Shopping Cart
Remove All
Your shopping cart is currently empty
Anti-Gp83 Antibody (5D307) is a Mouse antibody targeting Gp83. Anti-Gp83 Antibody (5D307) can be used in ICC,IHC,WB.
| Pack Size | Price | USA Warehouse | Global Warehouse | Quantity |
|---|---|---|---|---|
| 50 μL | $297 | 7-10 days | 7-10 days | |
| 100 μL | $427 | 7-10 days | 7-10 days |
| Description | Anti-Gp83 Antibody (5D307) is a Mouse antibody targeting Gp83. Anti-Gp83 Antibody (5D307) can be used in ICC,IHC,WB. |
| Synonyms | Gp 83 |
| Clone | 5D307 |
| Reactivity | Human,Mouse,Rat |
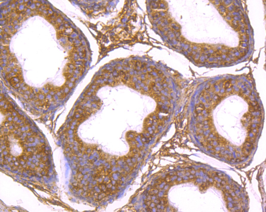
| Verified Activity | 1. Western blot analysis of Gp83 on SH-SY-5Y cells lysates using anti-Gp83 antibody at 1/1,000 dilution. 2. Immunohistochemical analysis of paraffin-embedded rat epididymis tissue using anti-Gp83 antibody. Counter stained with hematoxylin. 3. ICC staining Gp83 in PC-3M cells (green). The nuclear counter stain is DAPI (blue). Cells were fixed in paraformaldehyde, permeabilised with 0.25% Triton X100/PBS. ![]() ![]() ![]() |
| Application | |
| Recommended Dose | WB: 1:500-1000; IHC: 1:50-200; ICC: 1:50-200 |
| Antibody Type | Monoclonal |
| Host Species | Mouse |
| Construction | Hybridoma Monoclonal Antibody |
| Purification | ProG affinity purified |
| Appearance | Liquid |
| Formulation | 1*TBS (pH7.4), 0.5%BSA, 50%Glycerol. Preservative: 0.05% Sodium Azide. |
| Research Background | This gene encodes a member of the ADAMs family of zinc proteases. These transmembrane proteins play roles in multiple processes including cell signaling, adhesion and migration. The encoded protein lacks protease activity and may play roles in protein-protein interactions and cell adhesion processes including sperm-egg fusion. Mutations in this gene may be involved in the progression of melanoma. May play an important role in male reproduction including sperm maturation and gonadotrope function. This is a non catalytic metalloprotease-like protein. |
| Conjucates | Unconjugated |
| Immunogen | Recombinant Protein |
| Uniprot ID |
| Molecular Weight | Theoretical: 85 kDa. |
| Stability & Storage | Store at -20°C or -80°C for 12 months. Avoid repeated freeze-thaw cycles. |
| Transport | Shipping with blue ice. |
| Size | Quantity | Unit Price | Amount | Operation |
|---|

Copyright © 2015-2026 TargetMol Chemicals Inc. All Rights Reserved.