Shopping Cart
Remove All
Your shopping cart is currently empty
Anti-GNAT3 Polyclonal Antibody is a Rabbit antibody targeting GNAT3. Anti-GNAT3 Polyclonal Antibody can be used in IF,IHC-Fr,IHC-P,WB.
| Pack Size | Price | USA Stock | Global Stock | Quantity |
|---|---|---|---|---|
| 50 μL | $222 | 7-10 days | 7-10 days | |
| 100 μL | $374 | 7-10 days | 7-10 days | |
| 200 μL | $527 | 7-10 days | 7-10 days |
| Description | Anti-GNAT3 Polyclonal Antibody is a Rabbit antibody targeting GNAT3. Anti-GNAT3 Polyclonal Antibody can be used in IF,IHC-Fr,IHC-P,WB. |
| Synonyms | Gustducin alpha 3 chain, Gustducin alpha 3, Guanine nucleotide-binding protein G(t) subunit alpha-3, Guanine nucleotide binding protein alpha transducing 3, Gtn, Gnat 3, Ggust, GDCA |
| Ig Type | IgG |
| Reactivity | Human,Mouse,Rat (predicted:Dog,Pig,Cow,Horse,Rabbit,Sheep) |
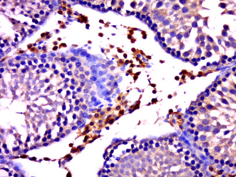
| Verified Activity | 1. Paraformaldehyde-fixed, paraffin embedded (rat testis); Antigen retrieval by boiling in sodium citrate buffer (pH6.0) for 15 min; Block endogenous peroxidase by 3% hydrogen peroxide for 20 min; Blocking buffer (normal goat serum) at 37°C for 30 min; Antibody incubation with (GNAT3) Polyclonal Antibody, Unconjugated (TMAB-00783) at 1:500 overnight at 4°C, followed by a conjugated secondary for 20 min and DAB staining. 2. Sample: A549 Cell Lysate at 40 μg Primary: Anti-GNAT3 (TMAB-00783) at 1/300 dilution Secondary: IRDye800CW Goat Anti-Rabbit IgG at 1/20000 dilution Predicted band size: 40 kDa Observed band size: 40 kDa 3. Sample: Testis (Mouse) Lysate at 40 μg Primary: Anti-GNAT3 (TMAB-00783) at 1/300 dilution Secondary: IRDye800CW Goat Anti-Rabbit IgG at 1/20000 dilution Predicted band size: 40 kDa Observed band size: 40 kDa ![]() ![]() ![]() |
| Application | |
| Recommended Dose | WB: 1:500-2000; IHC-P: 1:100-500; IHC-Fr: 1:100-500; IF: 1:100-500 |
| Antibody Type | Polyclonal |
| Host Species | Rabbit |
| Subcellular Localization | Cytoplasm. Dual ditribution pattern; plasmalemmal pattern with apical region localization and cytosolic pattern with localization throughout the cytoplasm. |
| Tissue Specificity | Expressed in taste buds (sensory organs of clustered epithelial cells) of the circumvallate and foliate papillae of the tongue at protein level. Expressed in enteroendocrine L cells of the gut. Detected also in spermatozoa. |
| Construction | Polyclonal Antibody |
| Purification | Protein A purified |
| Appearance | Liquid |
| Formulation | 0.01M TBS (pH7.4) with 1% BSA, 0.02% Proclin300 and 50% Glycerol. |
| Concentration | 1 mg/mL |
| Research Background | Heterotrimeric G proteins function to relay information from cell surface receptors to intracellular effectors. Each of a very broad range of receptors specifically detects an extracellular stimulus (a photon, pheromone, odorant, hormone or neurotransmitter) while the effectors (e.g., adenyl cyclase), which act to generate one or more intracellular messengers, are less numerous. In mammals, G protein alpha, beta and gamma polypeptides are encoded by at least 16, 4 and 7 genes, respectively. Most interest in G proteins has been focused on their alpha subunits, since these proteins bind and hydrolyze GTP and most obviously regulate the activity of the best studied effectors. Four distinct classes of Ga subunits have been identified; these include Gs, Gi, Gq and Ga 12/13. Gustducin has been identified as a taste-cell-specific G protein within the Gi subclass of Ga subunit proteins that is most closely related to the transducins and exclusively expressed in taste buds. |
| Immunogen | KLH conjugated synthetic peptide: human GNAT3 |
| Antigen Species | Human |
| Gene Name | GNAT3 |
| Gene ID | |
| Protein Name | Guanine nucleotide-binding protein G(t) subunit alpha-3 |
| Uniprot ID | |
| Biology Area | More GPCR,Taste system,GPCR |
| Function | Guanine nucleotide-binding protein (G protein) alpha subunit playing a prominent role in bitter and sweet taste transduction as well as in umami (monosodium glutamate, monopotassium glutamate, and inosine monophosphate) taste transduction. Transduction by this alpha subunit involves coupling of specific cell-surface receptors with a cGMP-phosphodiesterase; Activation of phosphodiesterase lowers intracellular levels of cAMP and cGMP which may open a cyclic nucleotide-suppressible cation channel leading to influx of calcium, ultimately leading to release of neurotransmitter. Indeed, denatonium and strychnine induce transient reduction in cAMP and cGMP in taste tissue, whereas this decrease is inhibited by GNAT3 antibody. Gustducin heterotrimer transduces response to bitter and sweet compounds via regulation of phosphodiesterase for alpha subunit, as well as via activation of phospholipase C for beta and gamma subunits, with ultimate increase inositol trisphosphate and increase of intracellular Calcium. GNAT3 can functionally couple to taste receptors to transmit intracellular signal: receptor heterodimer TAS1R2/TAS1R3 senses sweetness and TAS1R1/TAS1R3 transduces umami taste, whereas the T2R family GPCRs act as bitter sensors. Functions also as lumenal sugar sensors in the gut to control the expression of the Na+-glucose transporter SGLT1 in response to dietaty sugar, as well as the secretion of Glucagon-like peptide-1, GLP-1 and glucose-dependent insulinotropic polypeptide, GIP. Thus, may modulate the gut capacity to absorb sugars, with implications in malabsorption syndromes and diet-related disorders including diabetes and obesity. |
| Molecular Weight | Theoretical: 40 kDa. Actual: 40 kDa. |
| Stability & Storage | Store at -20°C or -80°C for 12 months. Avoid repeated freeze-thaw cycles. |
| Transport | Shipping with blue ice. |
| Size | Quantity | Unit Price | Amount | Operation |
|---|

Copyright © 2015-2026 TargetMol Chemicals Inc. All Rights Reserved.