Shopping Cart
Remove All
Your shopping cart is currently empty
Synonyms: PIGPLD1, PIGPLD, PI-G PLD, Phosphatidylinositol glycan specific phospholipase D, PHLD, GPLD1, GPI-specific phospholipase D, GPIPLDM, GPI-PLD, GPIPLD, Glycosyl-phosphatidylinositol-specific phospholipase D, Glycoprotein phospholipase D
| Pack Size | Price | USA Stock | Global Stock | Quantity |
|---|---|---|---|---|
| 50 μL | $222 | 7-10 days | 7-10 days | |
| 100 μL | $372 | 7-10 days | 7-10 days | |
| 200 μL | $528 | 7-10 days | 7-10 days |
| Description | Anti-GPLD1 Polyclonal Antibody is a Rabbit antibody targeting GPLD1. Anti-GPLD1 Polyclonal Antibody can be used in IF,IHC-Fr,IHC-P,WB. |
| Synonyms | PIGPLD1, PIGPLD, PI-G PLD, Phosphatidylinositol glycan specific phospholipase D, PHLD, GPLD1, GPI-specific phospholipase D, GPIPLDM, GPI-PLD, GPIPLD, Glycosyl-phosphatidylinositol-specific phospholipase D, Glycoprotein phospholipase D |
| Ig Type | IgG |
| Reactivity | Human,Mouse,Rat (predicted:Horse) |
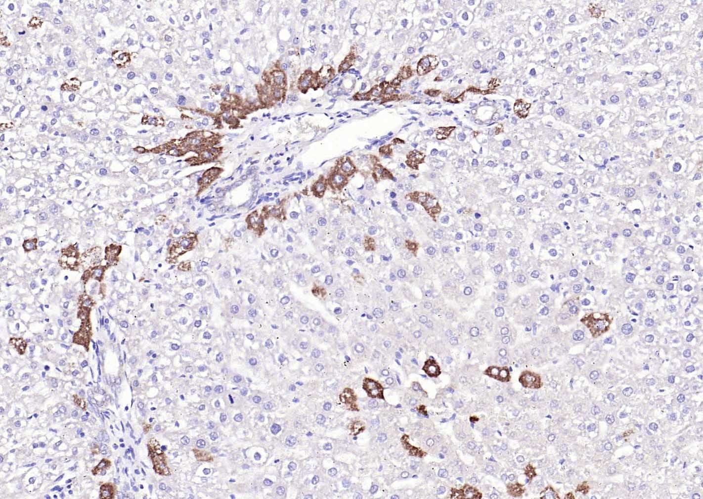
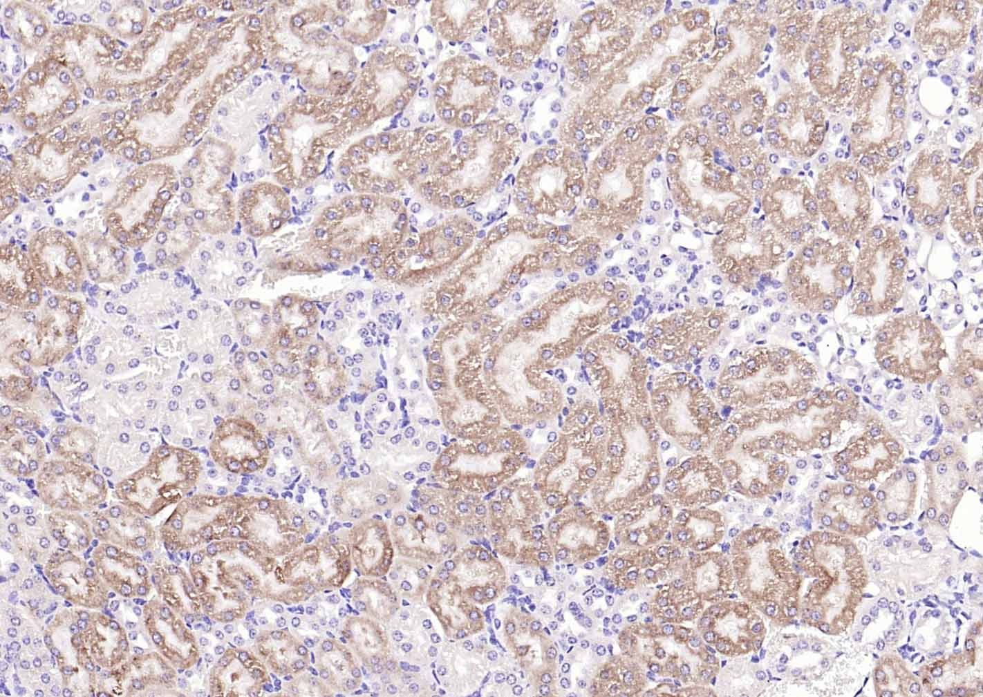
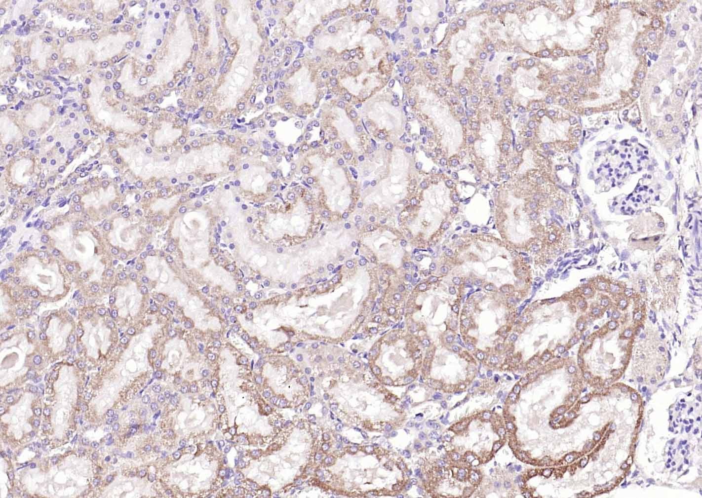
| Verified Activity | 1. Paraformaldehyde-fixed, paraffin embedded (mouse kidney); Antigen retrieval by boiling in sodium citrate buffer (pH6.0) for 15 min; Block endogenous peroxidase by 3% hydrogen peroxide for 20 min; Blocking buffer (normal goat serum) at 37°C for 30 min; Incubation with (GPLD1) Polyclonal Antibody, Unconjugated (TMAB-00786) at 1:200 overnight at 4°C, followed by operating according to SP Kit (Rabbit) instructionsand DAB staining. 2. Paraformaldehyde-fixed, paraffin embedded (rat kidney); Antigen retrieval by boiling in sodium citrate buffer (pH6.0) for 15 min; Block endogenous peroxidase by 3% hydrogen peroxide for 20 min; Blocking buffer (normal goat serum) at 37°C for 30 min; Incubation with (GPLD1) Polyclonal Antibody, Unconjugated (TMAB-00786) at 1:200 overnight at 4°C, followed by operating according to SP Kit (Rabbit) instructionsand DAB staining. 3. Paraformaldehyde-fixed, paraffin embedded (human kidney); Antigen retrieval by boiling in sodium citrate buffer (pH6.0) for 15 min; Block endogenous peroxidase by 3% hydrogen peroxide for 20 min; Blocking buffer (normal goat serum) at 37°C for 30 min; Incubation with (GPLD1) Polyclonal Antibody, Unconjugated (TMAB-00786) at 1:200 overnight at 4°C, followed by operating according to SP Kit (Rabbit) instructionsand DAB staining. 4. Paraformaldehyde-fixed, paraffin embedded (rat liver); Antigen retrieval by boiling in sodium citrate buffer (pH6.0) for 15 min; Block endogenous peroxidase by 3% hydrogen peroxide for 20 min; Blocking buffer (normal goat serum) at 37°C for 30 min; Incubation with (GPLD1) Polyclonal Antibody, Unconjugated (TMAB-00786) at 1:200 overnight at 4°C, followed by operating according to SP Kit (Rabbit) instructionsand DAB staining. 5. Sample: Lane 1: Human K562 cell lysates Lane 2: Human HepG2 cell lysates Primary: Anti-GPLD1 (TMAB-00786) at 1/1000 dilution Secondary: IRDye800CW Goat Anti-Rabbit IgG at 1/20000 dilution Predicted band size: 90 kDa Observed band size: 100 kDa |
| Application | |
| Recommended Dose | WB: 1:500-2000; IHC-P: 1:100-500; IHC-Fr: 1:100-500; IF: 1:50-200 |
| Antibody Type | Polyclonal |
| Host Species | Rabbit |
| Subcellular Localization | Secreted. |
| Tissue Specificity | This protein hydrolyzes the inositol phosphate linkage in proteins anchored by phosphatidylinositol glycans (GPI-anchor) thus releasing these proteins from the membrane. |
| Construction | Polyclonal Antibody |
| Purification | Protein A purified |
| Appearance | Liquid |
| Formulation | 0.01M TBS (pH7.4) with 1% BSA, 0.02% Proclin300 and 50% Glycerol. |
| Concentration | 1 mg/mL |
| Research Background | Phosphatidylinositol-glycan-specific phospholipase D (GPI-PLD) is a high-density lipoprotein-associated protein found on chromosome 6p22 that specifically hydrolyzes the inositol phosphate linkage in proteins anchored by phosphatidylinositol-glycans (PI-Gs). GPI-PLD is found in serum, liver, cerebrospinal fluid and in milk. The majority of plasma GPI-PLD appears to be specifically associated with a small, discrete and minor fraction of lipoproteins containing apoA-I and apoA-IV. Serum GPI-PLD activity is reduced over 75% in systemic inflammatory response syndrome and the downregulation of GPI-PLD could play an important role in the control of proinflammatory responses. |
| Immunogen | KLH conjugated synthetic peptide: human GPLD1/GPI-PLD |
| Antigen Species | Human |
| Gene Name | GPLD1 |
| Gene ID | |
| Protein Name | Phosphatidylinositol-glycan-specific phospholipase D |
| Uniprot ID | |
| Biology Area | Serum Proteins |
| Function | This protein hydrolyzes the inositol phosphate linkage in proteins anchored by phosphatidylinositol glycans (GPI-anchor) thus releasing these proteins from the membrane. |
| Molecular Weight | Theoretical: 90 kDa. Actual: 100 kDa. |
| Stability & Storage | Store at -20°C or -80°C for 12 months. Avoid repeated freeze-thaw cycles. |
| Transport | Shipping with blue ice. |
| Size | Quantity | Unit Price | Amount | Operation |
|---|

Copyright © 2015-2026 TargetMol Chemicals Inc. All Rights Reserved.