Shopping Cart
Remove All
Your shopping cart is currently empty
Synonyms: XLTT, XLTDA, XLANP, Transcription factor GATA1, Nuclear factor erythroid 1, NF-E1 DNA-binding protein, NFE1, NFE 1, NF E1 DNA binding protein, NF E1, Globin transcription factor 1, GF-1, GF1, GF 1, GATA-binding factor 1, GATA1_HUMAN, GATA-1, GATA1, GATA binding protein 1 (globin transcription factor 1), GATA binding protein 1, GATA binding factor 1, GATA 1, Erythrold transcription factor 1, Erythroid transcription factor, Eryf1, ERYF 1, Anemia, X-linked, without thrombocytopenia, included
| Pack Size | Price | USA Stock | Global Stock | Quantity |
|---|---|---|---|---|
| 50 μL | $298 | 7-10 days | 7-10 days | |
| 100 μL | $496 | 7-10 days | 7-10 days |
| Description | Anti-GATA1 Antibody (4D22) is a Rabbit antibody targeting GATA1. Anti-GATA1 Antibody (4D22) can be used in FCM,IHC,IP,WB. |
| Synonyms | XLTT, XLTDA, XLANP, Transcription factor GATA1, Nuclear factor erythroid 1, NF-E1 DNA-binding protein, NFE1, NFE 1, NF E1 DNA binding protein, NF E1, Globin transcription factor 1, GF-1, GF1, GF 1, GATA-binding factor 1, GATA1_HUMAN, GATA-1, GATA1, GATA binding protein 1 (globin transcription factor 1), GATA binding protein 1, GATA binding factor 1, GATA 1, Erythrold transcription factor 1, Erythroid transcription factor, Eryf1, ERYF 1, Anemia, X-linked, without thrombocytopenia, included |
| Ig Type | IgG |
| Clone | 4D22 |
| Reactivity | Human |
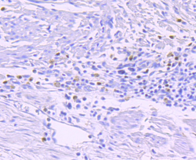
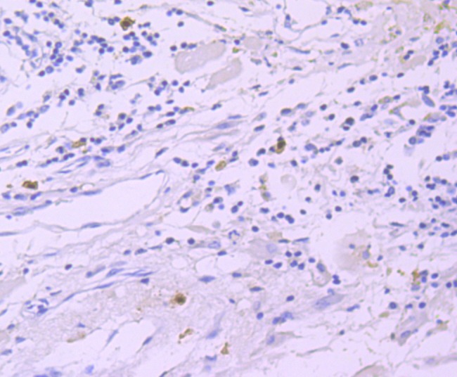
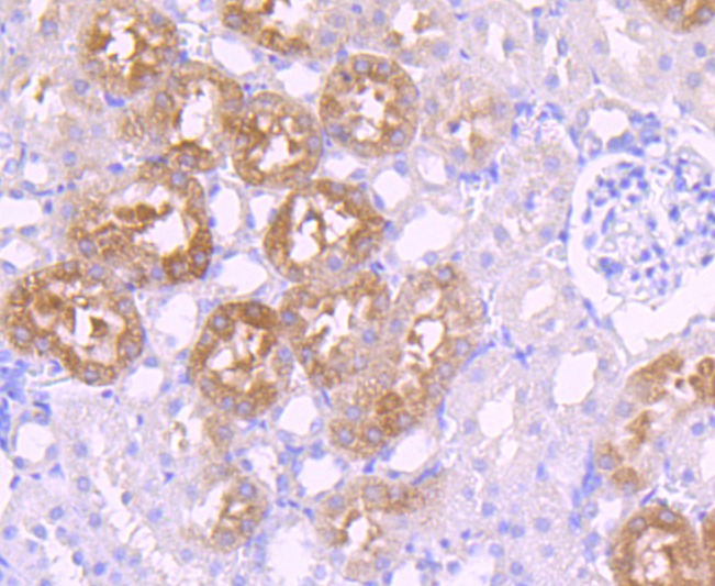
| Verified Activity | 1. Western blot analysis of GATA1 on K562 cell using anti-GATA1 antibody at 1/1,000 dilution. 2. Immunohistochemical analysis of paraffin-embedded human breast cancer tissue using anti-GATA1 antibody. Counter stained with hematoxylin. 3. Immunohistochemical analysis of paraffin-embedded human liver tissue using anti-GATA1 antibody. Counter stained with hematoxylin. 4. Immunohistochemical analysis of paraffin-embedded human kidney tissue using anti-GATA1 antibody. Counter stained with hematoxylin. |
| Application | |
| Recommended Dose | WB: 1:500-1000; IHC: 1:50-200; ICC: 1:50-200; FCM: 1:50-100 |
| Antibody Type | Monoclonal |
| Host Species | Rabbit |
| Construction | Recombinant Antibody |
| Purification | ProA affinity purified |
| Appearance | Liquid |
| Formulation | 1*TBS (pH7.4), 1%BSA, 40%Glycerol. Preservative: 0.05% Sodium Azide. |
| Research Background | Transcriptional activator which probably serves as a general switch factor for erythroid development. It binds to DNA sites with the consensus sequence [AT]GATA[AG] within regulatory regions of globin genes and of other genes expressed in erythroid cells. |
| Conjucates | Unconjugated |
| Immunogen | Recombinant Protein |
| Uniprot ID |
| Molecular Weight | Theoretical: 43 kDa. |
| Stability & Storage | Store at -20°C or -80°C for 12 months. Avoid repeated freeze-thaw cycles. |
| Transport | Shipping with blue ice. |
| Size | Quantity | Unit Price | Amount | Operation |
|---|

Copyright © 2015-2026 TargetMol Chemicals Inc. All Rights Reserved.