Shopping Cart
Remove All
Your shopping cart is currently empty
Anti-GLP1R Polyclonal Antibody is a Rabbit antibody targeting GLP1R. Anti-GLP1R Polyclonal Antibody can be used in IF,IHC-Fr,IHC-P,WB.
| Pack Size | Price | USA Stock | Global Stock | Quantity |
|---|---|---|---|---|
| 50 μL | $220 | 7-10 days | 7-10 days | |
| 100 μL | $374 | 7-10 days | 7-10 days | |
| 200 μL | $528 | 7-10 days | 7-10 days |
| Description | Anti-GLP1R Polyclonal Antibody is a Rabbit antibody targeting GLP1R. Anti-GLP1R Polyclonal Antibody can be used in IF,IHC-Fr,IHC-P,WB. |
| Synonyms | Glucagon-like peptide 1 receptor, Glpr, GLP-1-R, GLP-1R, Glp1r, GLP-1 receptor |
| Ig Type | IgG |
| Reactivity | Human,Mouse,Rat |
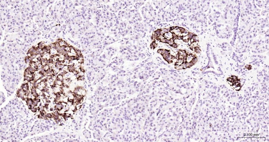
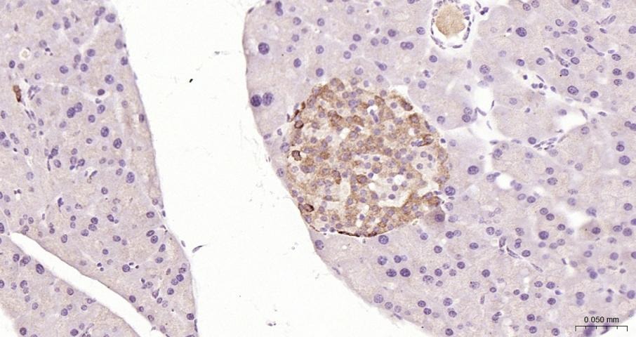
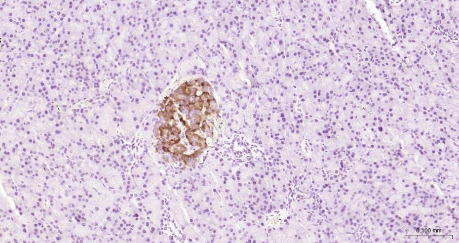
| Verified Activity | 1. Sample: Lane 1: Mouse Pancreas tissue lysates Lane 2: Mouse Liver tissue lysates (negative control) Primary: Anti-GLP-1R (TMAB-00777) at 1/1000 dilution Secondary: IRDye800CW Goat Anti-Rabbit IgG at 1/20000 dilution Predicted band size: 51 kDa Observed band size: 55 kDa 2. Paraformaldehyde-fixed, paraffin embedded Mouse Pancreas; Antigen retrieval by boiling in sodium citrate buffer (pH6.0) for 15 min; Antibody incubation with GLP-1R Polyclonal Antibody, Unconjugated (TMAB-00777) at 1:800 overnight at 4°C, followed by conjugation to the secondary antibody and DAB staining. 3. Paraformaldehyde-fixed, paraffin embedded Rat Pancreas; Antigen retrieval by boiling in sodium citrate buffer (pH6.0) for 15 min; Antibody incubation with GLP-1R Polyclonal Antibody, Unconjugated (TMAB-00777) at 1:800 overnight at 4°C, followed by conjugation to the secondary antibody and DAB staining. 4. Paraformaldehyde-fixed, paraffin embedded Human Pancreas; Antigen retrieval by boiling in sodium citrate buffer (pH6.0) for 15 min; Antibody incubation with GLP-1R Polyclonal Antibody, Unconjugated (TMAB-00777) at 1:800 overnight at 4°C, followed by conjugation to the secondary antibody and DAB staining. 5. (Negative control) Paraformaldehyde-fixed, paraffin embedded Mouse Liver; Antigen retrieval by boiling in sodium citrate buffer (pH6.0) for 15 min; Antibody incubation with GLP-1R Polyclonal Antibody, Unconjugated (TMAB-00777) at 1:800 overnight at 4°C, followed by conjugation to the secondary antibody and DAB staining. 6. (Negative control) Paraformaldehyde-fixed, paraffin embedded Rat Liver; Antigen retrieval by boiling in sodium citrate buffer (pH6.0) for 15 min; Antibody incubation with GLP-1R Polyclonal Antibody, Unconjugated (TMAB-00777) at 1:800 overnight at 4°C, followed by conjugation to the secondary antibody and DAB staining. 7. (Negative control) Paraformaldehyde-fixed, paraffin embedded Human Liver; Antigen retrieval by boiling in sodium citrate buffer (pH6.0) for 15 min; Antibody incubation with GLP-1R Polyclonal Antibody, Unconjugated (TMAB-00777) at 1:800 overnight at 4°C, followed by conjugation to the secondary antibody and DAB staining. ![]() ![]() ![]() ![]() ![]() ![]() ![]() |
| Application | |
| Recommended Dose | WB: 1:500-2000; IHC-P: 1:200-1000; IHC-Fr: 1:200-1000; IF: 1:200-1000 |
| Antibody Type | Polyclonal |
| Host Species | Rabbit |
| Subcellular Localization | Cell membrane; Multi-pass membrane protein. |
| Construction | Polyclonal Antibody |
| Purification | Protein A purified |
| Appearance | Liquid |
| Formulation | 0.01M TBS (pH7.4) with 1% BSA, 0.02% Proclin300 and 50% Glycerol. |
| Concentration | 1 mg/mL |
| Research Background | GLP1R is a receptor for glucagon-like peptide 1. The activity of this receptor is mediated by G proteins which activate adenylyl cyclase.It has been suggested that this protein influences the feelings of satiety or hunger, sensation of glucose levels, control of glucagon sensitivity of islets, and non insulin-dependent diabetes mellitus. GLP1R is believed to be expressed in human pancreas,lung, brain, stomach, kidney and heart. ESTs have been isolated from skin and kidney libraries. |
| Immunogen | KLH conjugated synthetic peptide: rat GLP-1R |
| Antigen Species | Rat |
| Gene Name | GLP1R |
| Gene ID | |
| Protein Name | Glucagon-like peptide 1 receptor |
| Uniprot ID | |
| Function | This is a receptor for glucagon-like peptide 1. The activity of this receptor is mediated by G proteins which activate adenylyl cyclase. |
| Molecular Weight | Theoretical: 51 kDa. Actual: 55 kDa. |
| Stability & Storage | Store at -20°C or -80°C for 12 months. Avoid repeated freeze-thaw cycles. |
| Transport | Shipping with blue ice. |
| Size | Quantity | Unit Price | Amount | Operation |
|---|

Copyright © 2015-2026 TargetMol Chemicals Inc. All Rights Reserved.