Shopping Cart
Remove All
Your shopping cart is currently empty
Anti-FGFR1 Antibody (9Z597) is a Rabbit antibody targeting FGFR1. Anti-FGFR1 Antibody (9Z597) can be used in ICC/IF,IHC,WB.
| Pack Size | Price | USA Warehouse | Global Warehouse | Quantity |
|---|---|---|---|---|
| 50 μL | $296 | 7-10 days | 7-10 days | |
| 100 μL | $498 | 7-10 days | 7-10 days |
| Description | Anti-FGFR1 Antibody (9Z597) is a Rabbit antibody targeting FGFR1. Anti-FGFR1 Antibody (9Z597) can be used in ICC/IF,IHC,WB. |
| Synonyms | N-sam, FLT-2, FGFR1 β (IIIc), FGFR-1, CD331, bFGF-R-1, BFGFR |
| Ig Type | IgG |
| Clone | 9Z597 |
| Reactivity | Human |
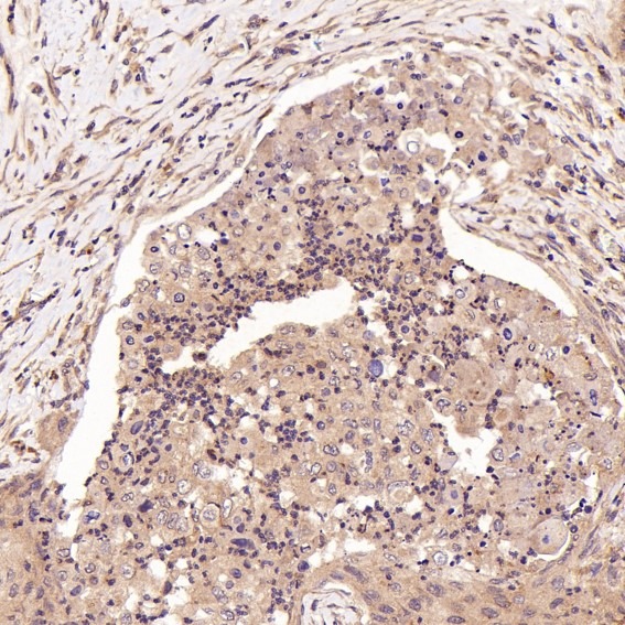
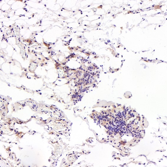
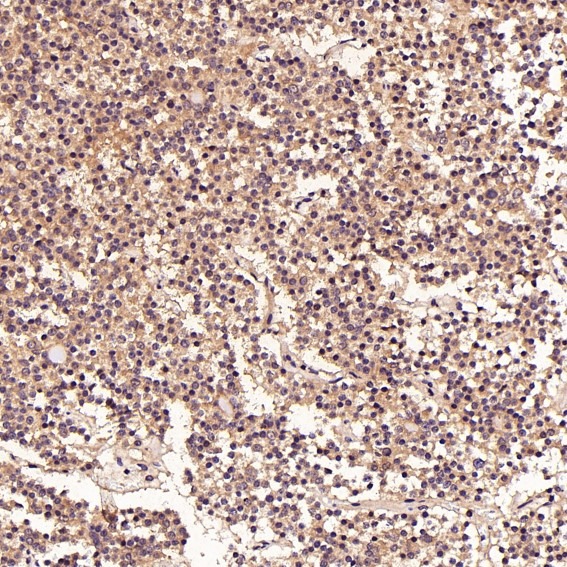
| Verified Activity | 1. Immunofluorescent analysis of HeLa cells, using FGFR1 Antibody. 2. Immunohistochemical analysis of paraffin-embedded Rat pancreas, using the Antibody at 1:50 dilution. 3. Immunohistochemical analysis of paraffin-embedded Human thymoma, using the Antibody at 1:50 dilution. 4. Immunohistochemical analysis of paraffin-embedded Human pituitary tumor, using the Antibody at 1:50 dilution. 5. Western blot analysis of FGFR1 expression in SH-SY5Y cell lysate. ![]() ![]() ![]() ![]() ![]() |
| Application | |
| Recommended Dose | WB: 1:1000-2000; IHC: 1:50-100; ICC/IF: 1:50-200 |
| Antibody Type | Monoclonal |
| Host Species | Rabbit |
| Construction | Recombinant Antibody |
| Purification | Affinity-chromatography |
| Appearance | Liquid |
| Formulation | Rabbit IgG in 10mM phosphate buffered saline , pH 7.4, 150mM sodium chloride, 0.05% BSA, 0.02% sodium azide and 50% glycerol. |
| Research Background | Tyrosine-protein kinase that acts as a cell-surface receptor for fibroblast growth factors and plays an essential role in the regulation of embryonic development, cell proliferation, differentiation and migration. |
| Conjucates | Unconjugated |
| Immunogen | A synthesized peptide: human FGFR1 |
| Antigen Species | human |
| Uniprot ID |
| Molecular Weight | Actual: 120, 140 kDa. |
| Stability & Storage | Store at 2°C-8°C for 1 month. Store at -20°C or -80°C for 12 months. Avoid repeated freeze-thaw cycles. |
| Transport | Shipping with blue ice. |
| Size | Quantity | Unit Price | Amount | Operation |
|---|

Copyright © 2015-2026 TargetMol Chemicals Inc. All Rights Reserved.