Shopping Cart
Remove All
Your shopping cart is currently empty
Anti-Ezrin Antibody (7A973) is a Rabbit antibody targeting Ezrin. Anti-Ezrin Antibody (7A973) can be used in IHC,WB.
| Pack Size | Price | USA Warehouse | Global Warehouse | Quantity |
|---|---|---|---|---|
| 50 μL | $297 | 7-10 days | 7-10 days | |
| 100 μL | $496 | 7-10 days | 7-10 days |
| Description | Anti-Ezrin Antibody (7A973) is a Rabbit antibody targeting Ezrin. Anti-Ezrin Antibody (7A973) can be used in IHC,WB. |
| Synonyms | Villin-2, VIL2, p81, Ezrin, EZR, Cytovillin |
| Ig Type | IgG |
| Clone | 7A973 |
| Reactivity | Human |
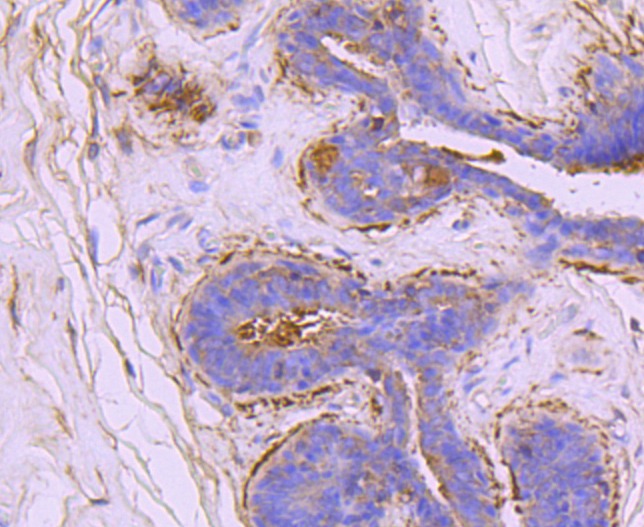
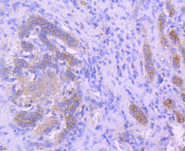
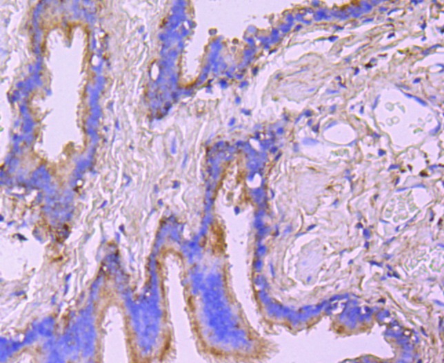
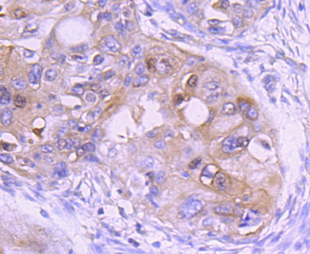
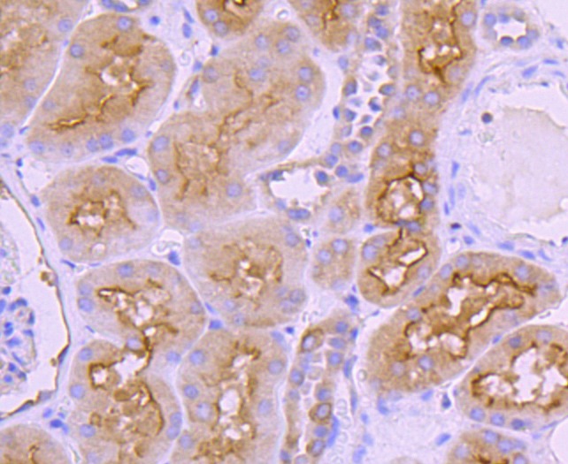
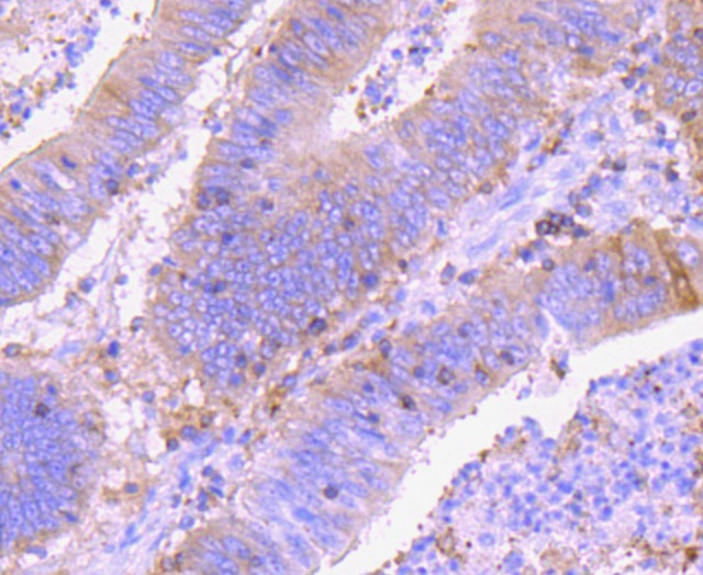
| Verified Activity | 1. Western blot analysis of Ezrin on different cell lysates using anti-Ezrin antibody at 1/1,000 dilution. Positive control: Lane 1:Hela, Lane 2: Jurkat, Lane 3:A431. 2. Immunohistochemical analysis of paraffin-embedded human lung tissue using anti-Ezrin antibody. Counter stained with hematoxylin. 3. Immunohistochemical analysis of paraffin-embedded human lung cancer tissue using anti-Ezrin antibody. Counter stained with hematoxylin. 4. Immunohistochemical analysis of paraffin-embedded human liver cancer tissue using anti-Ezrin antibody. Counter stained with hematoxylin. 5. Immunohistochemical analysis of paraffin-embedded human colon cancer tissue using anti-Ezrin antibody. Counter stained with hematoxylin. 6. Immunohistochemical analysis of paraffin-embedded human breast carcinoma tissue using anti-Ezrin antibody. Counter stained with hematoxylin. 7. Immunohistochemical analysis of paraffin-embedded human kidney tissue using anti-Ezrin antibody. Counter stained with hematoxylin. ![]() ![]() ![]() ![]() ![]() ![]() ![]() |
| Application | |
| Recommended Dose | WB: 1:500-1000; IHC: 1:50-200 |
| Antibody Type | Monoclonal |
| Host Species | Rabbit |
| Construction | Recombinant Antibody |
| Purification | ProA affinity purified |
| Appearance | Liquid |
| Formulation | 1*TBS (pH7.4), 1%BSA, 40%Glycerol. Preservative: 0.05% Sodium Azide. |
| Conjucates | Unconjugated |
| Immunogen | Recombinant Protein |
| Uniprot ID |
| Molecular Weight | Theoretical: 80 kDa. |
| Stability & Storage | Store at -20°C or -80°C for 12 months. Avoid repeated freeze-thaw cycles. |
| Transport | Shipping with blue ice. |
| Size | Quantity | Unit Price | Amount | Operation |
|---|

Copyright © 2015-2026 TargetMol Chemicals Inc. All Rights Reserved.