Shopping Cart
Remove All
Your shopping cart is currently empty
Anti-FGF-21 Antibody (3Q948) is a Rabbit antibody targeting FGF-21. Anti-FGF-21 Antibody (3Q948) can be used in IHC,WB.
| Pack Size | Price | USA Warehouse | Global Warehouse | Quantity |
|---|---|---|---|---|
| 50 μL | $297 | 7-10 days | 7-10 days | |
| 100 μL | $498 | 7-10 days | 7-10 days |
| Description | Anti-FGF-21 Antibody (3Q948) is a Rabbit antibody targeting FGF-21. Anti-FGF-21 Antibody (3Q948) can be used in IHC,WB. |
| Ig Type | IgG |
| Clone | 3Q948 |
| Reactivity | Human,Mouse,Rat |
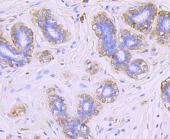
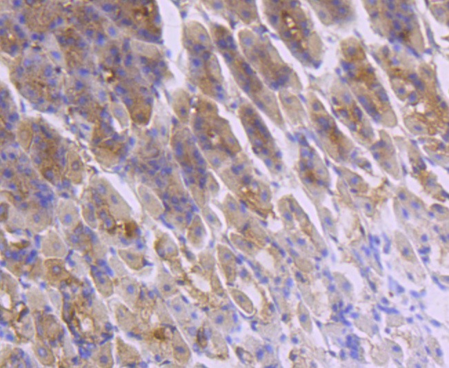
| Verified Activity | 1. Western blot analysis of FGF21 on rat liver cells lysates using anti-FGF21 antibody at 1/1,000 dilution. 2. Immunohistochemical analysis of paraffin-embedded human liver cancer tissue using anti-FGF21 antibody. Counter stained with hematoxylin. 3. Immunohistochemical analysis of paraffin-embedded human brest tissue using anti-FGF21 antibody. Counter stained with hematoxylin. 4. Immunohistochemical analysis of paraffin-embedded mouse stomach tissue using anti-FGF21 antibody. Counter stained with hematoxylin. ![]() ![]() ![]() ![]() |
| Application | |
| Recommended Dose | WB: 1:1000-5000; IHC: 1:50-200 |
| Antibody Type | Monoclonal |
| Host Species | Rabbit |
| Construction | Recombinant Antibody |
| Purification | ProA affinity purified |
| Appearance | Liquid |
| Formulation | 1*TBS (pH7.4), 1%BSA, 40%Glycerol. Preservative: 0.05% Sodium Azide. |
| Research Background | Fibroblast growth factor-1 (FGF-1), also designated acidic FGF, and fibroblast growth factor-2 (FGF-2), also designated basic FGF, are members of a family of growth factors that stimulate proliferation of cells of mesenchymal, epithe-lial and neuroectodermal origin. Additional members of the FGF family include the oncogenes FGF-3 (Int2) and FGF-4 (hst/Kaposi), FGF-5, FGF-6, FGF-7 (KGF), FGF-8 (AIGF), FGF-9 (GAF) and FGF-10-FGF-23. Members of the FGF family share 30-55% amino acid sequence identity and similar gene structure and are capable of transforming cultured cells when overexpressed in transfected cells. Cellular receptors for FGFs are members of a second multigene family including four tyrosine kinases, designated Flg (FGFR-1), Bek (FGFR-L), TKF and FGFR-3. |
| Conjucates | Unconjugated |
| Immunogen | Recombinant Protein |
| Uniprot ID |
| Molecular Weight | Theoretical: 22 kDa. |
| Stability & Storage | Store at -20°C or -80°C for 12 months. Avoid repeated freeze-thaw cycles. |
| Transport | Shipping with blue ice. |
| Size | Quantity | Unit Price | Amount | Operation |
|---|

Copyright © 2015-2026 TargetMol Chemicals Inc. All Rights Reserved.