Shopping Cart
Remove All
Your shopping cart is currently empty
Anti-EFHD1 Antibody (5L981) is a Mouse antibody targeting EFHD1. Anti-EFHD1 Antibody (5L981) can be used in IF,WB.
| Pack Size | Price | USA Warehouse | Global Warehouse | Quantity |
|---|---|---|---|---|
| 50 μL | $216 | 7-10 days | 7-10 days | |
| 100 μL | $318 | 7-10 days | 7-10 days |
| Description | Anti-EFHD1 Antibody (5L981) is a Mouse antibody targeting EFHD1. Anti-EFHD1 Antibody (5L981) can be used in IF,WB. |
| Synonyms | EFHD 1, EF-hand domain family, member D1, EF hand domain family, member D1, EF hand domain containing 1, DKFZp781H0842 |
| Clone | 5L981 |
| Reactivity | Human,Rat,Mouse |
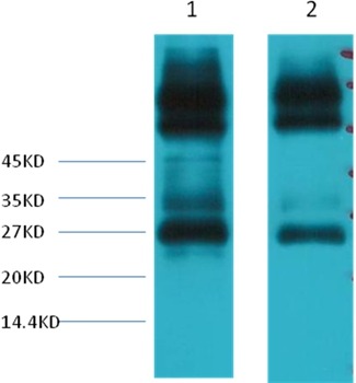
| Verified Activity | 1. Western blot analysis of 1) Mouse spleen tissue, 2) Rat spleen tissue, using TMAC-01236 diluted at 1:3,000. 2. IF analysis of Hela with TMAC-01236(Left) and DAPI (Right) diluted at 1:100. ![]() ![]() |
| Application | |
| Recommended Dose | WB: 1:1000~1:3000;IF: 1:100-200 |
| Antibody Type | Monoclonal |
| Host Species | Mouse |
| Construction | Hybridoma Monoclonal Antibody |
| Purification | Affinity purification using immunogen. |
| Appearance | Liquid |
| Formulation | Mouse IgG1 in phosphate buffered saline (without Mg2+ and Ca2+), pH 7.4, 150mM NaCl, 0.02% sodium azide and 50% glycerol. |
| Research Background | EFHD1 is an EF-hand domain-containing protein that displays increased expression during neuronal differentiation |
| Conjucates | Unconjugated |
| Uniprot ID |
| Molecular Weight | Actual: 26 kDa. |
| Stability & Storage | Store at -20°C or -80°C for 12 months. Avoid repeated freeze-thaw cycles. |
| Transport | Shipping with blue ice. |
| Size | Quantity | Unit Price | Amount | Operation |
|---|

Copyright © 2015-2026 TargetMol Chemicals Inc. All Rights Reserved.