Shopping Cart
Remove All
Your shopping cart is currently empty
Anti-Dysferlin Antibody (4C391) is a Rabbit antibody targeting Dysferlin. Anti-Dysferlin Antibody (4C391) can be used in ICC/IF,IHC,WB.
| Pack Size | Price | USA Warehouse | Global Warehouse | Quantity |
|---|---|---|---|---|
| 50 μL | $297 | 7-10 days | 7-10 days | |
| 100 μL | $497 | 7-10 days | 7-10 days |
| Description | Anti-Dysferlin Antibody (4C391) is a Rabbit antibody targeting Dysferlin. Anti-Dysferlin Antibody (4C391) can be used in ICC/IF,IHC,WB. |
| Synonyms | MMD1, MM, Miyoshi myopathy, Limb girdle muscular dystrophy 2B (autosomal recessive), Limb girdle muscular dystrophy 2B, LGMD2B, LGMD 2B, FLJ90168, FLJ00175, Fer-1-like protein 1, FER1L1, Fer1 like protein 1, Fer 1 like protein 1, Dystrophy-associated fer-1-like protein, Dystrophy associated fer1 like protein, Dystrophy associated fer1 like 1, Dystrophy associated fer 1 like protein, Dystrophy associated fer 1 like 1, Dysferlin limb girdle muscular dystrophy 2B (autosomal recessive), Dysferlin limb girdle muscular dystrophy 2B, Dysferlin, DYSF_HUMAN, DYSF, DMAT |
| Ig Type | IgG |
| Clone | 4C391 |
| Reactivity | Human,Mouse |
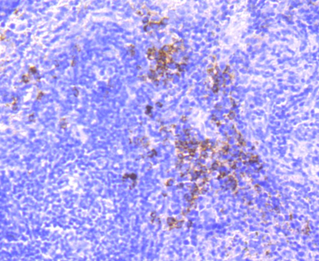
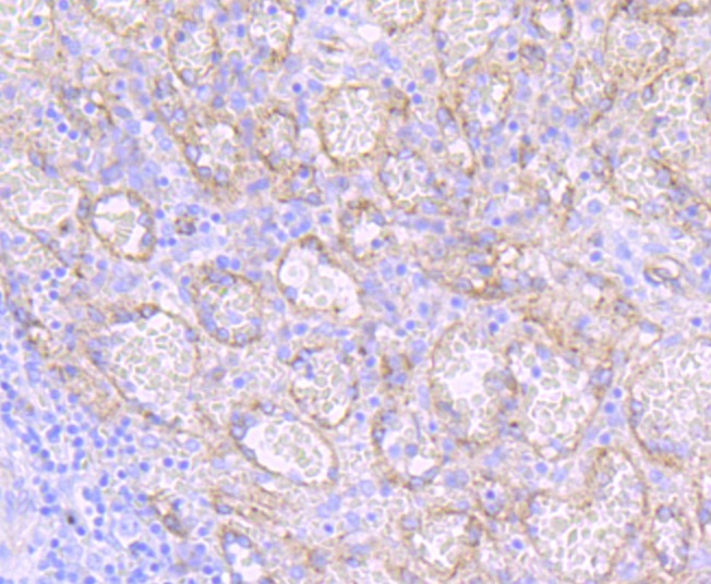
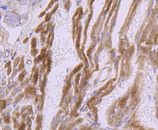
| Verified Activity | 1. Immunohistochemical analysis of paraffin-embedded mouse spleen tissue using anti-Dysferlin antibody. Counter stained with hematoxylin. 2. ICC staining Dysferlin in SW480 cells (red). The nuclear counter stain is DAPI (blue). Cells were fixed in paraformaldehyde, permeabilised with 0.25% Triton X100/PBS. 3. Immunohistochemical analysis of paraffin-embedded human spleen tissue using anti-Dysferlin antibody. Counter stained with hematoxylin. 4. Immunohistochemical analysis of paraffin-embedded mouse skeletal muscle tissue using anti-Dysferlin antibody. Counter stained with hematoxylin. 5. Immunohistochemical analysis of paraffin-embedded mouse heart tissue using anti-Dysferlin antibody. Counter stained with hematoxylin. 6. All lanes use the Antibody at 1:1K dilution for 1 hour at room temperature. ![]() ![]() ![]() ![]() ![]() ![]() |
| Application | |
| Recommended Dose | WB: 1:1000-2000; IHC: 1:100-200; ICC/IF: 1:50-200 |
| Antibody Type | Monoclonal |
| Host Species | Rabbit |
| Construction | Recombinant Antibody |
| Purification | Affinity-chromatography |
| Appearance | Liquid |
| Formulation | Rabbit IgG in 10mM phosphate buffered saline , pH 7.4, 150mM sodium chloride, 0.05% BSA, 0.02% sodium azide and 50% glycerol. |
| Research Background | Key calcium ion sensor involved in the Ca2+-triggered synaptic vesicle-plasma membrane fusion. Plays a role in the sarcolemma repair mechanism of both skeletal muscle and cardiomyocytes that permits rapid resealing of membranes disrupted by mechanical stress. |
| Conjucates | Unconjugated |
| Immunogen | A synthesized peptide: human Dysferlin |
| Antigen Species | human |
| Uniprot ID |
| Molecular Weight | Theoretical: 237 kDa. |
| Stability & Storage | Store at 2°C-8°C for 1 month. Store at -20°C or -80°C for 12 months. Avoid repeated freeze-thaw cycles. |
| Transport | Shipping with blue ice. |
| Size | Quantity | Unit Price | Amount | Operation |
|---|

Copyright © 2015-2026 TargetMol Chemicals Inc. All Rights Reserved.