Shopping Cart
Remove All
Your shopping cart is currently empty
Anti-GLS1 Polyclonal Antibody is a Rabbit antibody targeting GLS1. Anti-GLS1 Polyclonal Antibody can be used in ELISA,IF,IHC-Fr,IHC-P,WB.
| Pack Size | Price | USA Warehouse | Global Warehouse | Quantity |
|---|---|---|---|---|
| 50 μL | $222 | 7-10 days | 7-10 days | |
| 100 μL | $373 | 7-10 days | 7-10 days |
| Description | Anti-GLS1 Polyclonal Antibody is a Rabbit antibody targeting GLS1. Anti-GLS1 Polyclonal Antibody can be used in ELISA,IF,IHC-Fr,IHC-P,WB. |
| Synonyms | L-glutamine amidohydrolase, KIAA0838, K-glutaminase, KGA, Glutaminase kidney isoform, mitochondrial, GLSK, GLS, GDPAG, GAM, GAC, EIEE71, EC:3.5.1.2, DEE71, CASGID, AAD20 |
| Ig Type | IgG |
| Reactivity | Human,Mouse,Rat (predicted:Cow) |
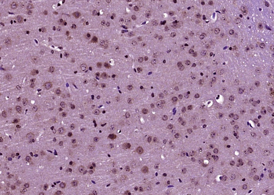
| Verified Activity | 1. Sample: Lane 1: Human U251 cell lysates Lane 2: Human HeLa cell lysates Primary: Anti-GLS1 (TMAB-00779) at 1/1000 dilution Secondary: IRDye800CW Goat Anti-Rabbit IgG at 1/20000 dilution Predicted band size: 72 kDa Observed band size: 75 kDa 2. Paraformaldehyde-fixed, paraffin embedded (Rat brain); Antigen retrieval by boiling in sodium citrate buffer (pH6.0) for 15 min; Block endogenous peroxidase by 3% hydrogen peroxide for 20 min; Blocking buffer (normal goat serum) at 37°C for 30 min; Antibody incubation with (GLS1) Polyclonal Antibody, Unconjugated (TMAB-00779) at 1:400 overnight at 4°C, followed by operating according to SP Kit (Rabbit) instructionsand DAB staining. 3. Paraformaldehyde-fixed, paraffin embedded (Mouse brain); Antigen retrieval by boiling in sodium citrate buffer (pH6.0) for 15 min; Block endogenous peroxidase by 3% hydrogen peroxide for 20 min; Blocking buffer (normal goat serum) at 37°C for 30 min; Antibody incubation with (GLS1) Polyclonal Antibody, Unconjugated (TMAB-00779) at 1:400 overnight at 4°C, followed by operating according to SP Kit (Rabbit) instructionsand DAB staining. ![]() ![]() ![]() |
| Application | |
| Recommended Dose | WB: 1:500-2000; IHC-P: 1:100-500; IHC-Fr: 1:100-500; IF: 1:100-500; ELISA: 1:5000-10000 |
| Antibody Type | Polyclonal |
| Host Species | Rabbit |
| Subcellular Localization | Isoform 1: Cytoplasm, cytosol. Isoform 3: Mitochondrion. |
| Tissue Specificity | Isoform 1 and isoform 3 are detected in brain cortex. Isoform 3 is highly expressed in astrocytoma, ganglioglioma and ependymoma. Isoform 1 is highly expressed in brain and kidney, but not detected in liver. Isoform 3 is highly expressed in heart and panc |
| Construction | Polyclonal Antibody |
| Purification | Protein A purified |
| Appearance | Liquid |
| Formulation | 0.01M TBS (pH7.4) with 1% BSA, 0.02% Proclin300 and 50% Glycerol. |
| Concentration | 1 mg/mL |
| Research Background | This gene encodes the K-type mitochondrial glutaminase. The encoded protein is an phosphate-activated amidohydrolase that catalyzes the hydrolysis of glutamine to glutamate and ammonia. This protein is primarily expressed in the brain and kidney plays an essential role in generating energy for metabolism, synthesizing the brain neurotransmitter glutamate and maintaining acid-base balance in the kidney. Alternate splicing results in multiple transcript variants. [provided by RefSeq, Jan 2012]. |
| Immunogen | KLH conjugated synthetic peptide: human GLS1 |
| Antigen Species | Human |
| Gene Name | GLS |
| Gene ID | |
| Protein Name | Glutaminase kidney isoform, mitochondrial |
| Uniprot ID | |
| Biology Area | Amino acid metabolism,Glutamate,Amino Acids |
| Function | Catalyzes the first reaction in the primary pathway for the renal catabolism of glutamine. Plays a role in maintaining acid-base homeostasis. Regulates the levels of the neurotransmitter glutamate in the brain. Isoform 2 lacks catalytic activity. |
| Molecular Weight | Theoretical: 72 kDa. |
| Stability & Storage | Store at -20°C or -80°C for 12 months. Avoid repeated freeze-thaw cycles. |
| Transport | Shipping with blue ice. |
| Size | Quantity | Unit Price | Amount | Operation |
|---|

Copyright © 2015-2025 TargetMol Chemicals Inc. All Rights Reserved.