Shopping Cart
Remove All
Your shopping cart is currently empty
Anti-FCMGR2A Antibody (8G444) is a Rabbit antibody targeting FCMGR2A. Anti-FCMGR2A Antibody (8G444) can be used in IHC,WB.
| Pack Size | Price | USA Warehouse | Global Warehouse | Quantity |
|---|---|---|---|---|
| 50 μL | $296 | 7-10 days | 7-10 days | |
| 100 μL | $496 | 7-10 days | 7-10 days |
| Description | Anti-FCMGR2A Antibody (8G444) is a Rabbit antibody targeting FCMGR2A. Anti-FCMGR2A Antibody (8G444) can be used in IHC,WB. |
| Synonyms | fcRII-a, FCRIIA, FcgRIIA, FCGR2A1, FCGR2A, FCGR2, FCG2, Fc γ RIIA, Fc gamma RIIA, CD32A |
| Ig Type | IgG |
| Clone | 8G444 |
| Reactivity | Human |
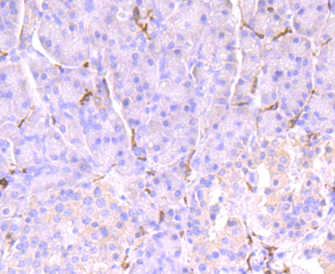
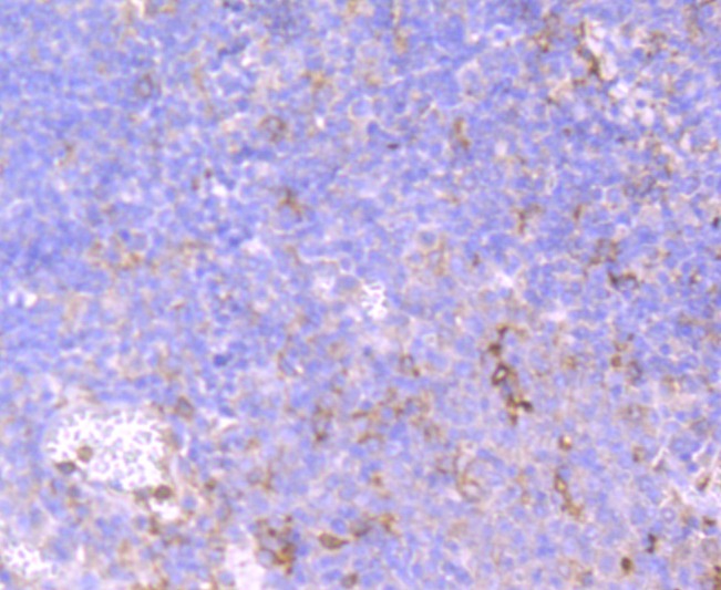
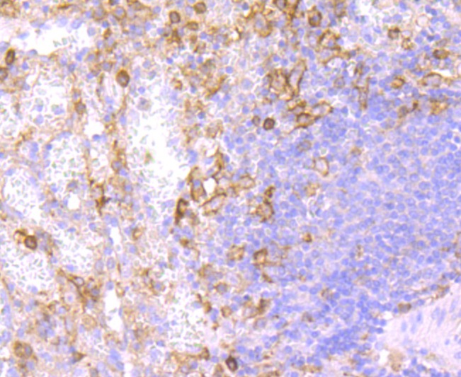
| Verified Activity | 1. Western blot analysis of CD32 on human lung cells lysates using anti-CD32 antibody at 1/500 dilution. 2. Immunohistochemical analysis of paraffin-embedded human tonsil tissue using anti-CD32 antibody. Counter stained with hematoxylin. 3. Immunohistochemical analysis of paraffin-embedded human spleen tissue using anti-CD32 antibody. Counter stained with hematoxylin. 4. Immunohistochemical analysis of paraffin-embedded human pancreas tissue using anti-CD32 antibody. Counter stained with hematoxylin. ![]() ![]() ![]() ![]() |
| Application | |
| Recommended Dose | WB: 1:1000-5000; IHC: 1:50-200 |
| Antibody Type | Monoclonal |
| Host Species | Rabbit |
| Construction | Recombinant Antibody |
| Purification | ProA affinity purified |
| Appearance | Liquid |
| Formulation | 1*TBS (pH7.4), 1%BSA, 40%Glycerol. Preservative: 0.05% Sodium Azide. |
| Research Background | CD32 (also designated Fc gamma RII) is a low affinity receptor for the Fc fragment of aggregated IgG (1,2). CD32 is responsible for the clearance of immunocomplexes by macrophages and also plays an important role in the regulation of antibody production by B cells (1-4). IgG can noncooperatively bind either one or two highly glycosylated CD32 molecules, and this binding delivers a negative signal for B cells (1,2,5). CD32 exists as several isoforms that are produced by alternative splicing of three distinct genes, A, B, and C (2,6). These isoforms are designated FcgRIIA, FcgRIIB1, FcgRIIB3, and FcgRIIC (1,2,6). All isoforms are present on monocytes, placental trophoblasts and endothelial cells (1,6). In addition, the FcgRIIB forms are present on B lymphocytes, and the FcgRIIA and FcgRIIC forms are found on neutrophils (1,6). |
| Conjucates | Unconjugated |
| Immunogen | Recombinant Protein |
| Uniprot ID |
| Molecular Weight | Theoretical: 45 kDa. |
| Stability & Storage | Store at -20°C or -80°C for 12 months. Avoid repeated freeze-thaw cycles. |
| Transport | Shipping with blue ice. |
| Size | Quantity | Unit Price | Amount | Operation |
|---|

Copyright © 2015-2026 TargetMol Chemicals Inc. All Rights Reserved.