Shopping Cart
Remove All
Your shopping cart is currently empty
Synonyms: Oxyntomodulin, OXY, OXM, Incretin Hormone, GRPP, Glucagon-Like Peptide 2, Glucagon-Like Peptide 1, Glucagon, GLP-2, GLP-1, Glicentin-Related Polypeptide, Glicentin, GCG
| Pack Size | Price | USA Stock | Global Stock | Quantity |
|---|---|---|---|---|
| 50 μL | $222 | 7-10 days | 7-10 days | |
| 100 μL | $372 | 7-10 days | 7-10 days | |
| 200 μL | $529 | 7-10 days | 7-10 days |
| Description | Anti-GCG Polyclonal Antibody is a Rabbit antibody targeting GCG. Anti-GCG Polyclonal Antibody can be used in IF,IHC-Fr,IHC-P. |
| Synonyms | Oxyntomodulin, OXY, OXM, Incretin Hormone, GRPP, Glucagon-Like Peptide 2, Glucagon-Like Peptide 1, Glucagon, GLP-2, GLP-1, Glicentin-Related Polypeptide, Glicentin, GCG |
| Ig Type | IgG |
| Reactivity | Human,Mouse,Rat |
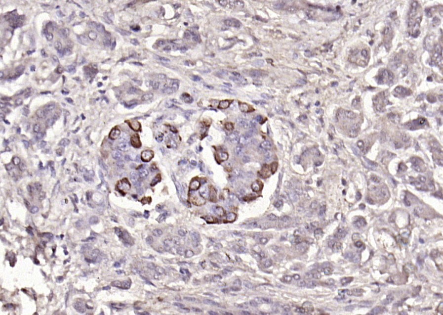
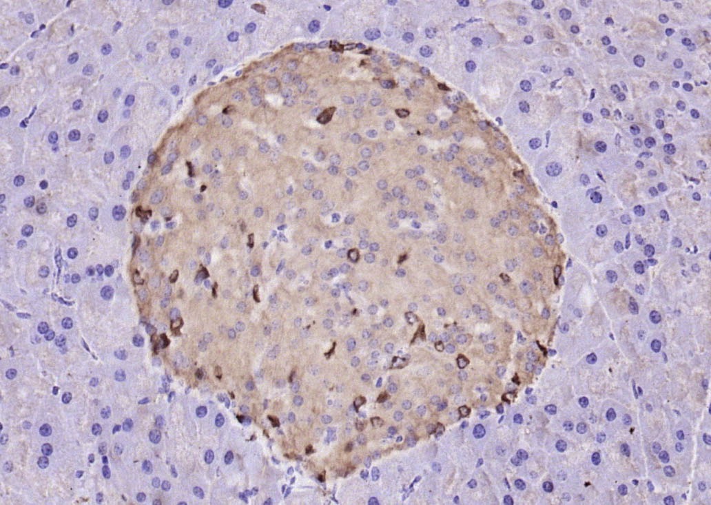
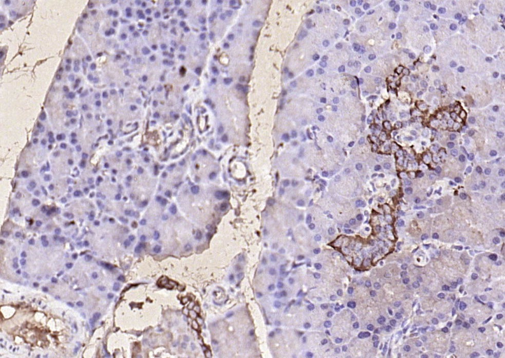
| Verified Activity | 1. Paraformaldehyde-fixed, paraffin embedded (mouse pancreas); Antigen retrieval by boiling in sodium citrate buffer (pH6.0) for 15 min; Block endogenous peroxidase by 3% hydrogen peroxide for 20 min; Blocking buffer (normal goat serum) at 37°C for 30 min; Antibody incubation with (GLP-1) Polyclonal Antibody, Unconjugated (TMAB-00750) at 1:200 overnight at 4°C, followed by operating according to SP Kit (Rabbit) instructionsand DAB staining. 2. Paraformaldehyde-fixed, paraffin embedded (rat pancreas); Antigen retrieval by boiling in sodium citrate buffer (pH6.0) for 15 min; Block endogenous peroxidase by 3% hydrogen peroxide for 20 min; Blocking buffer (normal goat serum) at 37°C for 30 min; Antibody incubation with (GLP-1) Polyclonal Antibody, Unconjugated (TMAB-00750) at 1:200 overnight at 4°C, followed by operating according to SP Kit (Rabbit) instructionsand DAB staining. 3. Paraformaldehyde-fixed, paraffin embedded (human pancreatic cancer); Antigen retrieval by boiling in sodium citrate buffer (pH6.0) for 15 min; Block endogenous peroxidase by 3% hydrogen peroxide for 20 min; Blocking buffer (normal goat serum) at 37°C for 30 min; Antibody incubation with (GLP-1) Polyclonal Antibody, Unconjugated (TMAB-00750) at 1:200 overnight at 4°C, followed by operating according to SP Kit (Rabbit) instructionsand DAB staining. |
| Application | |
| Recommended Dose | IHC-P: 1:100-500; IHC-Fr: 1:100-500; IF: 1:100-500 |
| Antibody Type | Polyclonal |
| Host Species | Rabbit |
| Subcellular Localization | Secreted. |
| Tissue Specificity | Glucagon is secreted in the A cells of the islets of Langerhans. GLP-1, GLP-2, oxyntomodulin and glicentin are secreted from enteroendocrine cells throughout the gastrointestinal tract. GLP1 and GLP2 are also secreted in selected neurons in the brain. |
| Construction | Polyclonal Antibody |
| Purification | Protein A purified |
| Appearance | Liquid |
| Formulation | 0.01M TBS (pH7.4) with 1% BSA, 0.02% Proclin300 and 50% Glycerol. |
| Concentration | 1 mg/mL |
| Research Background | Glucagon plays a key role in glucose metabolism and homeostasis. Regulates blood glucose by increasing gluconeogenesis and decreasing glycolysis. A counterregulatory hormone of insulin, raises plasma glucose levels in response to insulin-induced hypoglycemia. Plays an important role in initiating and maintaining hyperglycemic conditions in diabetes. |
| Immunogen | KLH conjugated synthetic peptide: human GLP-1 |
| Antigen Species | Human |
| Gene Name | GCG |
| Gene ID | |
| Protein Name | Pro-glucagon |
| Uniprot ID | |
| Biology Area | Integration of energy metabolism,Hormones,Endoderm,Integration of energy,Cancer,Hormones,Endoderm |
| Function | Glucagon plays a key role in glucose metabolism and homeostasis. Regulates blood glucose by increasing gluconeogenesis and decreasing glycolysis. A counterregulatory hormone of insulin, raises plasma glucose levels in response to insulin-induced hypoglycemia. Plays an important role in initiating and maintaining hyperglycemic conditions in diabetes. GLP-1 is a potent stimulator of glucose-dependent insulin release. Play important roles on gastric motility and the suppression of plasma glucagon levels. May be involved in the suppression of satiety and stimulation of glucose disposal in peripheral tissues, independent of the actions of insulin. Have growth-promoting activities on intestinal epithelium. May also regulate the hypothalamic pituitary axis (HPA) via effects on LH, TSH, CRH, oxytocin, and vasopressin secretion. Increases islet mass through stimulation of islet neogenesis and pancreatic beta cell proliferation. Inhibits beta cell apoptosis. GLP-2 stimulates intestinal growth and up-regulates villus height in the small intestine, concomitant with increased crypt cell proliferation and decreased enterocyte apoptosis. The gastrointestinal tract, from the stomach to the colon is the principal target for GLP-2 action. Plays a key role in nutrient homeostasis, enhancing nutrient assimilation through enhanced gastrointestinal function, as well as increasing nutrient disposal. Stimulates intestinal glucose transport and decreases mucosal permeability. Oxyntomodulin significantly reduces food intake. Inhibits gastric emptying in humans. Suppression of gastric emptying may lead to increased gastric distension, which may contribute to satiety by causing a sensation of fullness. Glicentin may modulate gastric acid secretion and the gastro-pyloro-duodenal activity. May play an important role in intestinal mucosal growth in the early period of life |
| Molecular Weight | Theoretical: 21 kDa. |
| Stability & Storage | Store at -20°C or -80°C for 12 months. Avoid repeated freeze-thaw cycles. |
| Transport | Shipping with blue ice. |
| Size | Quantity | Unit Price | Amount | Operation |
|---|

Copyright © 2015-2026 TargetMol Chemicals Inc. All Rights Reserved.