Shopping Cart
Remove All
Your shopping cart is currently empty
Anti-FA83D Polyclonal Antibody is a Rabbit antibody targeting FA83D. Anti-FA83D Polyclonal Antibody can be used in IF,IHC-Fr,IHC-P.
| Pack Size | Price | USA Warehouse | Global Warehouse | Quantity |
|---|---|---|---|---|
| 50 μL | $222 | 7-10 days | 7-10 days | |
| 100 μL | $372 | 7-10 days | 7-10 days | |
| 200 μL | $527 | 7-10 days | 7-10 days |
| Description | Anti-FA83D Polyclonal Antibody is a Rabbit antibody targeting FA83D. Anti-FA83D Polyclonal Antibody can be used in IF,IHC-Fr,IHC-P. |
| Synonyms | Spindle protein CHICA, RP23-119H5.1, RGD1565583, Protein FAM83D, MGC92947, FLJ38341, Family with sequence similarity 83, member D, FAM83D, FA83D, dJ616B8.3, CHICA, C20orf129, BB104611, 2310007D09Rik |
| Ig Type | IgG |
| Reactivity | Rat (predicted:Human,Mouse,Dog,Pig,Horse,Rabbit) |
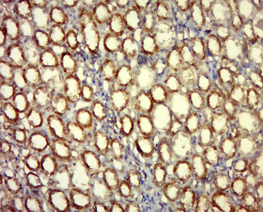
| Verified Activity | Paraformaldehyde-fixed, paraffin embedded (rat kidney); Antigen retrieval by boiling in sodium citrate buffer (pH6.0) for 15 min; Block endogenous peroxidase by 3% hydrogen peroxide for 20 min; Blocking buffer (normal goat serum) at 37°C for 30 min; Antibody incubation with (FA83D) Polyclonal Antibody, Unconjugated (TMAB-00647) at 1:400 overnight at 4°C, followed by a conjugated secondary for 20 min and DAB staining. ![]() |
| Application | |
| Recommended Dose | IHC-P: 1:100-500; IHC-Fr: 1:100-500; IF: 1:100-500 |
| Antibody Type | Polyclonal |
| Host Species | Rabbit |
| Subcellular Localization | Cytoplasm. Cytoplasm > cytoskeleton > spindle. Cytoplasm > cytoskeleton > spindle pole. Primarily cytoplasmic during interphase, but beginning in prophase, associates with spindle microtubules, with a clear concentration toward the spindle poles. It persists on spindle microtubules through metaphase and anaphase. |
| Construction | Polyclonal Antibody |
| Purification | Protein A purified |
| Appearance | Liquid |
| Formulation | 0.01M TBS (pH7.4) with 1% BSA, 0.02% Proclin300 and 50% Glycerol. |
| Concentration | 1 mg/mL |
| Research Background | Representing about 2% of human DNA, chromosome 20 consists of approximately 63 million bases and 600 genes. Chromosome 20 contains a region with numerous genes expressed in the epididymis which are thought important for seminal production and some viewed as potential targets for male contraception. The PRNP gene encoding the prion protein associated with spongiform encephalopathies, like Creutzfeldt-Jakob disease, is found on chromosome 20. Amyotrophic lateral sclerosis, spinal muscular atrophy, ring chromosome 20 epilepsy syndrome and Alagille syndrome are also associated with chromosome 20. The FAM83D gene product has been provisionally designated FAM83D pending further characterization. |
| Immunogen | KLH conjugated synthetic peptide: human FA83D |
| Antigen Species | Human |
| Gene Name | FAM83D |
| Gene ID | |
| Protein Name | Protein FAM83D |
| Uniprot ID | |
| Biology Area | Cell division,Chromosome,Scaffold Proteins |
| Function | Required for proper chromosome congression and alignment during mitosis. Required for targeting KIF22/KID to the spindle microtubules. |
| Molecular Weight | Theoretical: 64 kDa. |
| Stability & Storage | Store at -20°C or -80°C for 12 months. Avoid repeated freeze-thaw cycles. |
| Transport | Shipping with blue ice. |
| Size | Quantity | Unit Price | Amount | Operation |
|---|

Copyright © 2015-2026 TargetMol Chemicals Inc. All Rights Reserved.