Shopping Cart
Remove All
Your shopping cart is currently empty
Anti-EGFR Antibody (9H356) is a Rabbit antibody targeting EGFR. Anti-EGFR Antibody (9H356) can be used in ICC/IF,IHC,IP,WB.
| Pack Size | Price | USA Warehouse | Global Warehouse | Quantity |
|---|---|---|---|---|
| 50 μL | $297 | 7-10 days | 7-10 days | |
| 100 μL | $496 | 7-10 days | 7-10 days |
| Description | Anti-EGFR Antibody (9H356) is a Rabbit antibody targeting EGFR. Anti-EGFR Antibody (9H356) can be used in ICC/IF,IHC,IP,WB. |
| Synonyms | PIG61, NISBD2, mENA, LEGFR, HER1, ERBB1, ERBB, EGFR, EC 2.7.10.1, EC 2.7.10 |
| Ig Type | IgG |
| Clone | 9H356 |
| Reactivity | Human,Mouse,Rat |
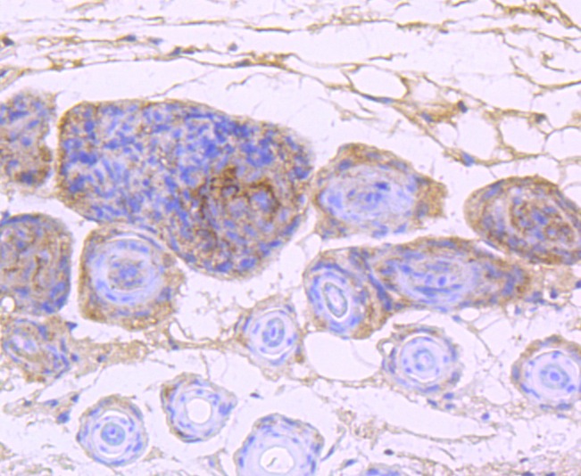
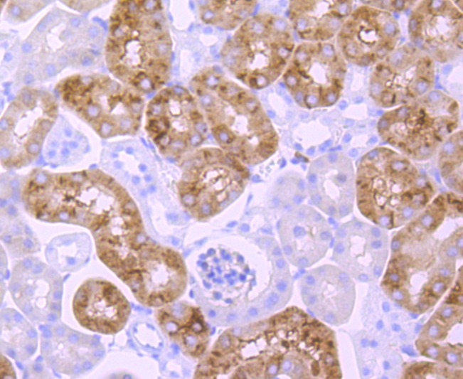
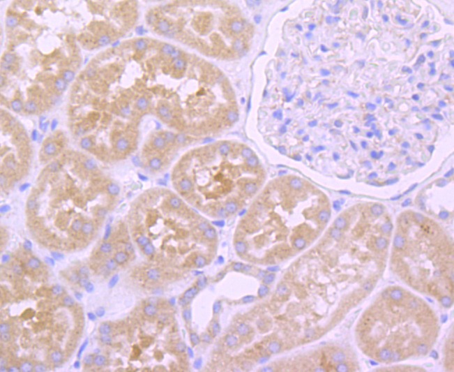
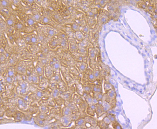
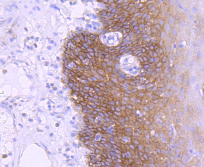
| Verified Activity | 1. Western blot analysis of EGFR on different cell lysates using anti-EGFR at 1/500 dilution. Positive control: Line 1: Hela, Line 2: A431, Line 3: HUVEC. 2. Immunohistochemical analysis of paraffin-embedded human tonsil tissue using anti-EGFR antibody. Counter stained with hematoxylin. 3. Immunohistochemical analysis of paraffin-embedded human kidney tissue using anti-EGFR antibody. Counter stained with hematoxylin. 4. Immunohistochemical analysis of paraffin-embedded mouse liver tissue using anti-EGFR antibody. Counter stained with hematoxylin. 5. Immunohistochemical analysis of paraffin-embedded mouse skin tissue using anti-EGFR antibody. Counter stained with hematoxylin. 6. Immunohistochemical analysis of paraffin-embedded mouse kidney tissue using anti-EGFR antibody. Counter stained with hematoxylin. 7. ICC staining EGFR in Hela cells (red). The nuclear counter stain is DAPI (blue). Cells were fixed in paraformaldehyde, permeabilised with 0.25% Triton X100/PBS. 8. ICC staining EGFR in A431 cells (red). The nuclear counter stain is DAPI (blue). Cells were fixed in paraformaldehyde, permeabilised with 0.25% Triton X100/PBS. 9. ICC staining EGFR in HepG2 cells (red). The nuclear counter stain is DAPI (blue). Cells were fixed in paraformaldehyde, permeabilised with 0.25% Triton X100/PBS. ![]() ![]() ![]() ![]() ![]() ![]() ![]() ![]() ![]() |
| Application | |
| Recommended Dose | WB: 1:1000-2000; IHC: 1:50-200; ICC/IF: 1:50-200; IP: 1:10-50 |
| Antibody Type | Monoclonal |
| Host Species | Rabbit |
| Construction | Recombinant Antibody |
| Purification | ProA affinity purified |
| Appearance | Liquid |
| Formulation | 1*TBS (pH7.4), 1%BSA, 40%Glycerol. Preservative: 0.05% Sodium Azide. |
| Research Background | The EGF receptor family comprises several related receptor tyrosine kinases that are frequently overexpressed in a variety of carcinomas. Members of this receptor family include EGFR (HER1), Neu (ErbB-2, HER2), ErbB-3 (HER3) and ErbB-4 (HER4), which form either homodimers or heterodimers upon ligand binding. Exons in the EGFR gene product are frequently either deleted or duplicated to produce deletion mutants (DM) or tandem duplication mutants (TDM), respectively, which are detected at various molecular weights. EGFR binds several ligands, including epidermal growth factor (EGF), transforming growth factor α (TGFα), Amphiregulin and heparin binding-EGF (HB-EGF). Ligand binding promotes the internalization of EGFR via Clathrin-coated pits and its subsequent degradation in response to its intrinsic tyrosine kinase. EGFR is involved in organ morphogenesis and maintenance and repair of tissues, but upregulation of EGFR is associated with tumor progression. The oncogenic effects of EGFR include initiation of DNA synthesis, enhanced cell growth, invasion and metastasis. Abrogation of EGFR results in cell cycle arrest, apoptosis or dedifferentiation of cancer cells, suggesting that EGFR may be an effective therapeutic target. |
| Conjucates | Unconjugated |
| Immunogen | Recombinant Protein |
| Uniprot ID |
| Molecular Weight | Theoretical: 134 (Observed: 150) kDa. |
| Stability & Storage | Store at -20°C or -80°C for 12 months. Avoid repeated freeze-thaw cycles. |
| Transport | Shipping with blue ice. |
| Size | Quantity | Unit Price | Amount | Operation |
|---|

Copyright © 2015-2026 TargetMol Chemicals Inc. All Rights Reserved.