Shopping Cart
Remove All
Your shopping cart is currently empty
Anti-GARS Antibody (2F92) is a Rabbit antibody targeting GARS. Anti-GARS Antibody (2F92) can be used in IHC,WB.
| Pack Size | Price | USA Warehouse | Global Warehouse | Quantity |
|---|---|---|---|---|
| 50 μL | $298 | 7-10 days | 7-10 days | |
| 100 μL | $498 | 7-10 days | 7-10 days |
| Description | Anti-GARS Antibody (2F92) is a Rabbit antibody targeting GARS. Anti-GARS Antibody (2F92) can be used in IHC,WB. |
| Synonyms | GARS |
| Ig Type | IgG |
| Clone | 2F92 |
| Reactivity | Human,Mouse,Rat |
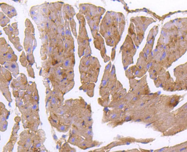
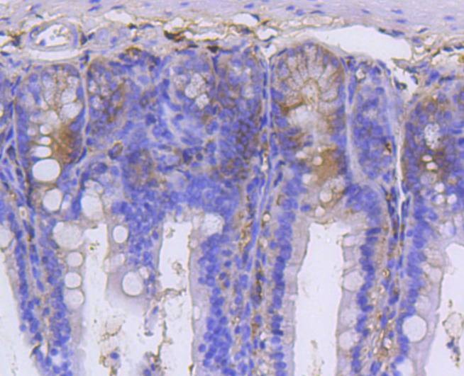
| Verified Activity | 1. Western blot analysis of GARS on Raji cells lysates using anti-GARS antibody at 1/1,000 dilution. 2. Immunohistochemical analysis of paraffin-embedded mouse colon tissue using anti-GARS antibody. Counter stained with hematoxylin. 3. Immunohistochemical analysis of paraffin-embedded mouse heart tissue using anti-GARS antibody. Counter stained with hematoxylin. ![]() ![]() ![]() |
| Application | |
| Recommended Dose | WB: 1:1000-2000; IHC: 1:50-200 |
| Antibody Type | Monoclonal |
| Host Species | Rabbit |
| Construction | Recombinant Antibody |
| Purification | ProA affinity purified |
| Appearance | Liquid |
| Formulation | 1*TBS (pH7.4), 1%BSA, 40%Glycerol. Preservative: 0.05% Sodium Azide. |
| Research Background | The fidelity of protein synthesis requires efficient discrimination of amino acid substrates by aminoacyl-tRNA synthetases. Proteins belonging to this family function to catalyze the aminoacylation of tRNAs by their corresponding amino acids, thus linking amino acids with tRNA-contained nucleotide triplets. GlyRS (Glycyl-tRNA synthetase), also known as Glycine-tRNA ligase, is a 739 amino acid class II synthetase that is widely expressed, including in the brain and spinal cord. Defects in the gene encoding GlyRS is the cause of Charcot-Marie-Tooth disease type 2D (CMT2D), which is an autosomal dominant inherited disease characterized by severe weakness, atrophy and absence of deep tendon reflexes in the upper extremities. Defects in the GlyRS gene is also the cause of distal hereditary muscular neuropathy type V (HMN5), a disease similar to CMT2D, though the distal sensory involvement is less severe in HMN5 patients. |
| Conjucates | Unconjugated |
| Immunogen | Recombinant Protein |
| Uniprot ID |
| Molecular Weight | Theoretical: 75 kDa. |
| Stability & Storage | Store at -20°C or -80°C for 12 months. Avoid repeated freeze-thaw cycles. |
| Transport | Shipping with blue ice. |
| Size | Quantity | Unit Price | Amount | Operation |
|---|

Copyright © 2015-2026 TargetMol Chemicals Inc. All Rights Reserved.