Shopping Cart
Remove All
Your shopping cart is currently empty
Anti-GLIS3 Polyclonal Antibody is a Rabbit antibody targeting GLIS3. Anti-GLIS3 Polyclonal Antibody can be used in ELISA,IF,IHC-Fr,IHC-P,WB.
| Pack Size | Price | USA Stock | Global Stock | Quantity |
|---|---|---|---|---|
| 50 μL | $221 | 7-10 days | 7-10 days | |
| 100 μL | $374 | 7-10 days | 7-10 days |
| Description | Anti-GLIS3 Polyclonal Antibody is a Rabbit antibody targeting GLIS3. Anti-GLIS3 Polyclonal Antibody can be used in ELISA,IF,IHC-Fr,IHC-P,WB. |
| Synonyms | ZNF515, Zinc finger protein GLIS3, Zinc finger protein 515, NDH, GLI-similar 3, GLIS family zinc finger 3, GLIS 3 |
| Ig Type | IgG |
| Reactivity | Human,Rat,Sheep |
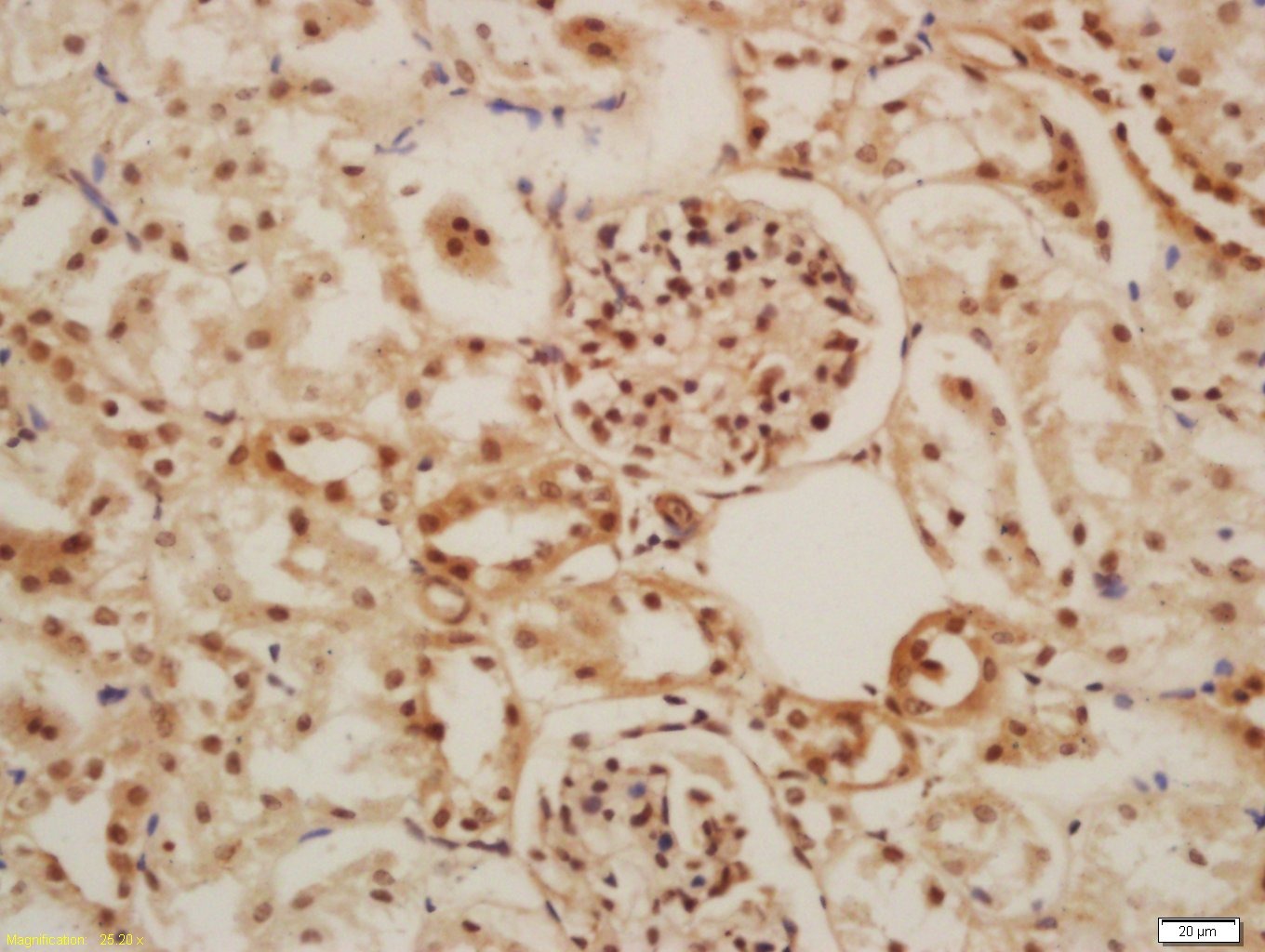
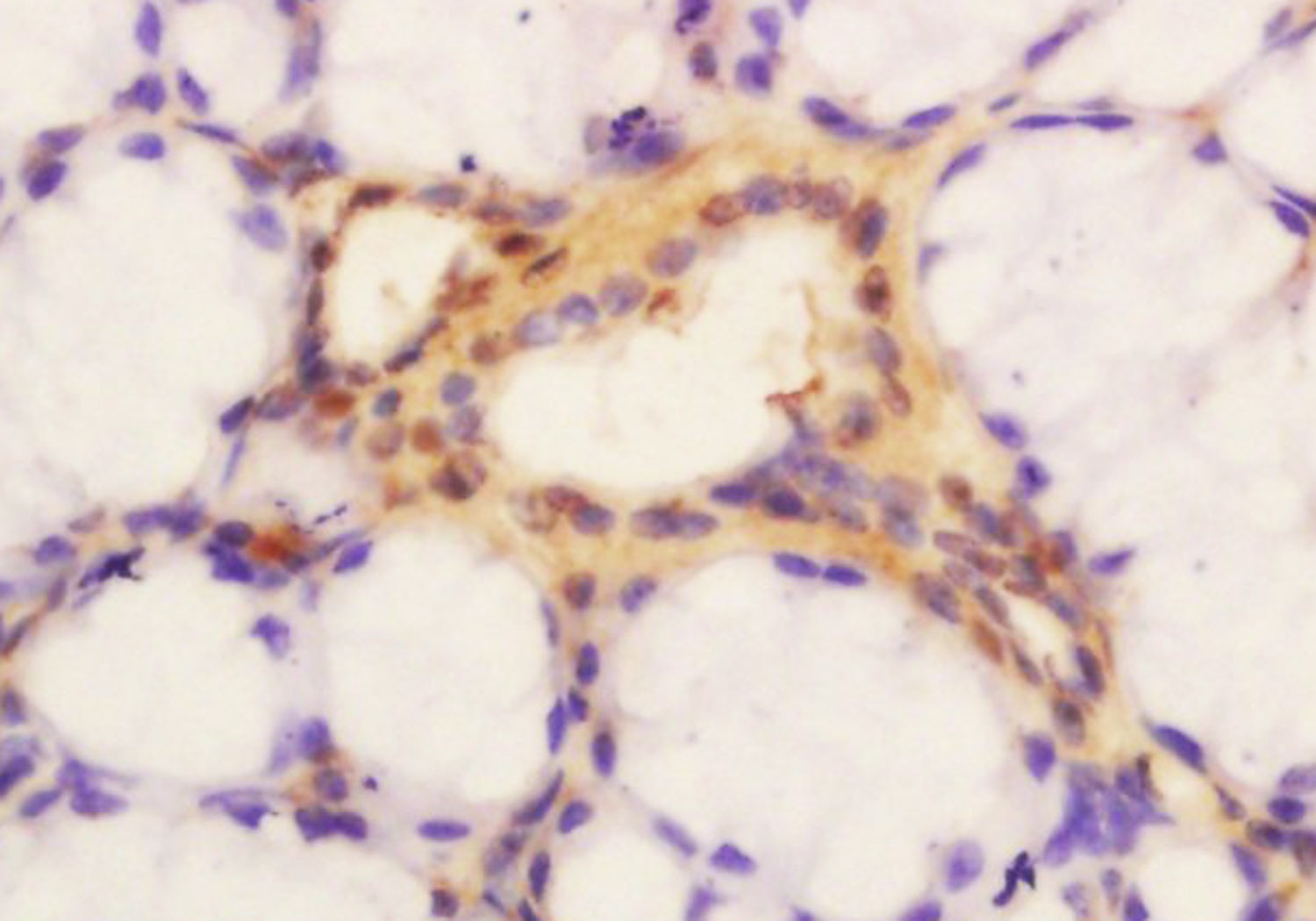
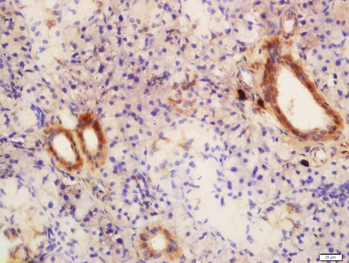
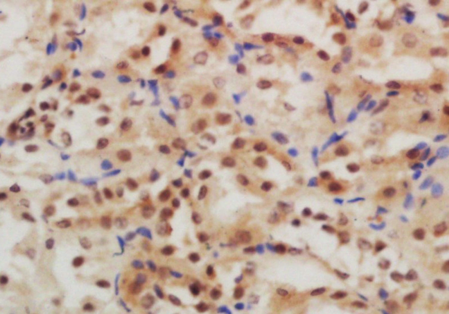
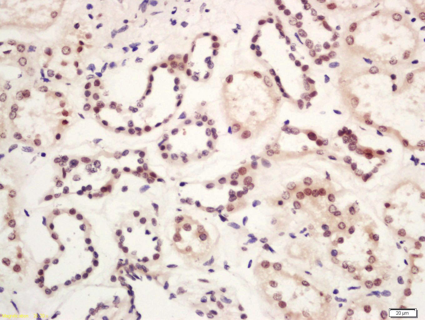
| Verified Activity | 1. Tissue/cell: rat kidney tissue; 4% Paraformaldehyde-fixed and paraffin-embedded; Antigen retrieval: citrate buffer (0.01M, pH6.0), Boiling bathing for 15 min; Block endogenous peroxidase by 3% Hydrogen peroxide for 30 min; Blocking buffer (normal goat serum) at 37°C for 20 min; Incubation: Anti-GLIS3 Polyclonal Antibody, Unconjugated (TMAB-00776) 1:200, overnight at 4°C, followed by conjugation to the secondary antibody and DAb staining. 2. Tissue/cell: rat thyroid gland; 4% Paraformaldehyde-fixed and paraffin-embedded; Antigen retrieval: citrate buffer (0.01M, pH6.0), Boiling bathing for 15 min; Block endogenous peroxidase by 3% Hydrogen peroxide for 30 min; Blocking buffer (normal goat serum) at 37°C for 20 min; Incubation: Anti-GLIS3 Polyclonal Antibody, Unconjugated (TMAB-00776) 1:200, overnight at 4°C, followed by conjugation to the secondary antibody and DAb staining. 3. Tissue/cell: Rat kidney tissue; 4% Paraformaldehyde-fixed and paraffin-embedded; Antigen retrieval: citrate buffer (0.01M, pH6.0), Boiling bathing for 15 min; Block endogenous peroxidase by 3% Hydrogen peroxide for 30 min; Blocking buffer (normal goat serum) at 37°C for 20 min; Incubation: Anti-GLIS3 Polyclonal Antibody, Unconjugated (TMAB-00776) 1:200, overnight at 4°C, followed by conjugation to the secondary antibody and DAb staining. 4. Tissue/cell: Sheep thyroid tissue; 4% Paraformaldehyde-fixed and paraffin-embedded; Antigen retrieval: citrate buffer (0.01M, pH6.0), Boiling bathing for 15 min; Block endogenous peroxidase by 3% Hydrogen peroxide for 30 min; Blocking buffer (normal goat serum) at 37°C for 20 min; Incubation: Anti-GLIS3 Polyclonal Antibody, Unconjugated (TMAB-00776) 1:200, overnight at 4°C, followed by conjugation to the secondary antibody and DAb staining. 5. Tissue/cell: human kidney tissue; 4% Paraformaldehyde-fixed and paraffin-embedded; Antigen retrieval: citrate buffer (0.01M, pH6.0), Boiling bathing for 15 min; Block endogenous peroxidase by 3% Hydrogen peroxide for 30 min; Blocking buffer (normal goat serum) at 37°C for 20 min; Incubation: Anti-GLIS3 Polyclonal Antibody, Unconjugated (TMAB-00776) 1:200, overnight at 4°C, followed by conjugation to the secondary antibody and DAb staining. 6. Sample: Lane 1: Human U251 cell lysates Lane 2: Human U87MG cell lysates Lane 3: Human A549 cell lysates Lane 4: Human 293T cell lysates Lane 5: Human MDA-MB-231 cell lysates Primary: Anti-GLIS3 (TMAB-00776) at 1/1000 dilution Secondary: IRDye800CW Goat Anti-Rabbit IgG at 1/20000 dilution Predicted band size: 84 kDa Observed band size: 84 kDa ![]() ![]() ![]() ![]() ![]() ![]() |
| Application | |
| Recommended Dose | WB: 1:500-2000; IHC-P: 1:100-500; IHC-Fr: 1:100-500; IF: 1:100-500; ELISA: 1:5000-10000 |
| Antibody Type | Polyclonal |
| Host Species | Rabbit |
| Subcellular Localization | Nuclear |
| Tissue Specificity | In the adult, expressed at high levels in the kidney and at lower levels in the brain, skeletal muscle, pancreas, liver, lung, thymus and ovary. |
| Construction | Polyclonal Antibody |
| Purification | Protein A purified |
| Appearance | Liquid |
| Formulation | 0.01M TBS (pH7.4) with 1% BSA, 0.02% Proclin300 and 50% Glycerol. |
| Concentration | 1 mg/mL |
| Research Background | This gene is a member of the GLI-similar zinc finger protein family and encodes a nuclear protein with five C2H2-type zinc finger domains. This protein functions as both a repressor and activator of transcription and is specifically involved in the development of pancreatic beta cells, the thyroid, eye, liver and kidney. Mutations in this gene have been associated with neonatal diabetes and congenital hypothyroidism (NDH). Alternatively spliced variants that encode different protein isoforms have been described but the full-length nature of only two have been determined. [provided by RefSeq, Jul 2008] |
| Immunogen | KLH conjugated synthetic peptide: human GLIS3 |
| Antigen Species | Human |
| Gene Name | GLIS3 |
| Gene ID | |
| Protein Name | Zinc finger protein GLIS3 |
| Uniprot ID | |
| Biology Area | Krueppel like factor,Zinc Finger,Krueppel like factor,Pol II Transcription,Transcription Factors |
| Function | GLIS3 is a member of the GLI similar zinc finger protein family, and encodes a nuclear protein with five C2H2 type zinc finger domains. It functions as both an activator and repressor of transcription, and is specifically involved in the development of pancreatic beta cells, thyroid, eye, liver and kidney. Mutations in this gene have been associated with neonatal diabetes and congenital hypothyroidism (NDH). Alternatively spliced variants that encode different protein isoforms have been described but the full length nature of only two have been determined. |
| Molecular Weight | Theoretical: 84 kDa. Actual: 84 kDa. |
| Stability & Storage | Store at -20°C or -80°C for 12 months. Avoid repeated freeze-thaw cycles. |
| Transport | Shipping with blue ice. |
| Size | Quantity | Unit Price | Amount | Operation |
|---|

Copyright © 2015-2026 TargetMol Chemicals Inc. All Rights Reserved.