Shopping Cart
Remove All
Your shopping cart is currently empty
Anti-FSHR Polyclonal Antibody is a Rabbit antibody targeting FSHR. Anti-FSHR Polyclonal Antibody can be used in FCM,IF,IHC-Fr,IHC-P,WB.
| Pack Size | Price | USA Stock | Global Stock | Quantity |
|---|---|---|---|---|
| 50 μL | $220 | 7-10 days | 7-10 days | |
| 100 μL | $374 | 7-10 days | 7-10 days | |
| 200 μL | $529 | 7-10 days | 7-10 days |
| Description | Anti-FSHR Polyclonal Antibody is a Rabbit antibody targeting FSHR. Anti-FSHR Polyclonal Antibody can be used in FCM,IF,IHC-Fr,IHC-P,WB. |
| Synonyms | LGR1, FSH-R, FSHR, Follitropin receptor, Follicle-stimulating hormone receptor |
| Ig Type | IgG |
| Reactivity | Human,Mouse,Rat (predicted:Dog,Pig,Cow,Horse,Sheep,GuineaPig) |
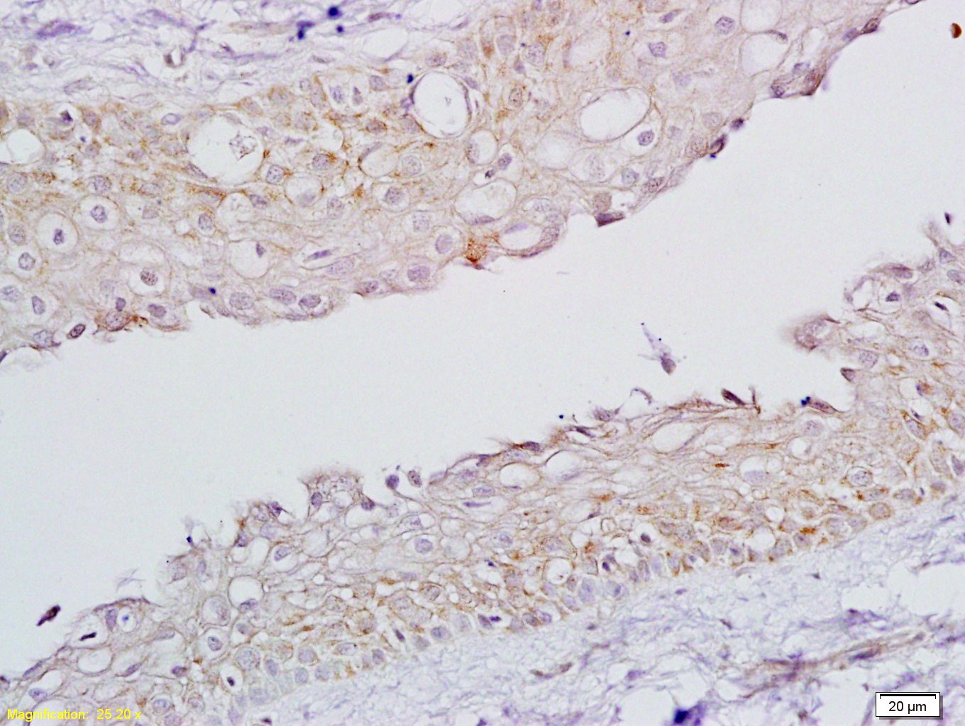
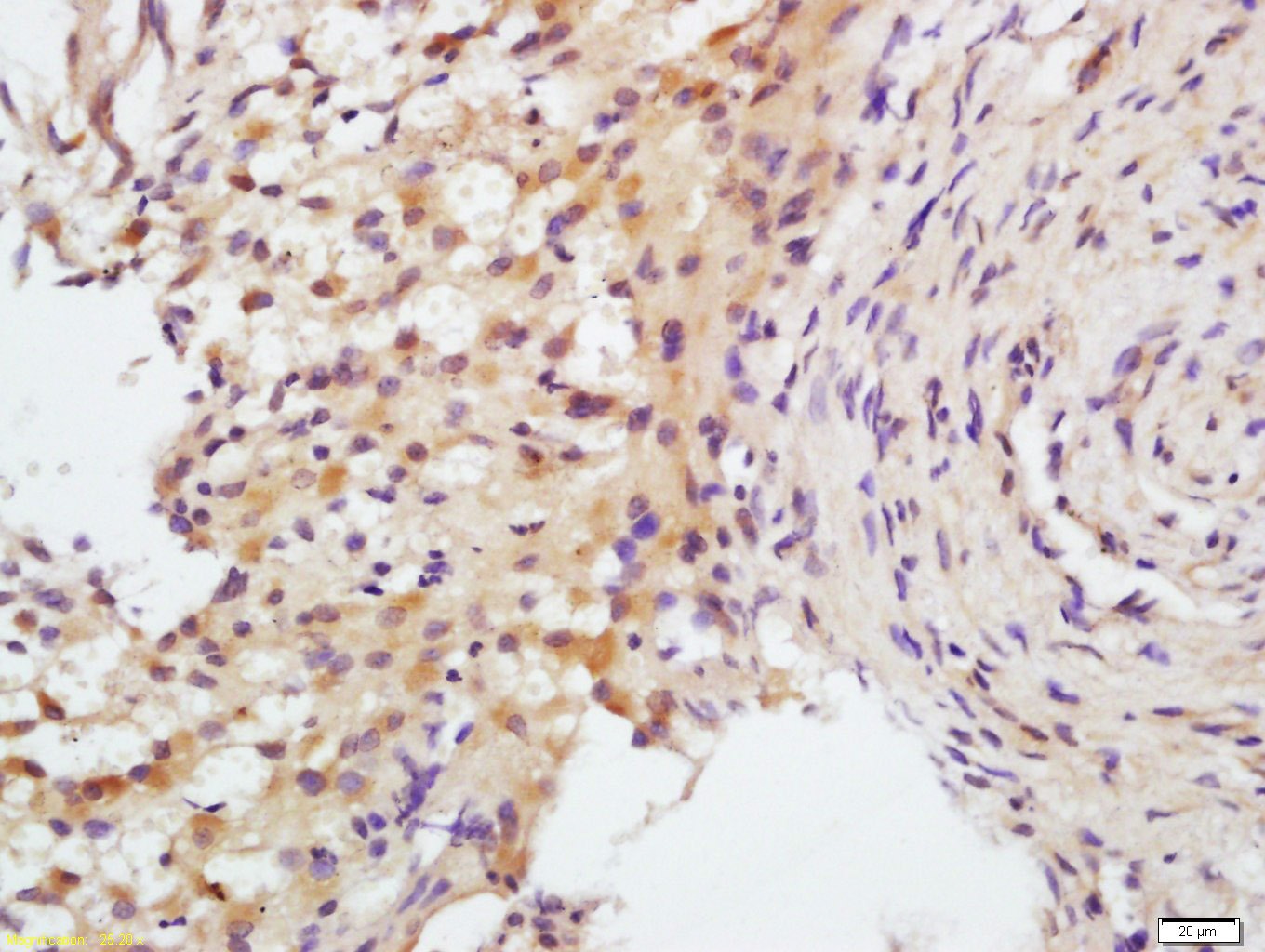
| Verified Activity | 1. Paraformaldehyde-fixed, paraffin embedded (rat ovary); Antigen retrieval by boiling in sodium citrate buffer (pH6.0) for 15 min; Block endogenous peroxidase by 3% hydrogen peroxide for 20 min; Blocking buffer (normal goat serum) at 37°C for 30 min; Antibody incubation with (FSH receptor) Polyclonal Antibody, Unconjugated (TMAB-00716) at 1:200 overnight at 4°C, followed by a conjugated secondary for 20 min and DAB staining. 2. Tissue/cell: human placenta tissue; 4% Paraformaldehyde-fixed and paraffin-embedded; Antigen retrieval: citrate buffer (0.01M, pH6.0), Boiling bathing for 15 min; Block endogenous peroxidase by 3% Hydrogen peroxide for 30 min; Blocking buffer (normal goat serum) at 37°C for 20 min; Incubation: Anti-FSH receptor Polyclonal Antibody, Unconjugated (TMAB-00716) 1:200, overnight at 4°C, followed by conjugation to the secondary antibody and DAb staining. 3. Blank control: HUVEC cells (blue). Primary Antibody: Rabbit Anti-FSH receptor antibody (TMAB-00716), Dilution: 1 μg in 100 μL 1X PBS containing 0.5% BSA; Isotype Control Antibody: Rabbit Igg (orange),used under the same conditions); Secondary Antibody: Goat anti-rabbit IgG-Pe (white blue), Dilution: 1:200 in 1 X PBS containing 0.5% BSA. Protocol The cells were fixed with 2% paraformaldehyde (10 min). Primary antibody (TMAB-00716, 1 μg/1x10^6 cells) were incubated for 30 min on the ice, followed by 1 X PBS containing 0.5% BSA + 10% goat serum (15 min) to block non-specific protein-protein interactions. Then the Goat Anti-rabbit IgG/PE antibody was added into the blocking buffer mentioned above to react with the primary antibody at 1/200 dilution for 30 min on ice. 4. Sample: Testis (Mouse) Lysate at 40 μg Primary: Anti-FSH receptor (TMAB-00716) at 1/300 dilution Secondary: IRDye800CW Goat Anti-Rabbit IgG at 1/20000 dilution Predicted band size: 78 kDa Observed band size: 78 kDa ![]() ![]() ![]() ![]() |
| Application | |
| Recommended Dose | WB: 1:500-2000; IHC-P: 1:100-500; IHC-Fr: 1:100-500; IF: 1:100-500; FCM: 1μg/Test |
| Antibody Type | Polyclonal |
| Host Species | Rabbit |
| Subcellular Localization | Cell membrane; Multi-pass membrane protein. |
| Tissue Specificity | Sertoli cells and ovarian granulosa cells. |
| Construction | Polyclonal Antibody |
| Purification | Protein A purified |
| Appearance | Liquid |
| Formulation | 0.01M TBS (pH7.4) with 1% BSA, 0.02% Proclin300 and 50% Glycerol. |
| Concentration | 1 mg/mL |
| Research Background | The protein encoded by this gene belongs to family 1 of G-protein coupled receptors. It is the receptor for follicle stimulating hormone and functions in gonad development. Mutations in this gene cause ovarian dysgenesis type 1, and also ovarian hyperstimulation syndrome. Alternative splicing results in multiple transcript variants. [provided by RefSeq, Mar 2010] |
| Immunogen | KLH conjugated synthetic peptide: human FSHR |
| Antigen Species | Human |
| Gene Name | FSHR |
| Gene ID | |
| Protein Name | Follicle-stimulating hormone receptor |
| Uniprot ID | |
| Biology Area | Gonadotrophic axis,More GPCR,GPCR |
| Function | Receptor for follicle-stimulating hormone. The activity of this receptor is mediated by G proteins which activate adenylate cyclase. |
| Molecular Weight | Theoretical: 78 kDa. Actual: 78 kDa. |
| Stability & Storage | Store at -20°C or -80°C for 12 months. Avoid repeated freeze-thaw cycles. |
| Transport | Shipping with blue ice. |
| Size | Quantity | Unit Price | Amount | Operation |
|---|

Copyright © 2015-2026 TargetMol Chemicals Inc. All Rights Reserved.