Shopping Cart
Remove All
Your shopping cart is currently empty
Anti-Exportin-5 Antibody (6J749) is a Rabbit antibody targeting Exportin-5. Anti-Exportin-5 Antibody (6J749) can be used in FCM,ICC/IF,IHC,WB.
| Pack Size | Price | USA Warehouse | Global Warehouse | Quantity |
|---|---|---|---|---|
| 50 μL | $297 | 7-10 days | 7-10 days | |
| 100 μL | $497 | 7-10 days | 7-10 days |
| Description | Anti-Exportin-5 Antibody (6J749) is a Rabbit antibody targeting Exportin-5. Anti-Exportin-5 Antibody (6J749) can be used in FCM,ICC/IF,IHC,WB. |
| Synonyms | XPO5_HUMAN, xpo5, Xpo 5, Ranbp21, Ranbp 21, Ran-binding protein 21, Ran binding protein 21, OTTHUMP00000016472, KIAA1291, FLJ45606, FLJ32057, FLJ14239, Exportin-5, Exportin5, Exportin 5, Exp5, Exp 5 |
| Ig Type | IgG |
| Clone | 6J749 |
| Reactivity | Human,Mouse,Rat |
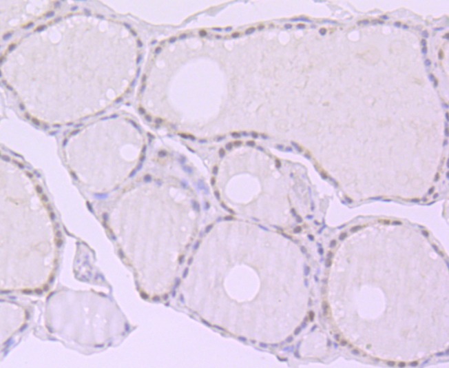
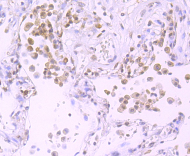
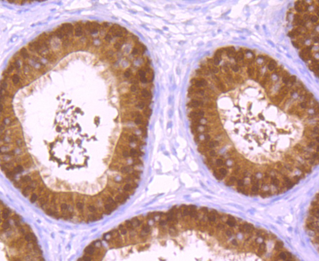
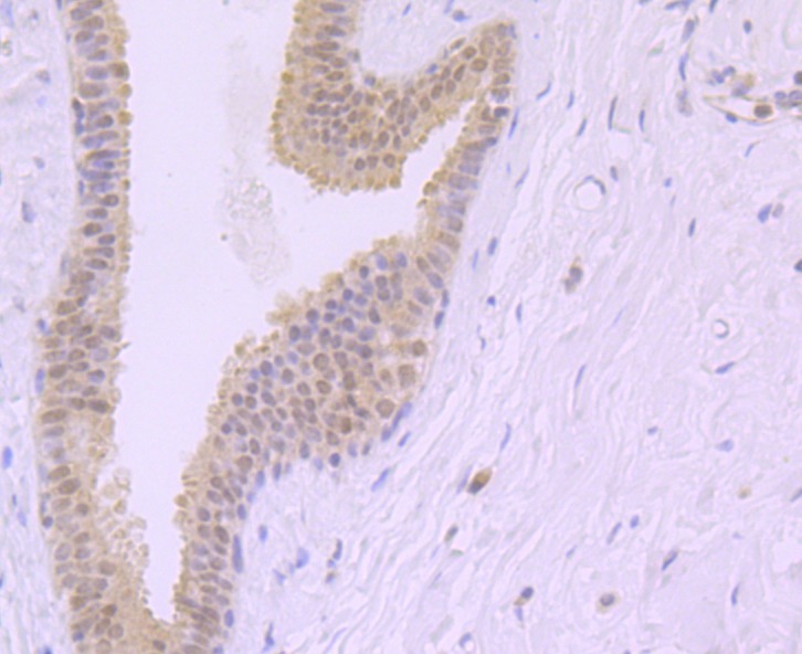
| Verified Activity | 1. Western blot analysis of Exportin-5 on 293 cell using anti-Exportin-5 antibody at 1/2,000 dilution. 2. Immunohistochemical analysis of paraffin-embedded rat epididymis tissue using anti-Exportin-5 antibody. Counter stained with hematoxylin. 3. Immunohistochemical analysis of paraffin-embedded human lung cancer tissue using anti-Exportin-5 antibody. Counter stained with hematoxylin. 4. Immunohistochemical analysis of paraffin-embedded human thyroid gland tissue using anti-Exportin-5 antibody. Counter stained with hematoxylin. 5. Immunohistochemical analysis of paraffin-embedded human breast tissue using anti-Exportin-5 antibody. Counter stained with hematoxylin. 6. Immunohistochemical analysis of paraffin-embedded mouse testis tissue using anti-Exportin-5 antibody. Counter stained with hematoxylin. 7. Flow cytometric analysis of K562 cells with Exportin-5 antibody at 1/100 dilution (purple) compared with an unlabelled control (cells without incubation with primary antibody; yellow). Alexa Fluor 488-conjugated goat anti-rabbit IgG was used as the secondary antibody. ![]() ![]() ![]() ![]() ![]() ![]() ![]() |
| Application | |
| Recommended Dose | WB: 1:500-2000; IHC: 1:100-400; ICC/IF: 1:100; FCM: 1:50-100 |
| Antibody Type | Monoclonal |
| Host Species | Rabbit |
| Construction | Recombinant Antibody |
| Purification | ProA affinity purified |
| Appearance | Liquid |
| Formulation | 1*TBS (pH7.4), 1%BSA, 40%Glycerol. Preservative: 0.05% Sodium Azide. |
| Research Background | The karyopherin-related nuclear transport factor Exportin 5, also known as Exp5, preferentially recognizes and transports RNAs containing minihelix motifs, structural cis-acting export elements that comprise a double-stranded stem (14 nucleotides) with a base-paired 5' end and a 3-8-nucleotide protruding 3' end. Exportin 5 also mediates protein transport between the nuclear and cytoplasmic compartment. Exportin 5 belongs to a large family of karyopherins and stimulates nuclear export of dsRNA binding proteins eEF1A and tRNA. |
| Conjucates | Unconjugated |
| Immunogen | Recombinant Protein: human Exportin-5 aa 1-200 |
| Antigen Species | human |
| Uniprot ID |
| Molecular Weight | Theoretical: 136 kDa. |
| Stability & Storage | Store at -20°C or -80°C for 12 months. Avoid repeated freeze-thaw cycles. |
| Transport | Shipping with blue ice. |
| Size | Quantity | Unit Price | Amount | Operation |
|---|

Copyright © 2015-2026 TargetMol Chemicals Inc. All Rights Reserved.