Shopping Cart
Remove All
Your shopping cart is currently empty
Anti-EphB2 Polyclonal Antibody is a Rabbit antibody targeting EphB2. Anti-EphB2 Polyclonal Antibody can be used in IF,IHC-Fr,IHC-P,WB.
| Pack Size | Price | USA Stock | Global Stock | Quantity |
|---|---|---|---|---|
| 50 μL | $222 | 7-10 days | 7-10 days | |
| 100 μL | $372 | 7-10 days | 7-10 days | |
| 200 μL | $528 | 7-10 days | 7-10 days |
| Description | Anti-EphB2 Polyclonal Antibody is a Rabbit antibody targeting EphB2. Anti-EphB2 Polyclonal Antibody can be used in IF,IHC-Fr,IHC-P,WB. |
| Synonyms | Tyro5, PCBC, Hek5, ERK, EPHT3, EPH receptor B2, EK5, DRT, CAPB |
| Ig Type | IgG |
| Reactivity | Rat,Mouse,Human (predicted:Dog,Chicken) |
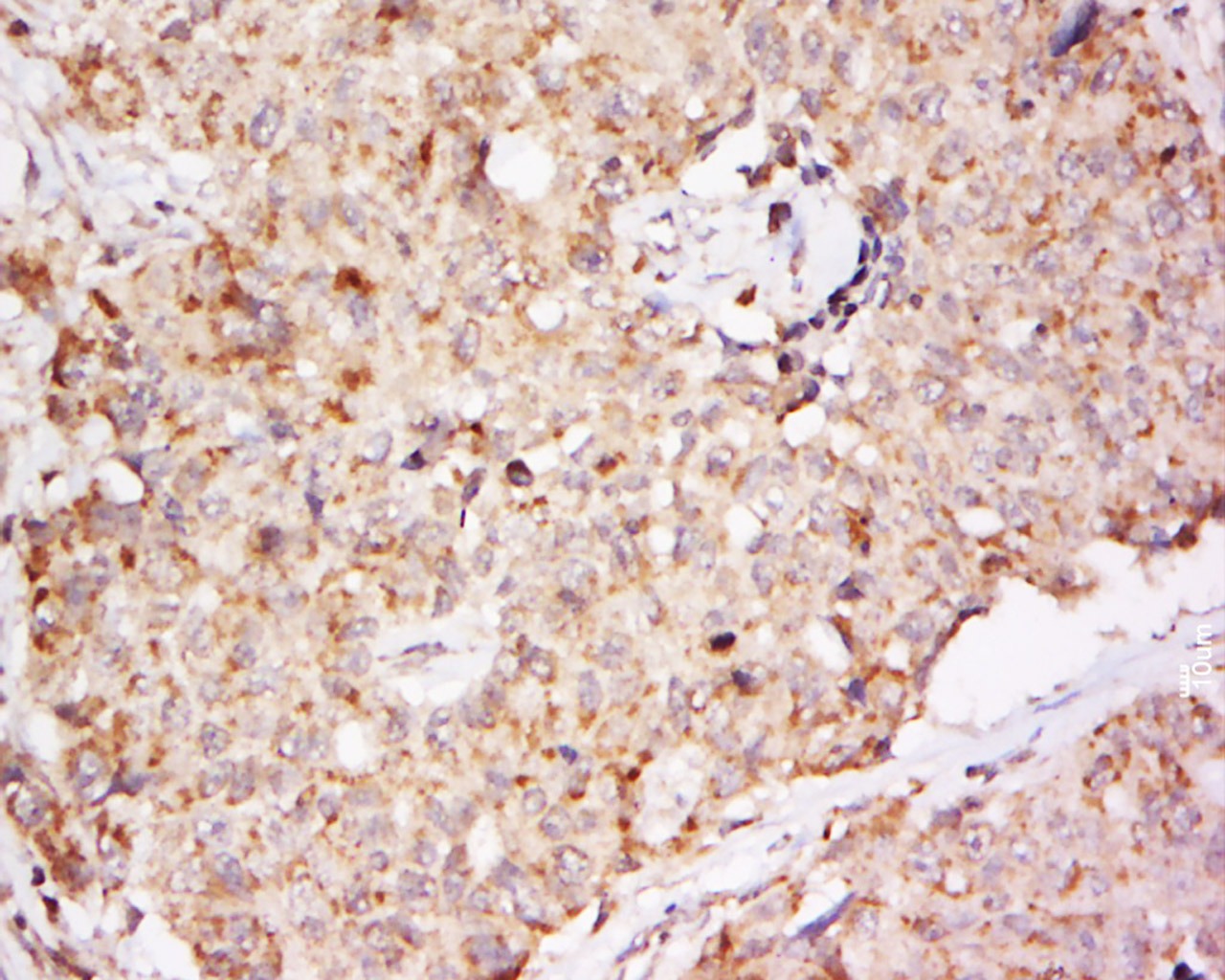
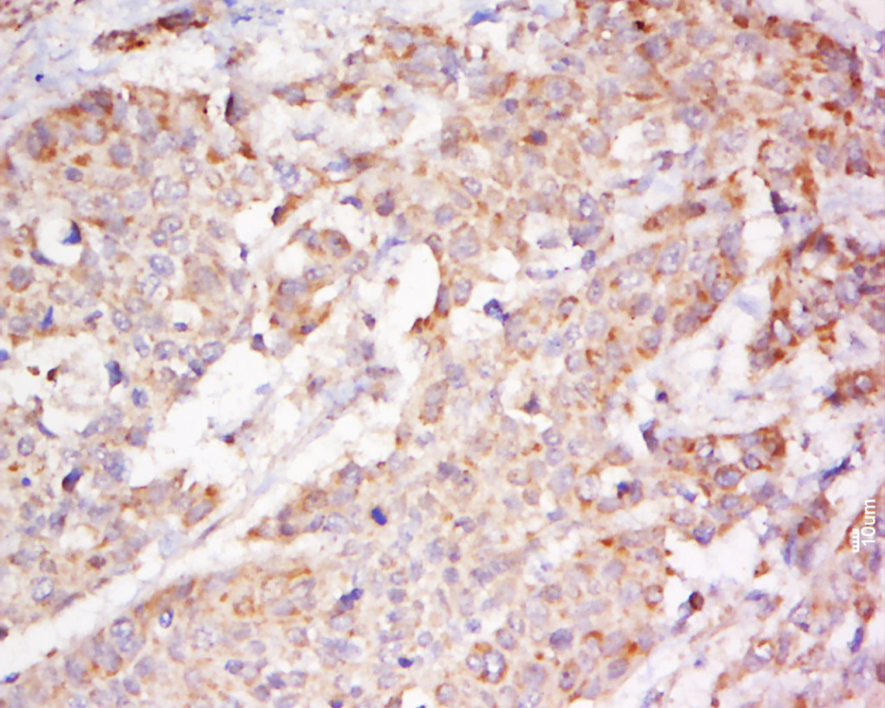
| Verified Activity | 1. Tissue/cell: human lung carcinoma; 4% Paraformaldehyde-fixed and paraffin-embedded; Antigen retrieval: citrate buffer (0.01M, pH6.0), Boiling bathing for 15 min; Block endogenous peroxidase by 3% Hydrogen peroxide for 30 min; Blocking buffer (normal goat serum) at 37°C for 20 min; Incubation: Anti-EphB2 R Polyclonal Antibody, Unconjugated (TMAB-00625) 1:500, overnight at 4°C, followed by conjugation to the secondary antibody and DAb staining. 2. Tissue/cell: human colon carcinoma; 4% Paraformaldehyde-fixed and paraffin-embedded; Antigen retrieval: citrate buffer (0.01M, pH6.0), Boiling bathing for 15 min; Block endogenous peroxidase by 3% Hydrogen peroxide for 30 min; Blocking buffer (normal goat serum) at 37°C for 20 min; Incubation: Anti-EphB2 R Polyclonal Antibody, Unconjugated (TMAB-00625) 1:500, overnight at 4°C, followed by conjugation to the secondary antibody and DAb staining. 3. Sample: Lane 1: Testis (Mouse) Lysate at 40 μg Lane 2: Testis (Rat) Lysate at 40 μg Lane 3: Huvec (Human) Cell Lysate at 30 μg Lane 4: U251 (Human) Cell Lysate at 30 μg Lane 5: A431 (Human) Cell Lysate at 30 μg Lane 6: U2os (Human) Cell Lysate at 30 μg Lane 7: MDA-MB-231 (Human) Cell Lysate at 30 μg Lane 8: K562 (Human) Cell Lysate at 30 μg Primary: Anti-EphB2 (TMAB-00625) at 1/1000 dilution Secondary: IRDye800CW Goat Anti-Rabbit IgG at 1/20000 dilution Predicted band size: 125 kDa Observed band size: 120 kDa ![]() ![]() ![]() |
| Application | |
| Recommended Dose | WB: 1:500-2000; IHC-P: 1:100-500; IHC-Fr: 1:100-500; IF: 1:100-500 |
| Antibody Type | Polyclonal |
| Host Species | Rabbit |
| Subcellular Localization | Cell membrane; Single-pass type I membrane protein. Cell projection, axon. Cell projection, dendrite. |
| Tissue Specificity | Brain, heart, lung, kidney, placenta, pancreas, liver and skeletal muscle. Preferentially expressed in fetal brain. |
| Construction | Polyclonal Antibody |
| Purification | Protein A purified |
| Appearance | Liquid |
| Formulation | 0.01M TBS (pH7.4) with 1% BSA, 0.02% Proclin300 and 50% Glycerol. |
| Concentration | 1 mg/mL |
| Research Background | This gene encodes a member of the Eph receptor family of receptor tyrosine kinase transmembrane glycoproteins. These receptors are composed of an N-terminal glycosylated ligand-binding domain, a transmembrane region and an intracellular kinase domain. They bind ligands called ephrins and are involved in diverse cellular processes including motility, division, and differentiation. A distinguishing characteristic of Eph-ephrin signaling is that both receptors and ligands are competent to transduce a signaling cascade, resulting in bidirectional signaling. This protein belongs to a subgroup of the Eph receptors called EphB. Proteins of this subgroup are distinguished from other members of the family by sequence homology and preferential binding affinity for membrane-bound ephrin-B ligands. Allelic variants are associated with prostate and brain cancer susceptibility. Alternative splicing results in multiple transcript variants. [provided by RefSeq, May 2015] |
| Immunogen | KLH conjugated synthetic peptide: human EphB2 |
| Antigen Species | Human |
| Gene Name | EPHB2 |
| Gene ID | |
| Protein Name | Ephrin type-B receptor 2 |
| Uniprot ID | |
| Biology Area | Eph Receptors,Growth Cone,Axonal Guidance Proteins,Kinases,Tyrosine Kinase Receptors,Receptor Tyrosine Kinases |
| Function | Receptor for members of the ephrin-B family. Phosphorylates ARHGEF15, leading to its ubiquitination and degradation by the proteasome which promotes EFNB1-dependent synapse formation. Can function in aspects of retinal ganglion cell axon guidance to the optic disk even when lacking its tyrosine kinase domain. Acts as a tumor suppressor. |
| Molecular Weight | Theoretical: 114 kDa. Actual: 120 kDa. |
| Stability & Storage | Store at -20°C or -80°C for 12 months. Avoid repeated freeze-thaw cycles. |
| Transport | Shipping with blue ice. |
| Size | Quantity | Unit Price | Amount | Operation |
|---|

Copyright © 2015-2026 TargetMol Chemicals Inc. All Rights Reserved.