Shopping Cart
Remove All
Your shopping cart is currently empty
Anti-GDNF Polyclonal Antibody is a Rabbit antibody targeting GDNF. Anti-GDNF Polyclonal Antibody can be used in IF,IHC-Fr,IHC-P,WB.
| Pack Size | Price | USA Stock | Global Stock | Quantity |
|---|---|---|---|---|
| 50 μL | $221 | 7-10 days | 7-10 days | |
| 100 μL | $373 | 7-10 days | 7-10 days | |
| 200 μL | $527 | 7-10 days | 7-10 days |
| Description | Anti-GDNF Polyclonal Antibody is a Rabbit antibody targeting GDNF. Anti-GDNF Polyclonal Antibody can be used in IF,IHC-Fr,IHC-P,WB. |
| Ig Type | IgG |
| Reactivity | Human,Mouse,Rat |
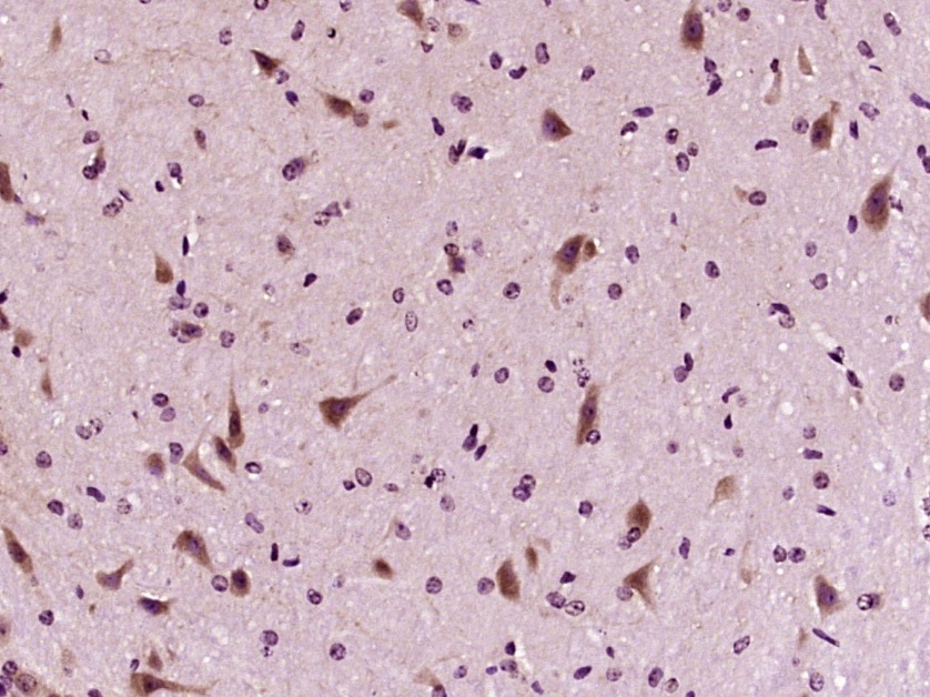
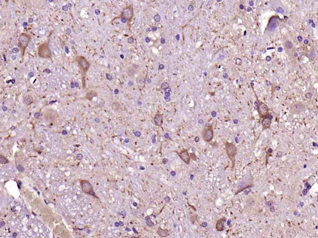
| Verified Activity | 1. Paraformaldehyde-fixed, paraffin embedded (Mouse brain); Antigen retrieval by boiling in sodium citrate buffer (pH6.0) for 15 min; Block endogenous peroxidase by 3% hydrogen peroxide for 20 min; Blocking buffer (normal goat serum) at 37°C for 30 min; Antibody incubation with (GDNF) Polyclonal Antibody, Unconjugated (TMAB-00760) at 1:400 overnight at 4°C, followed by operating according to SP Kit (Rabbit) instructionsand DAB staining. 2. Paraformaldehyde-fixed, paraffin embedded (rat spinal cord); Antigen retrieval by boiling in sodium citrate buffer (pH6.0) for 15 min; Block endogenous peroxidase by 3% hydrogen peroxide for 20 min; Blocking buffer (normal goat serum) at 37°C for 30 min; Antibody incubation with (GDNF) Polyclonal Antibody, Unconjugated (TMAB-00760) at 1:200 overnight at 4°C, followed by operating according to SP Kit (Rabbit) instructionsand DAB staining. 3. Sample: Lane 1: Cerebrum (Mouse) Lysate at 40 μg Lane 2: Spinal cord (Mouse) Lysate at 40 μg Lane 3: Cerebrum (Rat) Lysate at 40 μg Lane 4: Spinal cord (Rat) Lysate at 40 μg Lane 5: U87MG (Human) Cell Lysate at 30 μg Lane 6: U251 (Human) Cell Lysate at 30 μg Primary: Anti-GDNF (TMAB-00760) at 1/1000 dilution Secondary: IRDye800CW Goat Anti-Rabbit IgG at 1/20000 dilution Predicted band size: 25/20 kDa Observed band size: 28 kDa ![]() ![]() ![]() |
| Application | |
| Recommended Dose | WB: 1:500-2000; IHC-P: 1:100-500; IHC-Fr: 1:100-500; IF: 1:200-800 |
| Antibody Type | Polyclonal |
| Host Species | Rabbit |
| Subcellular Localization | Secreted. |
| Tissue Specificity | In the brain, predominantly expressed in the striatum with highest levels in the caudate and lowest in the putamen. Isoform 2 is absent from most tissues except for low levels in intestine and kidney. Highest expression of isoform 3 is found in pancreatic |
| Construction | Polyclonal Antibody |
| Purification | Protein A purified |
| Appearance | Liquid |
| Formulation | 0.01M TBS (pH7.4) with 1% BSA, 0.02% Proclin300 and 50% Glycerol. |
| Concentration | 1 mg/mL |
| Research Background | Neurobiology. Neurotrophins. Neuroscience. This gene encodes a highly conserved neurotrophic factor. The recombinant form of this protein was shown to promote the survival and differentiation of dopaminergic neurons in culture, and was able to prevent apoptosis of motor neurons induced by axotomy. The encoded protein is processed to a mature secreted form that exists as a homodimer. The mature form of the protein is a ligand for the product of the RET (rearranged during transfection) protooncogene. In addition to the transcript encoding GDNF, two additional alternative transcripts encoding distinct proteins, referred to as astrocyte-derived trophic factors, have also been described. Mutations in this gene may be associated with Hirschsprung disease. |
| Immunogen | KLH conjugated synthetic peptide: human GDNF |
| Antigen Species | Human |
| Gene Name | GDNF |
| Gene ID | |
| Protein Name | Glial cell line-derived neurotrophic factor |
| Uniprot ID | |
| Biology Area | Kidney development,Neurotrophins,Amyotrophic lateral sclerosis,Parkinson's disease |
| Function | Neurotrophic factor that enhances survival and morphological differentiation of dopaminergic neurons and increases their high-affinity dopamine uptake. |
| Molecular Weight | Theoretical: 15 kDa. Actual: 28 kDa. |
| Stability & Storage | Store at -20°C or -80°C for 12 months. Avoid repeated freeze-thaw cycles. |
| Transport | Shipping with blue ice. |
| Size | Quantity | Unit Price | Amount | Operation |
|---|

Copyright © 2015-2026 TargetMol Chemicals Inc. All Rights Reserved.