Shopping Cart
Remove All
Your shopping cart is currently empty
Anti-gamma Catenin Antibody (1O589) is a Rabbit antibody targeting gamma Catenin. Anti-gamma Catenin Antibody (1O589) can be used in FCM,ICC/IF,IHC,WB.
| Pack Size | Price | USA Warehouse | Global Warehouse | Quantity |
|---|---|---|---|---|
| 50 μL | $297 | 7-10 days | 7-10 days | |
| 100 μL | $496 | 7-10 days | 7-10 days |
| Description | Anti-gamma Catenin Antibody (1O589) is a Rabbit antibody targeting gamma Catenin. Anti-gamma Catenin Antibody (1O589) can be used in FCM,ICC/IF,IHC,WB. |
| Synonyms | γCatenin, γ Catenin, PLAKOGLOBIN, PLAK_HUMAN, PKGB, PDGB, OTTHUMP00000164738, OTTHUMP00000164735, OTTHUMP00000164732, JUP, Junction plakoglobin, gCatenin, gammaCatenin, gamma catenin, gamma 80kDa, g Catenin, DPIII, DP3, DP III, DP 3, DesmoplakinIII, Desmoplakin-3, Desmoplakin3, Desmoplakin III, Desmoplakin 3, CTNNG, Catenin gamma, catenin (cadherin-associated protein) gamma (80kD), Catenin (cadherin associated protein), ARVD12, ARVD 12 |
| Ig Type | IgG |
| Clone | 1O589 |
| Reactivity | Human,Mouse,Rat |
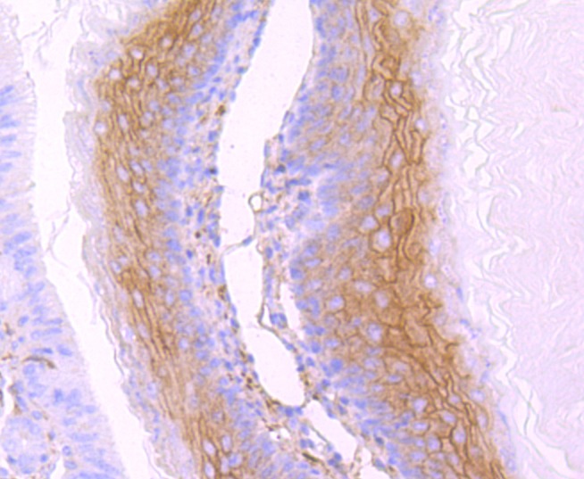
| Verified Activity | 1. Western blot analysis of gamma Catenin on Hela cells lysates using anti-gamma Catenin antibody at 1/1,000 dilution. 2. Immunohistochemical analysis of paraffin-embedded mouse stomach tissue using anti-gamma Catenin antibody. Counter stained with hematoxylin. 3. ICC staining gamma Catenin in Hela cells (red). The nuclear counter stain is DAPI (blue). Cells were fixed in paraformaldehyde, permeabilised with 0.25% Triton X100/PBS. 4. ICC staining gamma Catenin in MCF-7 cells (red). The nuclear counter stain is DAPI (blue). Cells were fixed in paraformaldehyde, permeabilised with 0.25% Triton X100/PBS. 5. ICC staining gamma Catenin in A431 cells (red). The nuclear counter stain is DAPI (blue). Cells were fixed in paraformaldehyde, permeabilised with 0.25% Triton X100/PBS. 6. Flow cytometric analysis of Hela cells with gamma Catenin antibody at 1/50 dilution (red) compared with an unlabelled control (cells without incubation with primary antibody; black). Alexa Fluor 488-conjugated goat anti rabbit IgG was used as the secondary antibody. ![]() ![]() ![]() ![]() ![]() ![]() |
| Application | |
| Recommended Dose | WB: 1:1000-2000; IHC: 1:50-200; ICC/IF: 1:100-500; FCM: 1:50-100 |
| Antibody Type | Monoclonal |
| Host Species | Rabbit |
| Construction | Recombinant Antibody |
| Purification | ProA affinity purified |
| Appearance | Liquid |
| Formulation | 1*TBS (pH7.4), 1%BSA, 40%Glycerol. Preservative: 0.05% Sodium Azide. |
| Research Background | The catenins, α, β and γ, are proteins which bind to the highly conserved, intracellular cytoplasmic tail of E-cadherin. Together, the catenin/cadherin complexes play an important role mediating cellular adhesion. α-catenin was initially described as an E-cadherin associated protein, and since has been shown to associate with other members of the cadherin family, such as N-cadherin and P-cadherin. β-catenin associates with the cytoplasmic portion of E-cadherin, which is necessary for the function of E-cadherin as an adhesion molecule. β-catenin has also been found in complexes with the tumor suppressor protein APC. γ-catenin, also known as plakoglobin, binds with α-catenin and N-cadherin. It has been shown that the transmembrane phosphatase PTP? associates with catenin/cadherin complexes and may regulate complex signaling. |
| Conjucates | Unconjugated |
| Immunogen | Recombinant Protein |
| Uniprot ID |
| Molecular Weight | Theoretical: 82 kDa. |
| Stability & Storage | Store at -20°C or -80°C for 12 months. Avoid repeated freeze-thaw cycles. |
| Transport | Shipping with blue ice. |
| Size | Quantity | Unit Price | Amount | Operation |
|---|

Copyright © 2015-2026 TargetMol Chemicals Inc. All Rights Reserved.