Shopping Cart
Remove All
Your shopping cart is currently empty
Anti-FAAH Antibody (9Q327) is a Rabbit antibody targeting FAAH. Anti-FAAH Antibody (9Q327) can be used in IHC,WB.
| Pack Size | Price | USA Warehouse | Global Warehouse | Quantity |
|---|---|---|---|---|
| 50 μL | $297 | 7-10 days | 7-10 days | |
| 100 μL | $497 | 7-10 days | 7-10 days |
| Description | Anti-FAAH Antibody (9Q327) is a Rabbit antibody targeting FAAH. Anti-FAAH Antibody (9Q327) can be used in IHC,WB. |
| Synonyms | Oleamide hydrolase 1, Fatty-acid amide hydrolase 1, Fatty acid ester hydrolase, FAAH1, FAAH 1, Anandamide amidohydrolase 1 |
| Ig Type | IgG |
| Clone | 9Q327 |
| Reactivity | Human,Mouse |
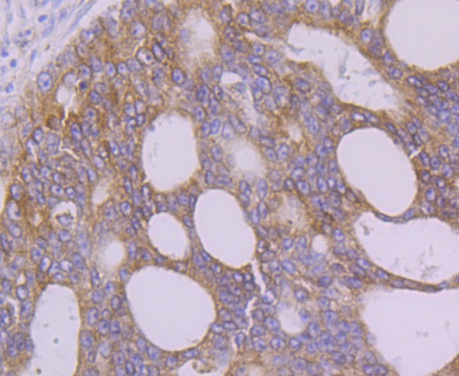
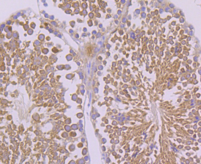
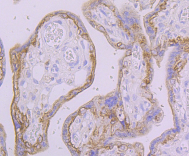
| Verified Activity | 1. Western blot analysis of FAAH1 on different lysates using anti-FAAH1 antibody at 1/2,000 dilution. Positive control: Lane 1: SK-Br-3, Lane 2: Mouse cerebellum, Lane 3: Mouse lung. 2. Immunohistochemical analysis of paraffin-embedded human prostate cancer tissue using anti-FAAH1 antibody. Counter stained with hematoxylin. 3. Immunohistochemical analysis of paraffin-embedded human placenta tissue using anti-FAAH1 antibody. Counter stained with hematoxylin. 4. Immunohistochemical analysis of paraffin-embedded mouse testis tissue using anti-FAAH1 antibody. Counter stained with hematoxylin. ![]() ![]() ![]() ![]() |
| Application | |
| Recommended Dose | WB: 1:500-2000; IHC: 1:50-200 |
| Antibody Type | Monoclonal |
| Host Species | Rabbit |
| Construction | Recombinant Antibody |
| Purification | ProA affinity purified |
| Appearance | Liquid |
| Formulation | 1*TBS (pH7.4), 1%BSA, 40%Glycerol. Preservative: 0.05% Sodium Azide. |
| Research Background | Degrades bioactive fatty acid amides like oleamide, the endogenous cannabinoid, anandamide and myristic amide to their corresponding acids, thereby serving to terminate the signaling functions of these molecules. Hydrolyzes polyunsaturated substrate anandamide preferentially as compared to monounsaturated substrates. |
| Conjucates | Unconjugated |
| Immunogen | Recombinant Protein: human FAAH1 aa 100-300 |
| Antigen Species | human |
| Uniprot ID |
| Molecular Weight | Theoretical: 63 kDa. |
| Stability & Storage | Store at -20°C or -80°C for 12 months. Avoid repeated freeze-thaw cycles. |
| Transport | Shipping with blue ice. |
| Size | Quantity | Unit Price | Amount | Operation |
|---|

Copyright © 2015-2026 TargetMol Chemicals Inc. All Rights Reserved.