Shopping Cart
Remove All
Your shopping cart is currently empty
Anti-GDF2 Polyclonal Antibody is a Rabbit antibody targeting GDF2. Anti-GDF2 Polyclonal Antibody can be used in IF,IHC-Fr,IHC-P,WB.
| Pack Size | Price | USA Stock | Global Stock | Quantity |
|---|---|---|---|---|
| 50 μL | $222 | 7-10 days | 7-10 days | |
| 100 μL | $373 | 7-10 days | 7-10 days | |
| 200 μL | $529 | 7-10 days | 7-10 days |
| Description | Anti-GDF2 Polyclonal Antibody is a Rabbit antibody targeting GDF2. Anti-GDF2 Polyclonal Antibody can be used in IF,IHC-Fr,IHC-P,WB. |
| Synonyms | Growth/differentiation factor 2, GDF-2, GDF2, Bone morphogenetic protein 9 (BMP-9), BMP9 |
| Ig Type | IgG |
| Reactivity | Human,Mouse,Rat (predicted:Rabbit) |
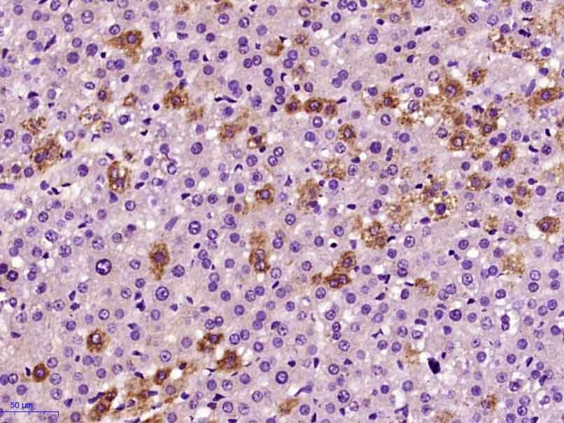
| Verified Activity | 1. Sample: HepG2 Cell (Human) Lysate at 40 μg Primary: Anti-BMP9 (TMAB-00757) at 1/300 dilution Secondary: IRDye800CW Goat Anti-Rabbit IgG at 1/20000 dilution Predicted band size: 12/47 kDa Observed band size: 50 kDa 2. Sample: Liver (Mouse) Lysate at 40 μg Primary: Anti-BMP9 (TMAB-00757) at 1/300 dilution Secondary: IRDye800CW Goat Anti-Rabbit IgG at 1/20000 dilution Predicted band size: 12/47 kDa Observed band size: 50 kDa 3. Paraformaldehyde-fixed, paraffin embedded (Rat liver); Antigen retrieval by boiling in sodium citrate buffer (pH6.0) for 15 min; Block endogenous peroxidase by 3% hydrogen peroxide for 20 min; Blocking buffer (normal goat serum) at 37°C for 30 min; Antibody incubation with (BMP9) Polyclonal Antibody, Unconjugated (TMAB-00757) at 1:400 overnight at 4°C, followed by operating according to SP Kit (Rabbit) instructionsand DAB staining. ![]() ![]() ![]() |
| Application | |
| Recommended Dose | WB: 1:500-2000; IHC-P: 1:100-500; IHC-Fr: 1:100-500; IF: 1:100-500 |
| Antibody Type | Polyclonal |
| Host Species | Rabbit |
| Subcellular Localization | Secreted. |
| Construction | Polyclonal Antibody |
| Purification | Protein A purified |
| Appearance | Liquid |
| Formulation | 0.01M TBS (pH7.4) with 1% BSA, 0.02% Proclin300 and 50% Glycerol. |
| Concentration | 1 mg/mL |
| Research Background | The protein encoded by this gene is a member of the bone morphogenetic protein (BMP) family and the TGF-beta superfamily. This group of proteins is characterized by a polybasic proteolytic processing site which is cleaved to produce a mature protein containing seven conserved cysteine residues. The members of this family are regulators of cell growth and differentiation in both embryonic and adult tissues. Studies in rodents suggest that this protein plays a role in the adult liver and in differentiation of cholinergic central nervous system neurons. [provided by RefSeq, Jul 2008]. |
| Immunogen | KLH conjugated synthetic peptide: human BMP9 |
| Antigen Species | Human |
| Gene Name | GDF2 |
| Gene ID | |
| Protein Name | Growth/differentiation factor 2 |
| Uniprot ID | |
| Function | Could be involved in bone formation. |
| Molecular Weight | Theoretical: 12/47 kDa. Actual: 50 kDa. |
| Stability & Storage | Store at -20°C or -80°C for 12 months. Avoid repeated freeze-thaw cycles. |
| Transport | Shipping with blue ice. |
| Size | Quantity | Unit Price | Amount | Operation |
|---|

Copyright © 2015-2026 TargetMol Chemicals Inc. All Rights Reserved.