Shopping Cart
Remove All
Your shopping cart is currently empty
Anti-FOXO4 Antibody (2X512) is a Rabbit antibody targeting FOXO4. Anti-FOXO4 Antibody (2X512) can be used in IHC,WB.
| Pack Size | Price | USA Warehouse | Global Warehouse | Quantity |
|---|---|---|---|---|
| 50 μL | $296 | 7-10 days | 7-10 days | |
| 100 μL | $496 | 7-10 days | 7-10 days |
| Description | Anti-FOXO4 Antibody (2X512) is a Rabbit antibody targeting FOXO4. Anti-FOXO4 Antibody (2X512) can be used in IHC,WB. |
| Synonyms | trithorax homolog (Drosophila), translocated to 7, RGD1561201, Myeloid/lymphoid or mixed lineage leukemia, MLLT7, Mixed lineage leukemia, MGC120490, MGC117660, FOXO 4, Forkhead box O4, Fork head domain transcription factor AFX1, ALL1-fused gene from X chromosome, Afxh, AFX1, AFX |
| Ig Type | IgG |
| Clone | 2X512 |
| Reactivity | Human |
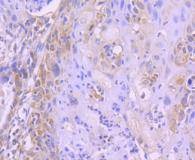
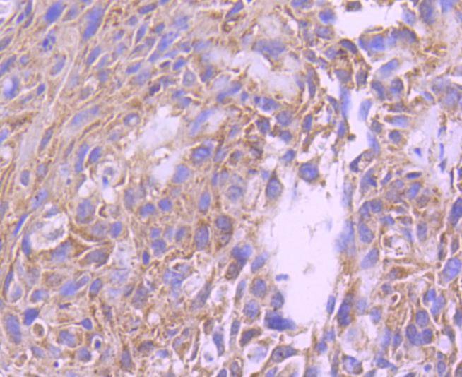
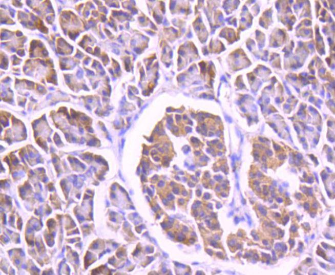
| Verified Activity | 1. Western blot analysis of FOXO4 on human lung lysates using anti-FOXO4 antibody at 1/1,000 dilution. 2. Immunohistochemical analysis of paraffin-embedded human lung cancer tissue using anti-FOXO4 antibody. Counter stained with hematoxylin. 3. Immunohistochemical analysis of paraffin-embedded human breast carcinoma tissue using anti-FOXO4 antibody. Counter stained with hematoxylin. 4. Immunohistochemical analysis of paraffin-embedded human pancreas tissue using anti-FOXO4 antibody. Counter stained with hematoxylin. ![]() ![]() ![]() ![]() |
| Application | |
| Recommended Dose | WB: 1:1000-2000; IHC: 1:50-200 |
| Antibody Type | Monoclonal |
| Host Species | Rabbit |
| Construction | Recombinant Antibody |
| Purification | ProA affinity purified |
| Appearance | Liquid |
| Formulation | 1*TBS (pH7.4), 1%BSA, 40%Glycerol. Preservative: 0.05% Sodium Azide. |
| Research Background | FKHR (for forkhead in rhabdomyosarcoma), FKHRL1, and AFX1 are members of a subfamily of the forkhead family of transcription factors. AFX1, also known as FoxO4, is expressed in a wide variety of tissues and, like other FKHR proteins, AFX1 contains a single forkhead domain and serine-proline-rich region, which mediate DNA binding. AFX1-mediated transcriptional activation is regulated by the serine/threonine kinase Akt1, which phosphorylates AFX1 and in turn, sequesters AFX1 in the cytosol, thereby blocking nuclear localization and DNA binding. Genetic mutations in FKHR genes, including the t(2;13) and t(1;3) translocations, are commonly found in alveolar rhabdomyosarcomas. Additionally, the t(x;11) translocation of the AFX1 gene, which involves the fusion of a serine-proline-rich sequence of AFX1 to the carboxy terminus of a truncated MLL, results in acute lymphocytic leukemia. |
| Conjucates | Unconjugated |
| Immunogen | Recombinant Protein |
| Uniprot ID |
| Molecular Weight | Theoretical: 54/48 kDa. |
| Stability & Storage | Store at -20°C or -80°C for 12 months. Avoid repeated freeze-thaw cycles. |
| Transport | Shipping with blue ice. |
| Size | Quantity | Unit Price | Amount | Operation |
|---|

Copyright © 2015-2026 TargetMol Chemicals Inc. All Rights Reserved.