Shopping Cart
Remove All
Your shopping cart is currently empty
Synonyms: Proto-oncogene c-Fos, p55, Oncogene FOS, G0S7, G0/G1 switch regulatory protein 7, FBJ Osteosarcoma Virus, FBJ murine osteosarcoma viral (v fos) oncogene homolog (oncogene FOS), Cellular oncogene c fos, C FOS, AP 1, Activator protein 1

| Pack Size | Price | USA Stock | Global Stock | Quantity |
|---|---|---|---|---|
| 50 μL | $217 | 7-10 days | 7-10 days | |
| 100 μL | $316 | 7-10 days | 7-10 days |
| Description | Anti-FOS Antibody (2T445) is a Mouse antibody targeting FOS. Anti-FOS Antibody (2T445) can be used in IF,IHC,WB. |
| Synonyms | Proto-oncogene c-Fos, p55, Oncogene FOS, G0S7, G0/G1 switch regulatory protein 7, FBJ Osteosarcoma Virus, FBJ murine osteosarcoma viral (v fos) oncogene homolog (oncogene FOS), Cellular oncogene c fos, C FOS, AP 1, Activator protein 1 |
| Ig Type | IgG1 |
| Clone | 2T445 |
| Reactivity | Human,Mouse,Rat |
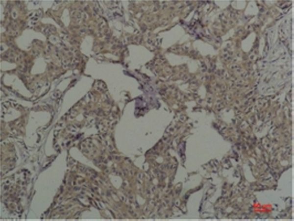
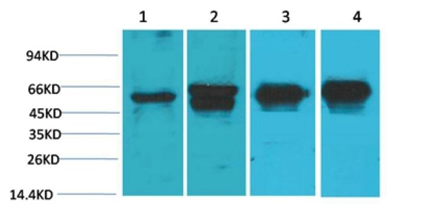
| Verified Activity | 1. Western blot analysis of 1) Hela, 2) 293T, 3) Mouse Brain Tissue, 4) Rat Brain Tissue with c-Fos Mouse mAb diluted at 1:2,000. 2. Immunohistochemical analysis of paraffin-embedded Human Breast Caricnoma using c-FosMouse mAb diluted at 1:200. |
| Application | |
| Recommended Dose | WB: 1:1000-3000; IHC: 1:50-200; IF: 1:50-200 |
| Antibody Type | Monoclonal |
| Host Species | Mouse |
| Construction | Hybridoma Monoclonal Antibody |
| Appearance | Liquid |
| Formulation | Liquid in PBS containing 50% glycerol, 0.5% BSA and 0.02% sodium azide. |
| Conjucates | Unconjugated |
| Immunogen | Recombinant Protein |
| Uniprot ID |
| Molecular Weight | Theoretical: 62 kDa. |
| Stability & Storage | Store at -20°C or -80°C for 12 months. Avoid repeated freeze-thaw cycles. |
| Transport | Shipping with blue ice. |
| Size | Quantity | Unit Price | Amount | Operation |
|---|

Copyright © 2015-2026 TargetMol Chemicals Inc. All Rights Reserved.