Shopping Cart
Remove All
Your shopping cart is currently empty
Anti-FKBP4 Antibody (1H771) is a Rabbit antibody targeting FKBP4. Anti-FKBP4 Antibody (1H771) can be used in FCM,ICC,IHC,WB.
| Pack Size | Price | USA Warehouse | Global Warehouse | Quantity |
|---|---|---|---|---|
| 50 μL | $297 | 7-10 days | 7-10 days | |
| 100 μL | $496 | 7-10 days | 7-10 days |
| Description | Anti-FKBP4 Antibody (1H771) is a Rabbit antibody targeting FKBP4. Anti-FKBP4 Antibody (1H771) can be used in FCM,ICC,IHC,WB. |
| Synonyms | Rotamase, Peptidyl-prolyl cis-trans isomerase FKBP4, immunophilin FKBP52, HSP-binding immunophilin, FKBP59, FKBP4, FK506-binding protein 4, 59kDa immunophilin, 51kDa FK506-binding protein |
| Ig Type | IgG |
| Clone | 1H771 |
| Reactivity | Human,Mouse |
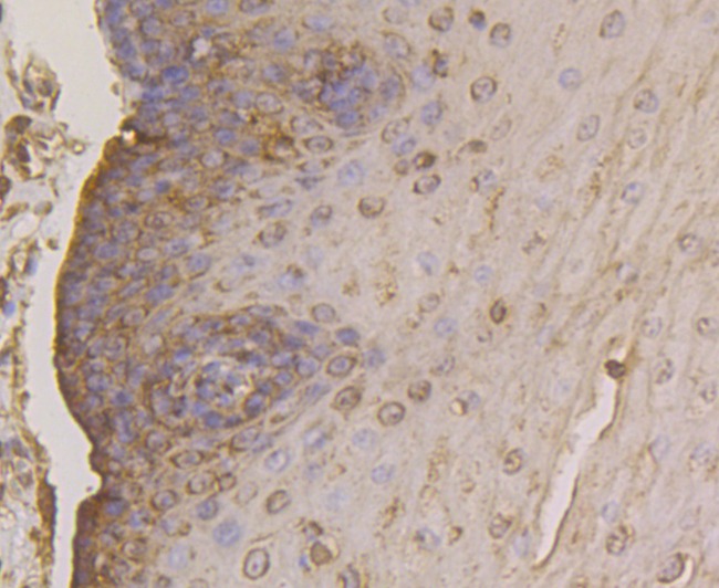
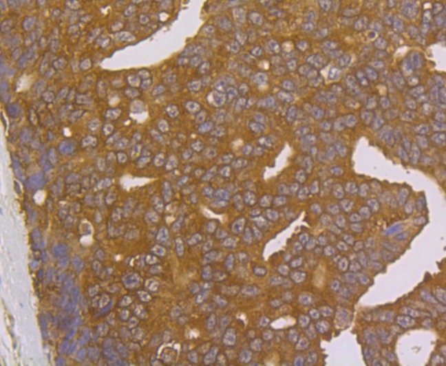
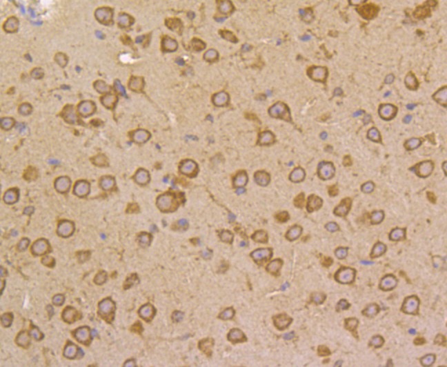
| Verified Activity | 1. Western blot analysis of FKBP52 on 293 (1) and SK-Br-3 (2) cell lysate using anti-FKBP52 antibody at 1/2,000 dilution. 2. Immunohistochemical analysis of paraffin-embedded human prostate cancer tissue using anti-FKBP52 antibody. Counter stained with hematoxylin. 3. Immunohistochemical analysis of paraffin-embedded human esophagus tissue using anti-FKBP52 antibody. Counter stained with hematoxylin. 4. Immunohistochemical analysis of paraffin-embedded mouse brain tissue using anti-FKBP52 antibody. Counter stained with hematoxylin. 5. ICC staining FKBP52 in 293T cells (green). The nuclear counter stain is DAPI (blue). Cells were fixed in paraformaldehyde, permeabilised with 0.25% Triton X100/PBS. 6. ICC staining FKBP52 in MCF-7 cells (green). The nuclear counter stain is DAPI (blue). Cells were fixed in paraformaldehyde, permeabilised with 0.25% Triton X100/PBS. 7. Flow cytometric analysis of 293T cells with FKBP52 antibody at 1/100 dilution (purple) compared with an unlabelled control (cells without incubation with primary antibody; yellow). Alexa Fluor 488-conjugated goat anti-rabbit IgG was used as the secondary antibody. ![]() ![]() ![]() ![]() ![]() ![]() ![]() |
| Application | |
| Recommended Dose | WB: 1:1000-2000; IHC: 1:50-200; ICC: 1:50-200; FCM: 1:50-100 |
| Antibody Type | Monoclonal |
| Host Species | Rabbit |
| Construction | Recombinant Antibody |
| Purification | ProA affinity purified |
| Appearance | Liquid |
| Formulation | 1*TBS (pH7.4), 1%BSA, 40%Glycerol. Preservative: 0.05% Sodium Azide. |
| Research Background | Immunophilin protein with PPIase and co-chaperone activities. Component of steroid receptors heterocomplexes through interaction with heat-shock protein 90 (HSP90). May play a role in the intracellular trafficking of heterooligomeric forms of steroid hormone receptors between cytoplasm and nuclear compartments. The isomerase activity controls neuronal growth cones via regulation of TRPC1 channel opening. Acts also as a regulator of microtubule dynamics by inhibiting MAPT/TAU ability to promote microtubule assembly. May have a protective role against oxidative stress in mitochondria. |
| Conjucates | Unconjugated |
| Immunogen | Recombinant Protein: human FKBP52 aa 1-200 |
| Antigen Species | human |
| Uniprot ID |
| Molecular Weight | Theoretical: 52 kDa. |
| Stability & Storage | Store at -20°C or -80°C for 12 months. Avoid repeated freeze-thaw cycles. |
| Transport | Shipping with blue ice. |
| Size | Quantity | Unit Price | Amount | Operation |
|---|

Copyright © 2015-2026 TargetMol Chemicals Inc. All Rights Reserved.