chemicals Inc. All Rights Reserved.