Shopping Cart
Remove All
Your shopping cart is currently empty
Anti-GAPDH Antibody (4W994) is a Rabbit antibody targeting GAPDH. Anti-GAPDH Antibody (4W994) can be used in FCM,ICC/IF,IHC,IP,WB.
| Pack Size | Price | USA Warehouse | Global Warehouse | Quantity |
|---|---|---|---|---|
| 50 μL | $298 | 7-10 days | 7-10 days | |
| 100 μL | $496 | 7-10 days | 7-10 days |
| Description | Anti-GAPDH Antibody (4W994) is a Rabbit antibody targeting GAPDH. Anti-GAPDH Antibody (4W994) can be used in FCM,ICC/IF,IHC,IP,WB. |
| Synonyms | HEL-S-162eP, glyceraldehyde-3-phosphate dehydrogenase, GAPD, G3PD |
| Ig Type | IgG |
| Clone | 4W994 |
| Reactivity | Human,Mouse,Rat,Monkey,Chicken,zebrafish |
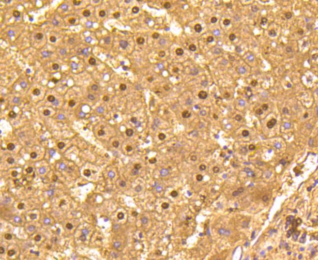
| Verified Activity | 1. Western blot analysis of GAPDH on different cell lysates using anti-GAPDH antibody at 1/1,000 dilution. Positive control: Lane 1: NCCIT, Lane 2: PC12, Lane 3: F9. 2. Immunohistochemical analysis of paraffin-embedded human liver tissue using anti-GAPDH antibody. Counter stained with hematoxylin. 3. Immunohistochemical analysis of paraffin-embedded mouse liver tissue using anti-GAPDH antibody. Counter stained with hematoxylin. 4. Immunohistochemical analysis of paraffin-embedded mouse spleen tissue using anti-GAPDH antibody. Counter stained with hematoxylin. 5. ICC staining GAPDH in A549 cells (green). The nuclear counter stain is DAPI (blue). Cells were fixed in paraformaldehyde, permeabilised with 0.25% Triton X100/PBS. 6. ICC staining GAPDH in HepG2 cells (green). The nuclear counter stain is DAPI (blue). Cells were fixed in paraformaldehyde, permeabilised with 0.25% Triton X100/PBS. 7. Flow cytometric analysis of HepG2 cells with GAPDH antibody at 1/50 dilution (blue) compared with an unlabelled control (cells without incubation with primary antibody; red). Alexa Fluor 488-conjugated goat anti-rabbit IgG was used as the secondary antibody. ![]() ![]() ![]() ![]() ![]() ![]() ![]() |
| Application | |
| Recommended Dose | WB: 1:1000-5000; IHC: 1:50-200; ICC/IF: 1:50-200; FCM: 1:10-100 |
| Antibody Type | Monoclonal |
| Host Species | Rabbit |
| Construction | Recombinant Antibody |
| Purification | ProA affinity purified |
| Appearance | Liquid |
| Formulation | 1*TBS (pH7.4), 1%BSA, 40%Glycerol. Preservative: 0.05% Sodium Azide. |
| Research Background | GAPDH (Glyceraldehyde-3-phosphate dehydrogenase) has both glyceraldehyde-3-phosphate dehydrogenase and nitrosylase activities, thereby playing a role in glycolysis and nuclear functions, respectively. It participates in nuclear events including transcription, RNA transport, DNA replication and apoptosis. GAPDH is a key enzyme in glycolysis that catalyzes the first step of the pathway by converting D-glyceraldehyde 3-phosphate (G3P) into 3-phospho-D-glyceroyl phosphate. |
| Conjucates | Unconjugated |
| Immunogen | Recombinant Protein |
| Uniprot ID |
| Molecular Weight | Theoretical: 36 kDa. |
| Stability & Storage | Store at -20°C or -80°C for 12 months. Avoid repeated freeze-thaw cycles. |
| Transport | Shipping with blue ice. |
| Size | Quantity | Unit Price | Amount | Operation |
|---|

Copyright © 2015-2026 TargetMol Chemicals Inc. All Rights Reserved.