Shopping Cart
Remove All
Your shopping cart is currently empty
Anti-G-CSF Polyclonal Antibody is a Rabbit antibody targeting G-CSF. Anti-G-CSF Polyclonal Antibody can be used in IF,IHC-Fr,IHC-P.
| Pack Size | Price | USA Warehouse | Global Warehouse | Quantity |
|---|---|---|---|---|
| 50 μL | $220 | 7-10 days | 7-10 days | |
| 100 μL | $373 | 7-10 days | 7-10 days | |
| 200 μL | $529 | 7-10 days | 7-10 days |
| Description | Anti-G-CSF Polyclonal Antibody is a Rabbit antibody targeting G-CSF. Anti-G-CSF Polyclonal Antibody can be used in IF,IHC-Fr,IHC-P. |
| Synonyms | G-CSF, GCSF, CSF3OS, colony stimulating factor 3 (granulocyte), C17orf33OS, C17orf33 |
| Ig Type | IgG |
| Reactivity | Human,Mouse (predicted:Rat,Pig,Cow,Sheep) |
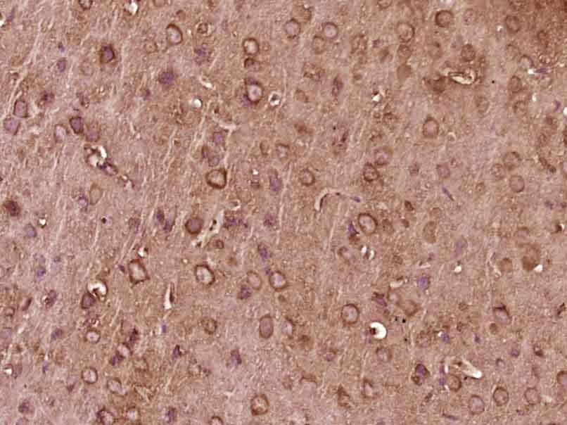
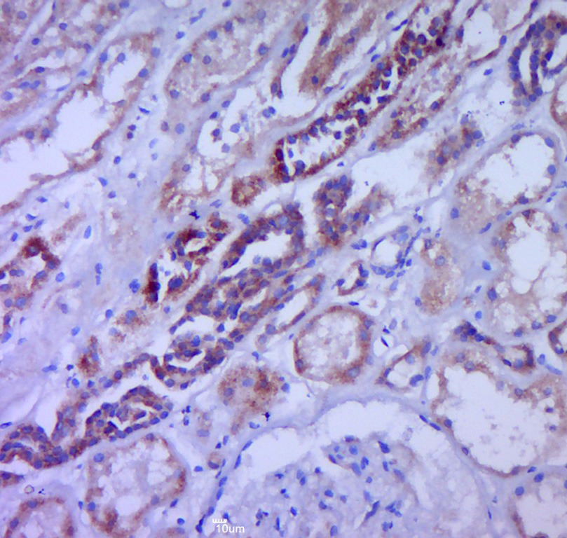
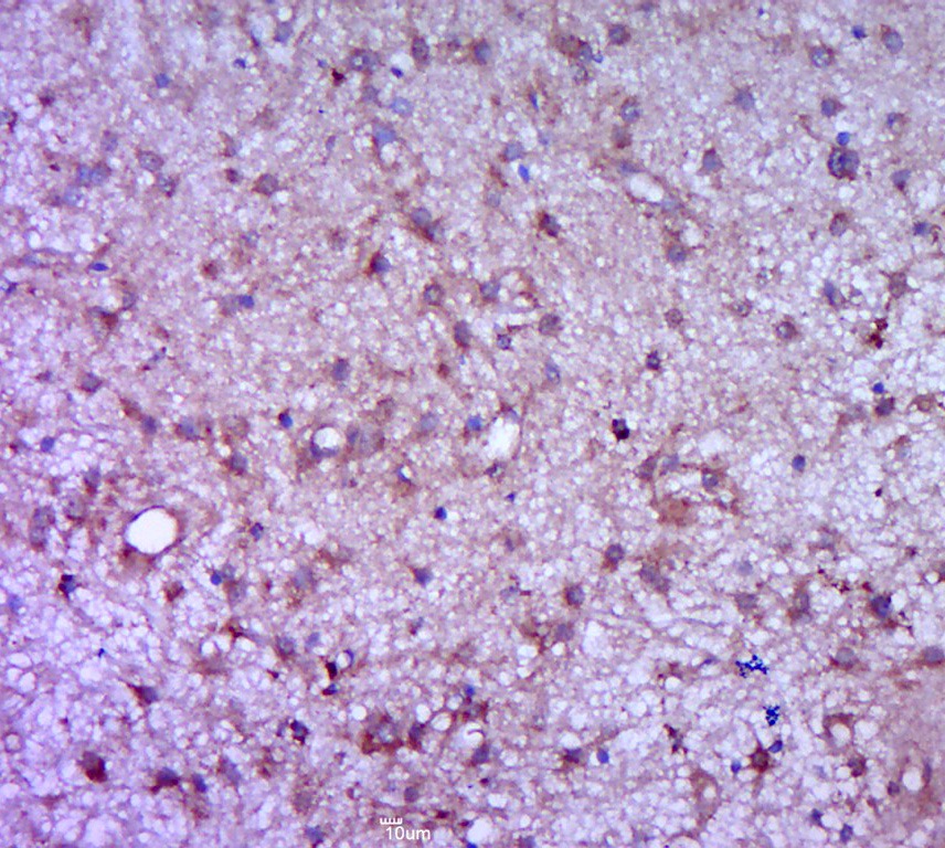
| Verified Activity | 1. Paraformaldehyde-fixed, paraffin embedded (human brain glioma); Antigen retrieval by boiling in sodium citrate buffer (pH6.0) for 15 min; Block endogenous peroxidase by 3% hydrogen peroxide for 20 min; Blocking buffer (normal goat serum) at 37°C for 30 min; Antibody incubation with (CSF3) Polyclonal Antibody, Unconjugated (TMAB-00755) at 1:400 overnight at 4°C, followed by a conjugated secondary for 20 min and DAB staining. 2. Paraformaldehyde-fixed, paraffin embedded (human kidney tissue); Antigen retrieval by boiling in sodium citrate buffer (pH6.0) for 15 min; Block endogenous peroxidase by 3% hydrogen peroxide for 20 min; Blocking buffer (normal goat serum) at 37°C for 30 min; Antibody incubation with (CSF3) Polyclonal Antibody, Unconjugated (TMAB-00755) at 1:400 overnight at 4°C, followed by a conjugated secondary for 20 min and DAB staining. 3. Paraformaldehyde-fixed, paraffin embedded (Mouse brain); Antigen retrieval by boiling in sodium citrate buffer (pH6.0) for 15 min; Block endogenous peroxidase by 3% hydrogen peroxide for 20 min; Blocking buffer (normal goat serum) at 37°C for 30 min; Antibody incubation with (G-CSF) Polyclonal Antibody, Unconjugated (TMAB-00755) at 1:400 overnight at 4°C, followed by operating according to SP Kit (Rabbit) instructionsand DAB staining. ![]() ![]() ![]() |
| Application | |
| Recommended Dose | IHC-P: 1:100-500; IHC-Fr: 1:100-500; IF: 1:100-500 |
| Antibody Type | Polyclonal |
| Host Species | Rabbit |
| Subcellular Localization | Secreted. |
| Construction | Polyclonal Antibody |
| Purification | Protein A purified |
| Appearance | Liquid |
| Formulation | 0.01M TBS (pH7.4) with 1% BSA, 0.02% Proclin300 and 50% Glycerol. |
| Concentration | 1 mg/mL |
| Research Background | Granulocyte-colony stimulating factor (G-CSF) is a growth factor and an essential cytokine belonging to the CSF family of hormone-like glycoproteins that regulate haematopoietic cell proliferation and differentiation. G-CSF was isolated initially as a factor supporting the growth of colonies of granulocytes in soft agar cultures. Cells of the monocyte/macrophage lineage are among the most prominent sources of G-CSF, but this factor can also be produced by normal cells of mesodermal origin, including vascular endothelial cells, fibroblasts, and mesothelial cells. Production of G-CSF can be induced in vitro in these cells by a wide variety of stimulatory agents, including LPS, TNF, IL-1, IL-3, I L-4, and IFN-Gamma. G-CSF is likely to play a role in the basal regulation of neutrophil production, and also functions as a primary regulatory factor controlling the neutrophil response to inflammatory stimuli. Furthermore, G-CSF exhibits other biological activities besides the proliferative effects, since G-CSF appears to modulate the distribution of neutrophils and progenitor cells within the body. |
| Immunogen | KLH conjugated synthetic peptide: human CSF3 |
| Antigen Species | Human |
| Gene Name | CSF3 |
| Gene ID | |
| Protein Name | Granulocyte colony-stimulating factor |
| Uniprot ID | |
| Biology Area | CSFs,Angiogenic growth factors |
| Function | Granulocyte/macrophage colony-stimulating factors are cytokines that act in hematopoiesis by controlling the production, differentiation, and function of 2 related white cell populations of the blood, the granulocytes and the monocytes-macrophages. This CSF induces granulocytes. |
| Molecular Weight | Theoretical: 19 kDa. |
| Stability & Storage | Store at -20°C or -80°C for 12 months. Avoid repeated freeze-thaw cycles. |
| Transport | Shipping with blue ice. |
| Size | Quantity | Unit Price | Amount | Operation |
|---|

Copyright © 2015-2026 TargetMol Chemicals Inc. All Rights Reserved.