Shopping Cart
Remove All
Your shopping cart is currently empty
Synonyms: RTR, Retinoid receptor-related testis-specific receptor, Retinoid receptor related testis specific receptor, Retinoic acid receptor related testis associated receptor, Orphan nuclear receptor NR6A1, Nuclear receptor subfamily 6 group A member 1, NR6A1_HUMAN, nr6a1, NR61, NR 61, hRTR, hGCNF, Germ cell nuclear factor, GCNF1, GCNF 1, GCNF
Anti-GCNF Antibody
(6U757)
| Pack Size | Price | USA Stock | Global Stock | Quantity |
|---|---|---|---|---|
| 50 µL | $298 | 7-10 days | 7-10 days | |
| 100 µL | $428 | 7-10 days | 7-10 days |
| Description | Anti-GCNF Antibody (6U757) is a Mouse antibody targeting GCNF. Anti-GCNF Antibody (6U757) can be used in FCM,ICC,IHC,WB. |
| Synonyms | RTR, Retinoid receptor-related testis-specific receptor, Retinoid receptor related testis specific receptor, Retinoic acid receptor related testis associated receptor, Orphan nuclear receptor NR6A1, Nuclear receptor subfamily 6 group A member 1, NR6A1_HUMAN, nr6a1, NR61, NR 61, hRTR, hGCNF, Germ cell nuclear factor, GCNF1, GCNF 1, GCNF |
| Clone | 6U757 |
| Reactivity | Human |
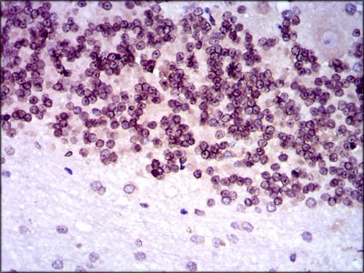
| Verified Activity | 1. Western blot analysis of GCNF on human GCNF recombinant protein using anti- GCNF antibody at 1/1,000 dilution. 2. Western blot analysis of GCNF on HEK293 (1) and GCNF -hIgGFc transfected HEK293 (2) cell lysate using anti-GCNF antibody at 1/1,000 dilution. 3. Western blot analysis of GCNF on different cell lysates using anti-GCNF antibody at 1/1,000 dilution. Positive control:Lane1: K562, Lane2: NTERA-2, Lane3: HEK293, Lane4: HUVE-12, Lane5: HeLa. 4. Immunohistochemical analysis of paraffin-embedded human cerebellum tissue using anti-GCNF antibody. Counter stained with hematoxylin. 5. Immunohistochemical analysis of paraffin-embedded human rectum cancer tissue using anti-GCNF antibody. Counter stained with hematoxylin. 6. ICC staining GCNF (green) in HepG2 cells. The nuclear counter stain is DAPI (blue). Cells were fixed in paraformaldehyde, permeabilised with 0.25% Triton X100/PBS. 7. Flow cytometric analysis of K562 cells with GCNF antibody at 1/100 dilution (green) compared with an unlabelled control (cells without incubation with primary antibody; red). , , , , , ,![]() |
| Application | |
| Recommended Dose | WB: 1:500-1000; IHC: 1:100-500; ICC: 1:50-200; FCM: 1:100-200 |
| Antibody Type | Monoclonal |
| Host Species | Mouse |
| Construction | Hybridoma Monoclonal Antibody |
| Purification | ProA affinity purified |
| Appearance | Liquid |
| Formulation | 1*TBS (pH7.4), 1%BSA, Preservative: 0.05% Sodium Azide. |
| Research Background | Germ cell nuclear factor (GCNF) is an orphan member of the nuclear receptor gene superfamily that influences neurogenesis and germ cell development. GCNF can homodimerize and bind DNA. GCNF regulates paracrine interaction between the oocyte and somatic cells by regulating the expression of BMP-15 and GDF-9, to affect female fertility. GCNF is present in spermatocytes and round spermatids of adult male mouse testis; northern blot and ribonuclease protection assays have shown GCNF is predominant in the testis. The gene expresses three alternatively spliced transcript variants. |
| Conjucates | Unconjugated |
| Immunogen | Recombinant Protein |
| Uniprot ID |
| Molecular Weight | Theoretical: 54 kDa. |
| Stability & Storage | Store at -20°C or -80°C for 12 months. Avoid repeated freeze-thaw cycles. |
| Transport | Shipping with blue ice. |
| Size | Quantity | Unit Price | Amount | Operation |
|---|

Copyright © 2015-2026 TargetMol Chemicals Inc. All Rights Reserved.