Shopping Cart
Remove All
Your shopping cart is currently empty
Synonyms: rho/rac guanine nucleotide exchange factor 2, rho/rac guanine nucleotide exchange factor (GEF) 2, rho/rac guanine nucleotide exchange factor, Rho guanine nucleotide exchange factor 2, Protein GEF-H1, Proliferating cell nucleolar antigen p40, P40, mKIAA0651, Microtubule-regulated Rho-GEF, MGC95068, LFP40, Lfc, Lbcl1, KIAA0651, Guanine nucleotide exchange factor H1, GEF-H1, GEFH1, GEF H1, GEF, ARHGEF-2, ARHGEF2, ARHGEF 2, ARHG2_HUMAN, ARHG2, AA408978
| Pack Size | Price | USA Stock | Global Stock | Quantity |
|---|---|---|---|---|
| 50 μL | $296 | 7-10 days | 7-10 days | |
| 100 μL | $496 | 7-10 days | 7-10 days |
| Description | Anti-GEF H1 Antibody (3H958) is a Rabbit antibody targeting GEF H1. Anti-GEF H1 Antibody (3H958) can be used in FCM,ICC,IF,IHC,WB. |
| Synonyms | rho/rac guanine nucleotide exchange factor 2, rho/rac guanine nucleotide exchange factor (GEF) 2, rho/rac guanine nucleotide exchange factor, Rho guanine nucleotide exchange factor 2, Protein GEF-H1, Proliferating cell nucleolar antigen p40, P40, mKIAA0651, Microtubule-regulated Rho-GEF, MGC95068, LFP40, Lfc, Lbcl1, KIAA0651, Guanine nucleotide exchange factor H1, GEF-H1, GEFH1, GEF H1, GEF, ARHGEF-2, ARHGEF2, ARHGEF 2, ARHG2_HUMAN, ARHG2, AA408978 |
| Ig Type | IgG |
| Clone | 3H958 |
| Reactivity | Human,Mouse,Rat |
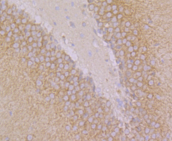
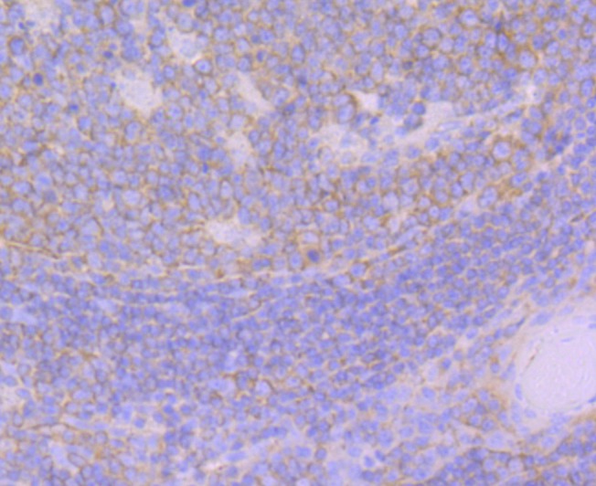
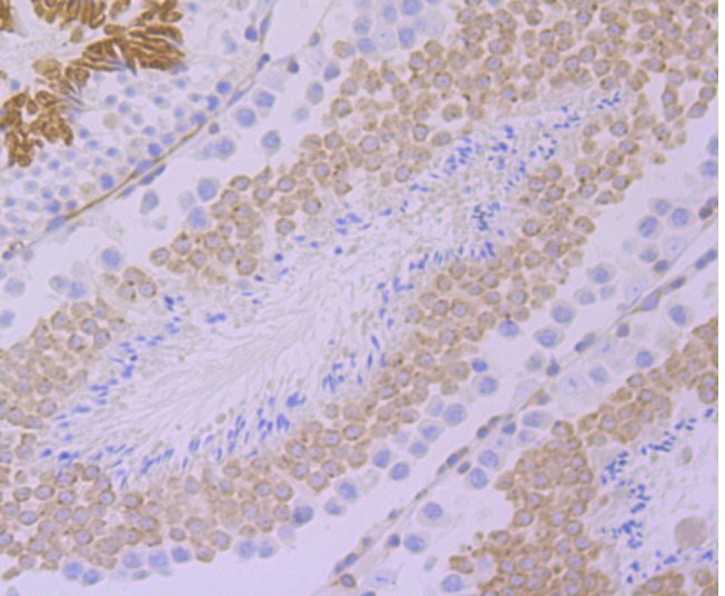
| Verified Activity | 1. Western blot analysis of GEF H1 on 293T and A431 cells lysates using anti-GEF H1 antibody at 1/500 dilution. 2. Immunohistochemical analysis of paraffin-embedded human tonsil tissue using anti-GEF H1 antibody. Counter stained with hematoxylin. 3. Immunohistochemical analysis of paraffin-embedded mouse testis tissue using anti-GEF H1 antibody. Counter stained with hematoxylin. 4. Immunohistochemical analysis of paraffin-embedded rat brain tissue using anti-GEF H1 antibody. Counter stained with hematoxylin. 5. ICC staining GEF H1 in SH-SY-5Y cells (green). The nuclear counter stain is DAPI (blue). Cells were fixed in paraformaldehyde, permeabilised with 0.25% Triton X100/PBS. 6. ICC staining GEF H1 in HUVEC cells (green). The nuclear counter stain is DAPI (blue). Cells were fixed in paraformaldehyde, permeabilised with 0.25% Triton X100/PBS. 7. Flow cytometric analysis of HL-60 cells with GEF H1 antibody at 1/100 dilution (yellow) compared with an unlabelled control (cells without incubation with primary antibody; purple).Alexa Fluor 488-conjugated goat anti-rabbit IgG was used as the secondary antibody. |
| Application | |
| Recommended Dose | WB: 1:500; IHC: 1:50-200; ICC: 1:50-200; FCM: 1:50-100 |
| Antibody Type | Monoclonal |
| Host Species | Rabbit |
| Construction | Recombinant Antibody |
| Purification | ProA affinity purified |
| Appearance | Liquid |
| Formulation | 1*TBS (pH7.4), 1%BSA, 40%Glycerol. Preservative: 0.05% Sodium Azide. |
| Research Background | Activates Rho-GTPases by promoting the exchange of GDP for GTP. May be involved in epithelial barrier permeability, cell motility and polarization, dendritic spine morphology, antigen presentation, leukemic cell differentiation, cell cycle regulation, innate immune response, and cancer. May stimulate instead the cortical activity of Rac. Inactive toward CDC42, TC10, or Ras-GTPases. Forms an intracellular sensing system along with NOD1 for the detection of microbial effectors during cell invasion by pathogens. Required for RHOA and RIP2 dependent NF-kappaB signaling pathways activation upon S.flexneri cell invasion. Involved not only in sensing peptidoglycan (PGN)-derived muropeptides through NOD1 that is independent of its GEF activity, but also in the activation of NF-kappaB by Shigella effector proteins (IpgB2 and OspB) which requires its GEF activity and the activation of RhoA. |
| Conjucates | Unconjugated |
| Immunogen | Recombinant Protein: C-terminal human GEF H1 |
| Antigen Species | human |
| Uniprot ID |
| Molecular Weight | Theoretical: 111 kDa. |
| Stability & Storage | Store at -20°C or -80°C for 12 months. Avoid repeated freeze-thaw cycles. |
| Transport | Shipping with blue ice. |
| Size | Quantity | Unit Price | Amount | Operation |
|---|

Copyright © 2015-2026 TargetMol Chemicals Inc. All Rights Reserved.