Shopping Cart
Remove All
Your shopping cart is currently empty
Anti-Gasdermin-C Polyclonal Antibody is a Rabbit antibody targeting Gasdermin-C. Anti-Gasdermin-C Polyclonal Antibody can be used in IF,IHC-Fr,IHC-P,WB.
| Pack Size | Price | USA Stock | Global Stock | Quantity |
|---|---|---|---|---|
| 50 μL | $221 | 7-10 days | 7-10 days | |
| 100 μL | $373 | 7-10 days | 7-10 days | |
| 200 μL | $529 | 7-10 days | 7-10 days |
| Description | Anti-Gasdermin-C Polyclonal Antibody is a Rabbit antibody targeting Gasdermin-C. Anti-Gasdermin-C Polyclonal Antibody can be used in IF,IHC-Fr,IHC-P,WB. |
| Synonyms | MLZE, Melanoma-derived leucine zipper-containing extranuclear factor, GSDMC, Gasdermin-C |
| Ig Type | IgG |
| Reactivity | Human |
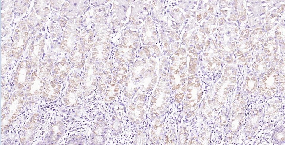
| Verified Activity | 1. Sample: EC-9706 Cell (Human) Lysate at 40 μg FHC Cell (Human) Lysate at 40 μg Primary: Anti-GSDMC (TMAB-00745) at 1/300 dilution Secondary: IRDye800CW Goat Anti-Rabbit IgG at 1/20000 dilution Predicted band size: 58 kDa Observed band size: 58 kDa 2. Paraformaldehyde-fixed, paraffin embedded (human stomach); Antigen retrieval by boiling in sodium citrate buffer (pH6.0) for 15 min; Block endogenous peroxidase by 3% hydrogen peroxide for 20 min; Blocking buffer (normal goat serum) at 37°C for 30 min; Antibody incubation with (GSDMC) Polyclonal Antibody, Unconjugated (TMAB-00745) at 1:200 overnight at 4°C, followed by operating according to SP Kit (Rabbit) instructionsand DAB staining. 3. Sample: Lane 1: Human A431 cell lysates Lane 2: Human A549 cell lysates Lane 3: Human 293T cell lysates Primary: Anti-GSDMC (TMAB-00745) at 1/1000 dilution Secondary: IRDye800CW Goat Anti-Rabbit IgG at 1/20000 dilution Predicted band size: 58 kDa Observed band size: 47 kDa ![]() ![]() ![]() |
| Application | |
| Recommended Dose | WB: 1:500-2000; IHC-P: 1:100-500; IHC-Fr: 1:100-500; IF: 1:100-500 |
| Antibody Type | Polyclonal |
| Host Species | Rabbit |
| Subcellular Localization | Cytoplasm. |
| Tissue Specificity | Expressed primarily in trachea and spleen. |
| Construction | Polyclonal Antibody |
| Purification | Protein A purified |
| Appearance | Liquid |
| Formulation | 0.01M TBS (pH7.4) with 1% BSA, 0.02% Proclin300 and 50% Glycerol. |
| Concentration | 1 mg/mL |
| Immunogen | KLH conjugated synthetic peptide: human GSDMC |
| Antigen Species | Human |
| Gene Name | GSDMC |
| Gene ID | |
| Protein Name | Gasdermin-C |
| Uniprot ID | |
| Biology Area | Tumor biomarkers |
| Molecular Weight | Theoretical: 58 kDa. Actual: 47 kDa. |
| Stability & Storage | Store at -20°C or -80°C for 12 months. Avoid repeated freeze-thaw cycles. |
| Transport | Shipping with blue ice. |
| Size | Quantity | Unit Price | Amount | Operation |
|---|

Copyright © 2015-2026 TargetMol Chemicals Inc. All Rights Reserved.