Shopping Cart
Remove All
Your shopping cart is currently empty
Anti-ER beta Polyclonal Antibody is a Rabbit antibody targeting ER beta. Anti-ER beta Polyclonal Antibody can be used in ELISA,ICC/IF,IF,IHC-Fr,IHC-P,WB.
| Pack Size | Price | USA Stock | Global Stock | Quantity |
|---|---|---|---|---|
| 50 μL | $221 | 7-10 days | 7-10 days | |
| 100 μL | $374 | 7-10 days | 7-10 days | |
| 200 μL | $529 | 7-10 days | 7-10 days |
| Description | Anti-ER beta Polyclonal Antibody is a Rabbit antibody targeting ER beta. Anti-ER beta Polyclonal Antibody can be used in ELISA,ICC/IF,IF,IHC-Fr,IHC-P,WB. |
| Synonyms | Nuclear receptor subfamily 3 group A member 2, NR3A2, Estrogen receptor beta, ESTRB, ESR2, ER-beta |
| Ig Type | IgG |
| Reactivity | Human,Mouse,Rat |
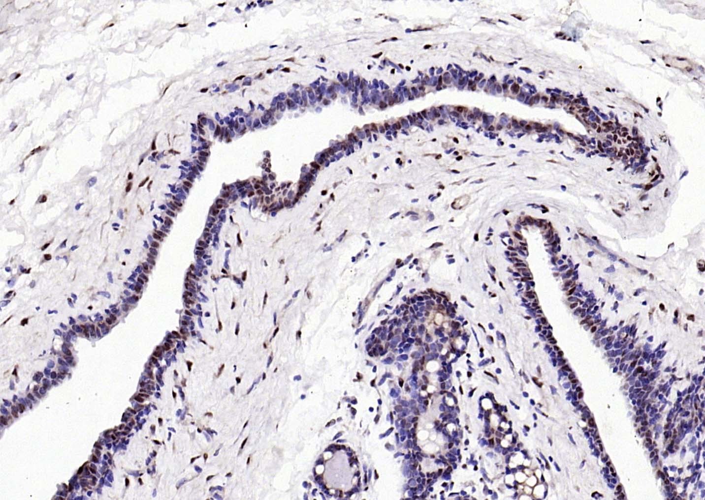
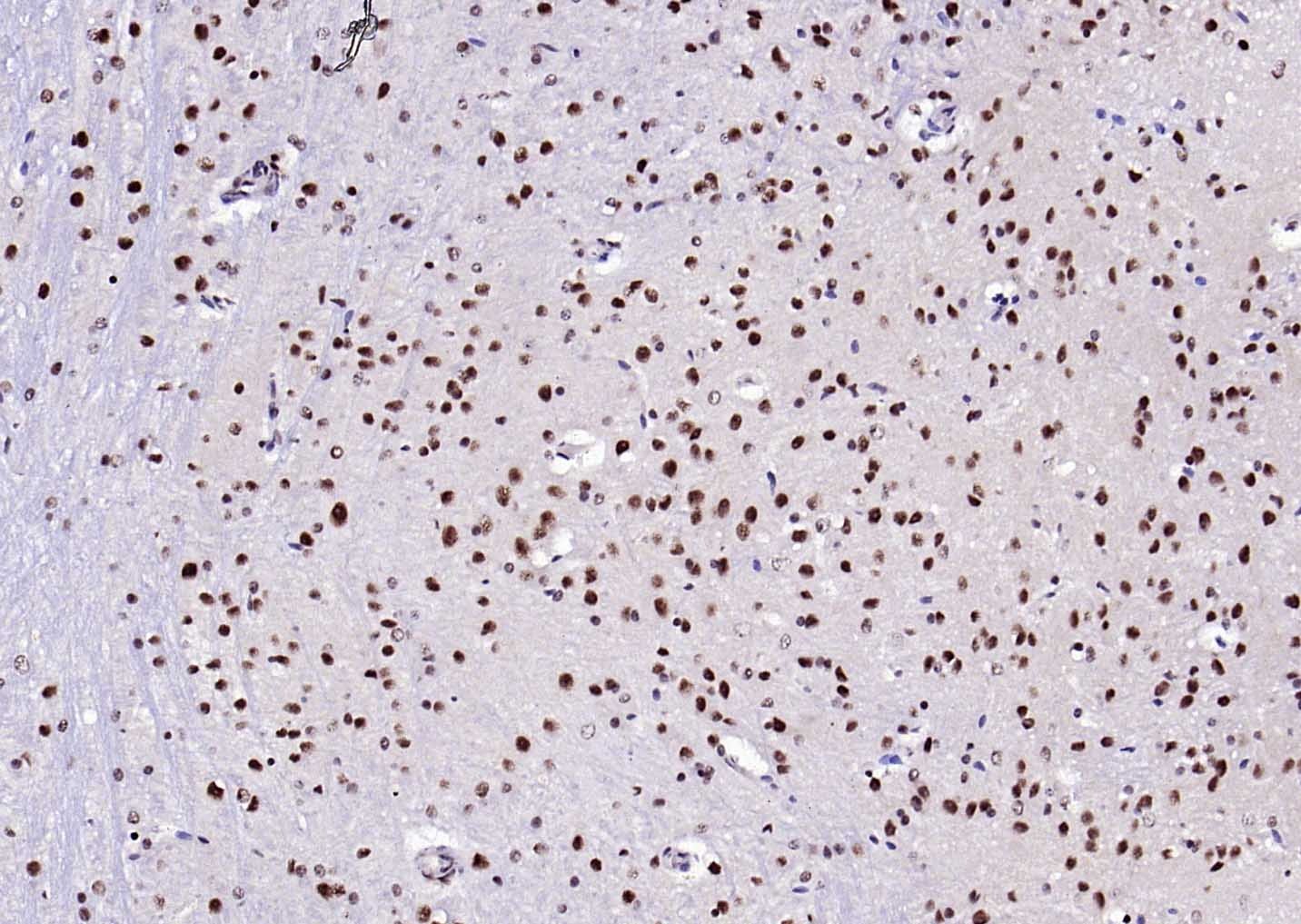
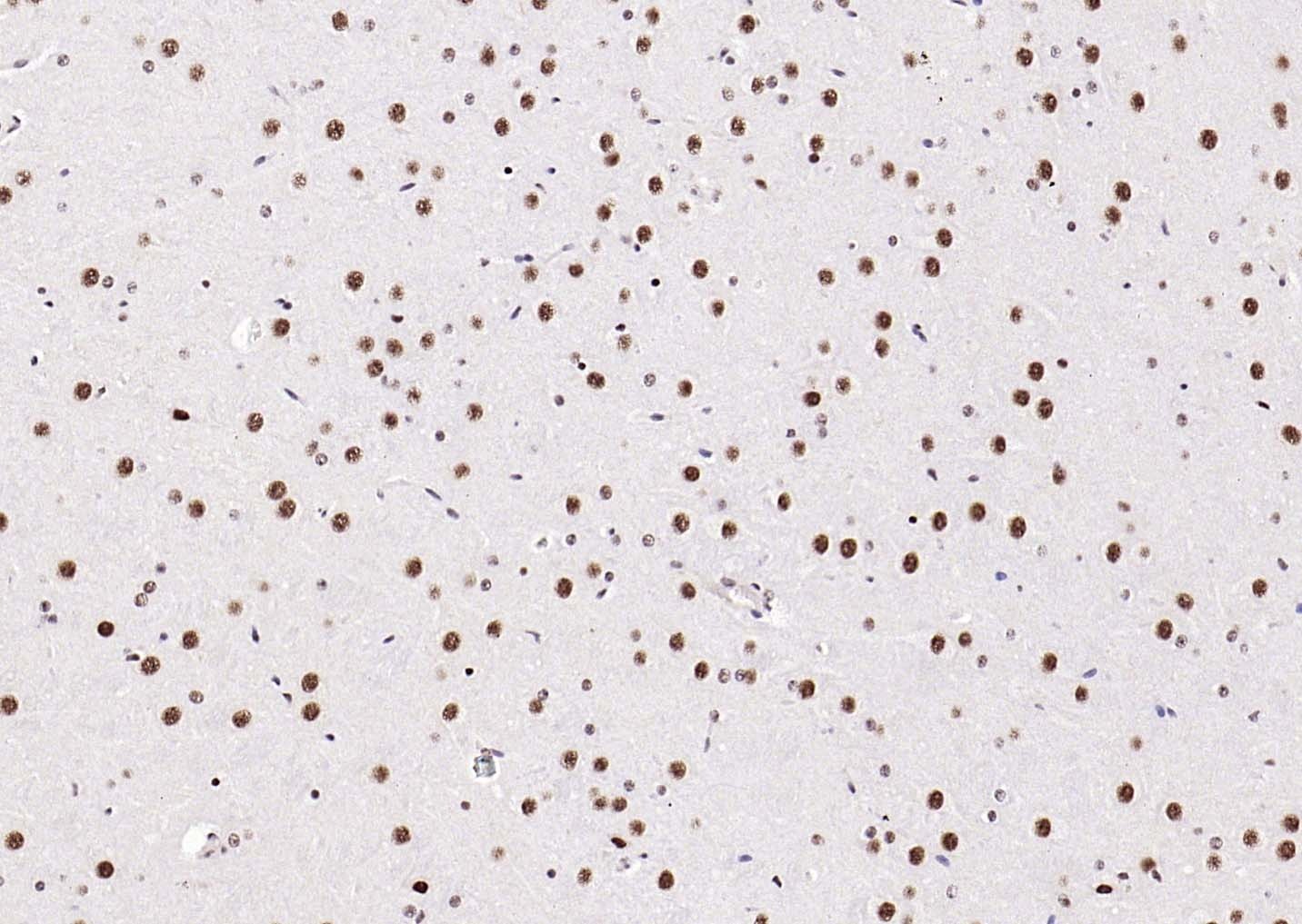
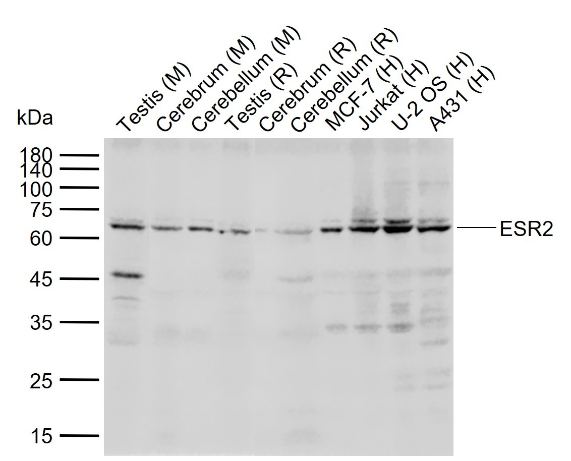
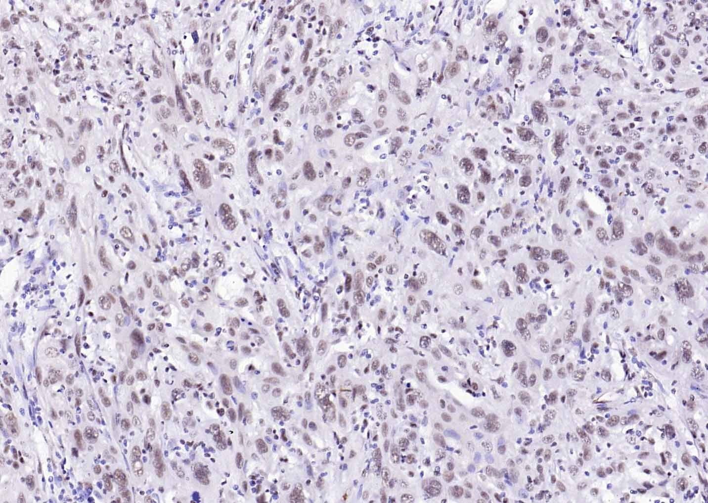
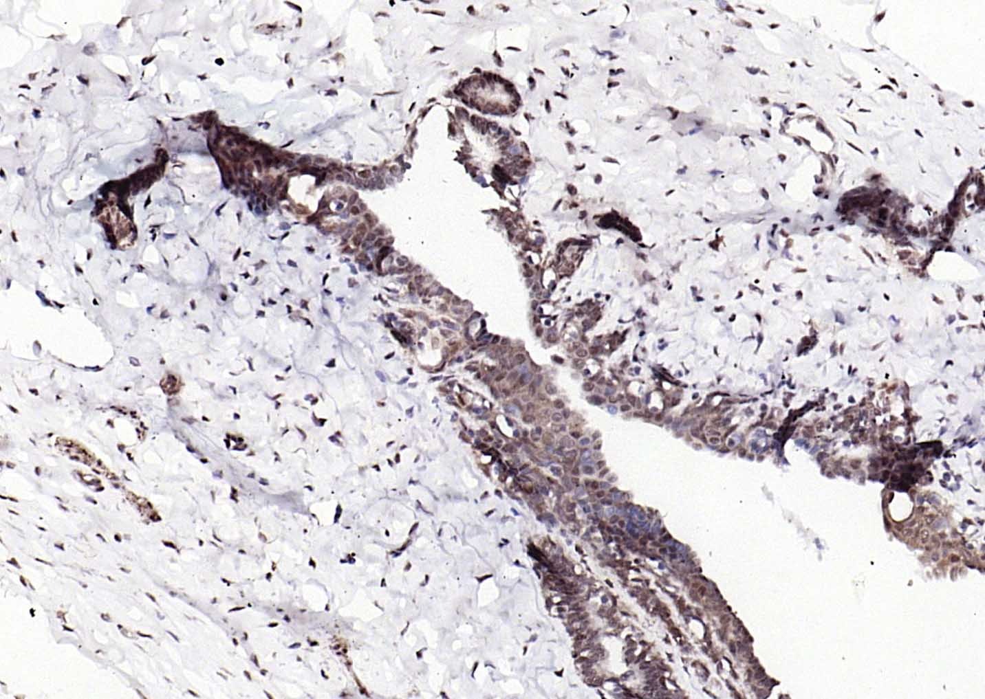
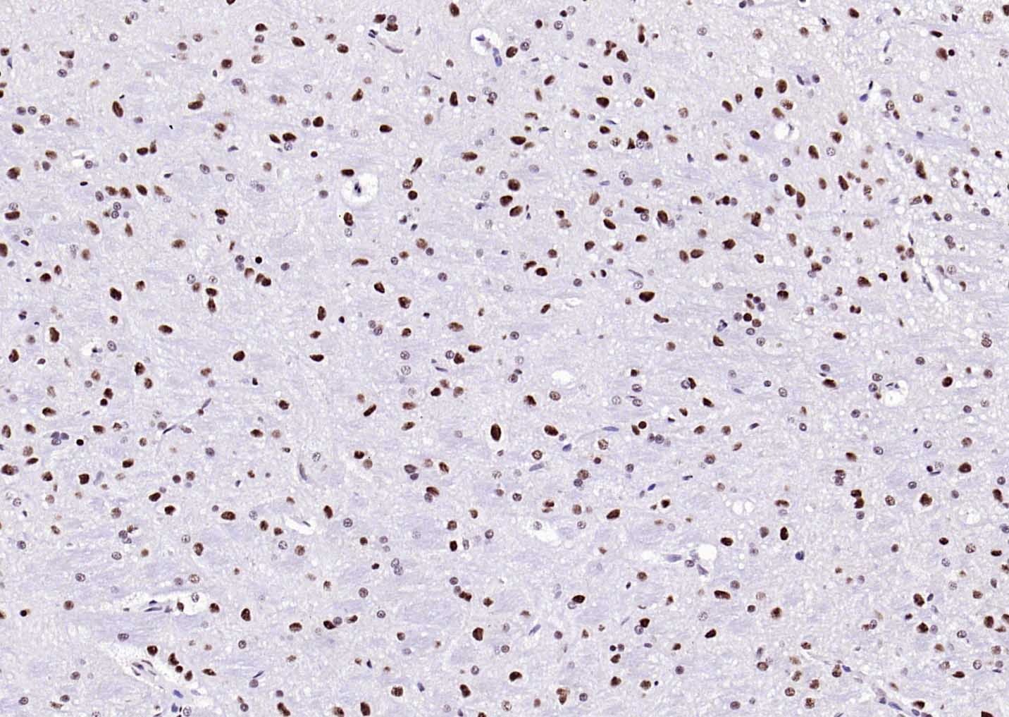
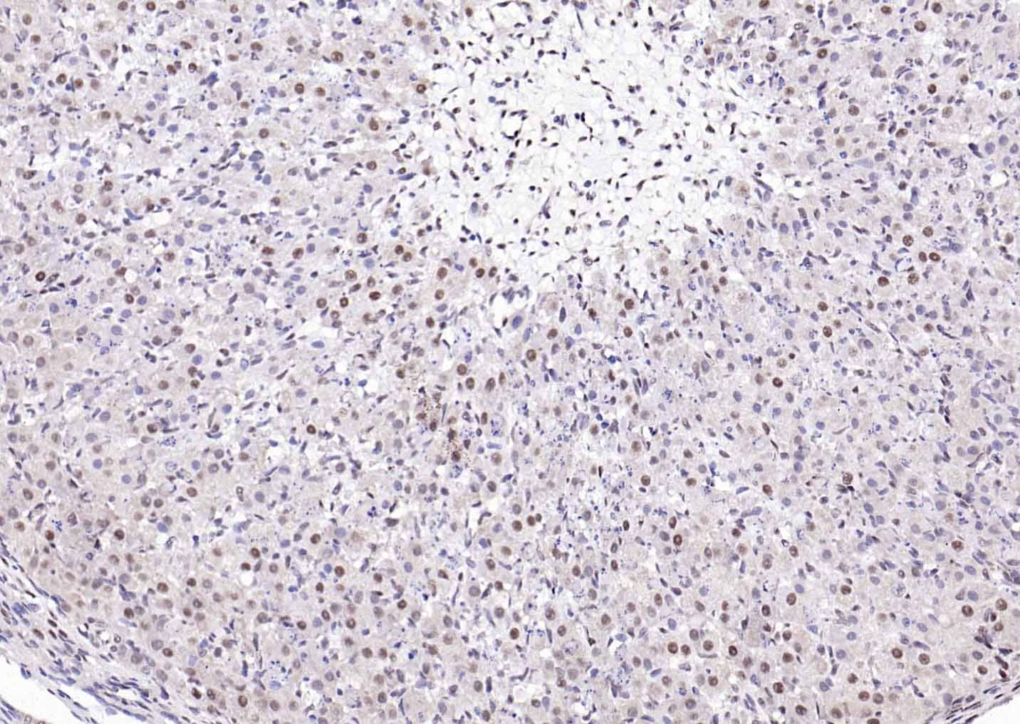
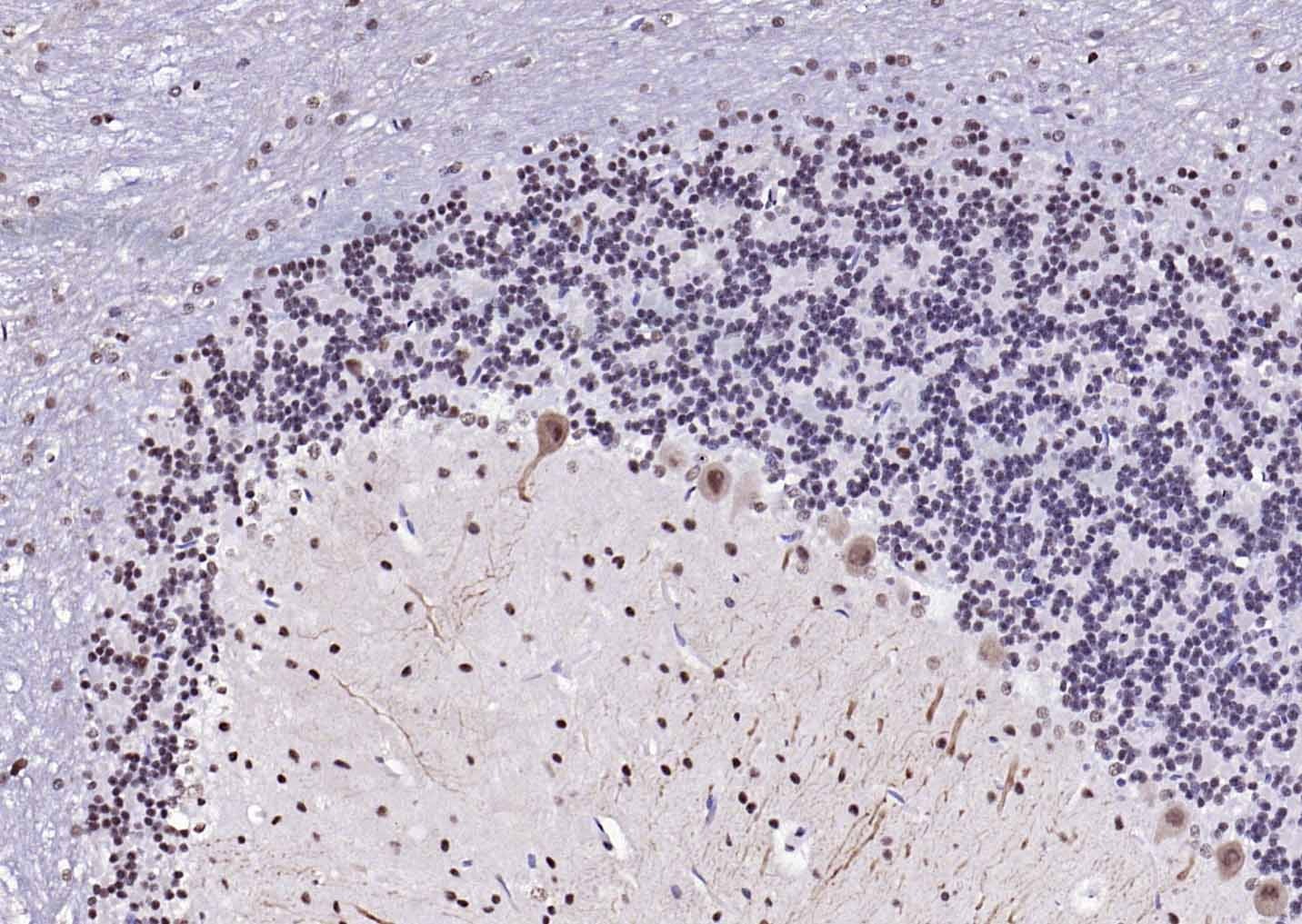
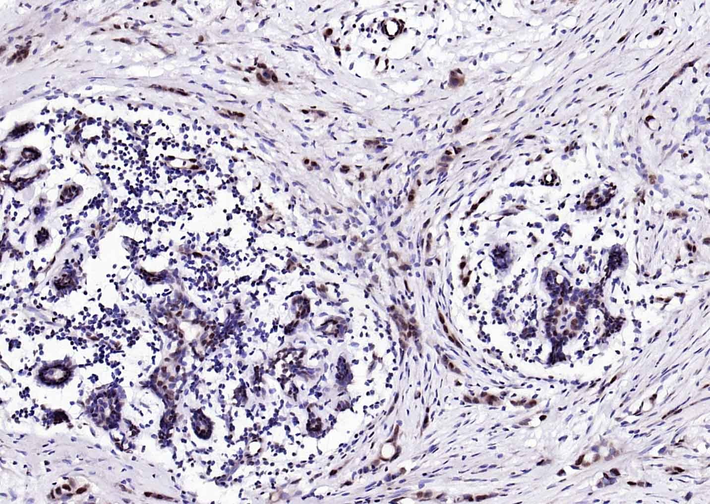
| Verified Activity | 1. Sample: Kidney (Mouse) lysate at 30 μg; Brain (Rat) lysate at 30 μg; Primary: Anti-ER-beta (TMAB-00632) at 1:200; Secondary: HRP conjugated Goat Anti-Rabbit Igg (secondary antibody) at 1: 3000; Predicted band size: 58 kDa Observed band size: 58 kDa 2. Sample: Lane 1: Testis (Mouse) Lysate at 40 μg Lane 2: Testis (Rat) Lysate at 40 μg Lane 3: Ovary (Mouse) Lysate at 40 μg Lane 4: Uterus (Mouse) Lysate at 40 μg Lane 5: Uterus (Rat) Lysate at 40 μg Primary: Anti-Estrogen receptor beta (TMAB-00632) at 1/1000 dilution Secondary: IRDye800CW Goat Anti-Rabbit IgG at 1/20000 dilution Predicted band size: 58 kDa Observed band size: 58-62 kDa 3. Paraformaldehyde-fixed, paraffin embedded Rat Testicles; Antigen retrieval by boiling in sodium citrate buffer (pH6.0) for 15 min; Antibody incubation with ESR2 Polyclonal Antibody, Unconjugated (TMAB-00632) at 1:200 overnight at 4°C, followed by conjugation to the SP Kit (Rabbit) and DAB staining. 4. Paraformaldehyde-fixed, paraffin embedded Rat Ovary; Antigen retrieval by boiling in sodium citrate buffer (pH6.0) for 15 min; Antibody incubation with ESR2 Polyclonal Antibody, Unconjugated (TMAB-00632) at 1:200 overnight at 4°C, followed by conjugation to the SP Kit (Rabbit) and DAB staining. 5. Paraformaldehyde-fixed, paraffin embedded Rat Cerebrum; Antigen retrieval by boiling in sodium citrate buffer (pH6.0) for 15 min; Antibody incubation with ESR2 Polyclonal Antibody, Unconjugated (TMAB-00632) at 1:200 overnight at 4°C, followed by conjugation to the SP Kit (Rabbit) and DAB staining. 6. Paraformaldehyde-fixed, paraffin embedded Mouse Cerebrum; Antigen retrieval by boiling in sodium citrate buffer (pH6.0) for 15 min; Antibody incubation with ESR2 Polyclonal Antibody, Unconjugated (TMAB-00632) at 1:200 overnight at 4°C, followed by conjugation to the SP Kit (Rabbit) and DAB staining. 7. Paraformaldehyde-fixed, paraffin embedded Rat Breast; Antigen retrieval by boiling in sodium citrate buffer (pH6.0) for 15 min; Antibody incubation with ESR2 Polyclonal Antibody, Unconjugated (TMAB-00632) at 1:200 overnight at 4°C, followed by conjugation to the SP Kit (Rabbit) and DAB staining. 8. Paraformaldehyde-fixed, paraffin embedded Rat Cerebellum; Antigen retrieval by boiling in sodium citrate buffer (pH6.0) for 15 min; Antibody incubation with ESR2 Polyclonal Antibody, Unconjugated (TMAB-00632) at 1:200 overnight at 4°C, followed by conjugation to the SP Kit (Rabbit) and DAB staining. 9. Paraformaldehyde-fixed, paraffin embedded Mouse Cerebellum; Antigen retrieval by boiling in sodium citrate buffer (pH6.0) for 15 min; Antibody incubation with ESR2 Polyclonal Antibody, Unconjugated (TMAB-00632) at 1:200 overnight at 4°C, followed by conjugation to the SP Kit (Rabbit) and DAB staining. 10. Paraformaldehyde-fixed, paraffin embedded Human Breast; Antigen retrieval by boiling in sodium citrate buffer (pH6.0) for 15 min; Antibody incubation with ESR2 Polyclonal Antibody, Unconjugated (TMAB-00632) at 1:200 overnight at 4°C, followed by conjugation to the SP Kit (Rabbit) and DAB staining. 11. Paraformaldehyde-fixed, paraffin embedded Human Cervical Cancer; Antigen retrieval by boiling in sodium citrate buffer (pH6.0) for 15 min; Antibody incubation with ESR2 Polyclonal Antibody, Unconjugated (TMAB-00632) at 1:200 overnight at 4°C, followed by conjugation to the SP Kit (Rabbit) and DAB staining. 12. Paraformaldehyde-fixed, paraffin embedded Human Colon Cancer; Antigen retrieval by boiling in sodium citrate buffer (pH6.0) for 15 min; Antibody incubation with ESR2 Polyclonal Antibody, Unconjugated (TMAB-00632) at 1:200 overnight at 4°C, followed by conjugation to the SP Kit (Rabbit) and DAB staining. 13. Sample: Lane 1: Mouse Testis tissue lysates Lane 2: Mouse Cerebrum tissue lysates Lane 3: Mouse Cerebellum tissue lysates Lane 4: Rat Testis tissue lysates Lane 5: Rat Cerebrum tissue lysates Lane 6: Rat Cerebellum tissue lysates Lane 7: Human MCF-7 cell lysates Lane 8: Human Jurkat cell lysates Lane 9: Human U-2 OS cell lysates Lane 10: Human A431 cell lysates Primary: Anti-ESR2 (TMAB-00632) at 1/1000 dilution Secondary: IRDye800CW Goat Anti-Rabbit IgG at 1/20000 dilution Predicted band size: 58 kDa Observed band size: 63 kDa 14. 4% Paraformaldehyde-fixed MCF-7 (H) cell; Triton X-100 at RT for 20 min; Antibody incubation with (Estrogen Receptor beta) polyclonal Antibody, unconjugated (TMAB-00632) 1:100, 90 min at 37°C; followed by conjugated Goat Anti-Rabbit IgG antibody (green ) at 37°C for 90 min, DAPI (blue) was used to stain the cell nucleus. PBS instead of the primary antibody was used as the blank control. ![]() ![]() ![]() ![]() ![]() ![]() ![]() ![]() ![]() ![]() ![]() ![]() ![]() ![]() |
| Application | |
| Recommended Dose | WB: 1:500-2000; IHC-P: 1:400-800; IHC-Fr: 1:400-800; ICC/IF: 1:50-200; IF: 1:100-500; ELISA: 1:5000-10000 |
| Antibody Type | Polyclonal |
| Host Species | Rabbit |
| Subcellular Localization | Nucleus. |
| Tissue Specificity | Tissue specificityIsoform beta-1 is expressed in testis and ovary, and at a lower level in heart, brain, placenta, liver, skeletal muscle, spleen, thymus, prostate, colon, bone marrow, mammary gland and uterus. Also found in uterine bone, breast, and ovar |
| Construction | Polyclonal Antibody |
| Purification | Protein A purified |
| Appearance | Liquid |
| Formulation | 0.01M TBS (pH7.4) with 1% BSA, 0.02% Proclin300 and 50% Glycerol. |
| Concentration | 1 mg/mL |
| Research Background | This gene encodes a member of the family of estrogenreceptors and superfamily of nuclear receptor transcriptionfactors. The gene product contains an N-terminal DNA binding domainand C-terminal ligand binding domain and is localized to thenucleus, cytoplasm, and mitochondria. Upon binding to17beta-estradiol or related ligands, the encoded protein formshomo- or hetero-dimers that interact with specific DNA sequences toactivate transcription. Some isoforms dominantly inhibit theactivity of other estrogen receptor family members. Severalalternatively spliced transcript variants of this gene have beendescribed, but the full-length nature of some of these variants hasnot been fully characterized. [provided by RefSeq, Jul 2008]. |
| Immunogen | KLH conjugated synthetic peptide: human ER-beta |
| Antigen Species | Human |
| Gene Name | ESR2 |
| Gene ID | |
| Protein Name | Estrogen receptor beta |
| Uniprot ID | |
| Biology Area | Estrogen,Receptors,ChIP kits,Estrogen,Zinc Finger,Gonadotrophic axis,Estrogen |
| Function | Nuclear hormone receptor. The steroid hormones and their receptors are involved in the regulation of eukaryotic gene expression and affect cellular proliferation and differentiation in target tissues. |
| Molecular Weight | Theoretical: 58 kDa. Actual: 63 kDa. |
| Stability & Storage | Store at -20°C or -80°C for 12 months. Avoid repeated freeze-thaw cycles. |
| Transport | Shipping with blue ice. |
| Size | Quantity | Unit Price | Amount | Operation |
|---|

Copyright © 2015-2026 TargetMol Chemicals Inc. All Rights Reserved.