Shopping Cart
Remove All
Your shopping cart is currently empty
Anti-DNAJC15 Antibody (5Q510) is a Rabbit antibody targeting DNAJC15. Anti-DNAJC15 Antibody (5Q510) can be used in IHC,WB.
| Pack Size | Price | USA Warehouse | Global Warehouse | Quantity |
|---|---|---|---|---|
| 50 μL | $296 | 7-10 days | 7-10 days | |
| 100 μL | $498 | 7-10 days | 7-10 days |
| Description | Anti-DNAJC15 Antibody (5Q510) is a Rabbit antibody targeting DNAJC15. Anti-DNAJC15 Antibody (5Q510) can be used in IHC,WB. |
| Synonyms | Methylation-controlled J protein, Methylation controlled J protein, MCJ, HSD18, GIG22, DNAJD1, DNAJC 15, DnaJ homolog subfamily C member 15, DNAJ domain containing, DnaJ (Hsp40) homolog subfamily C member 15, DJC15_HUMAN, Cell growth-inhibiting gene 22 protein, Cell growth inhibiting gene 22 protein |
| Ig Type | IgG |
| Clone | 5Q510 |
| Reactivity | Human,Mouse,Rat |
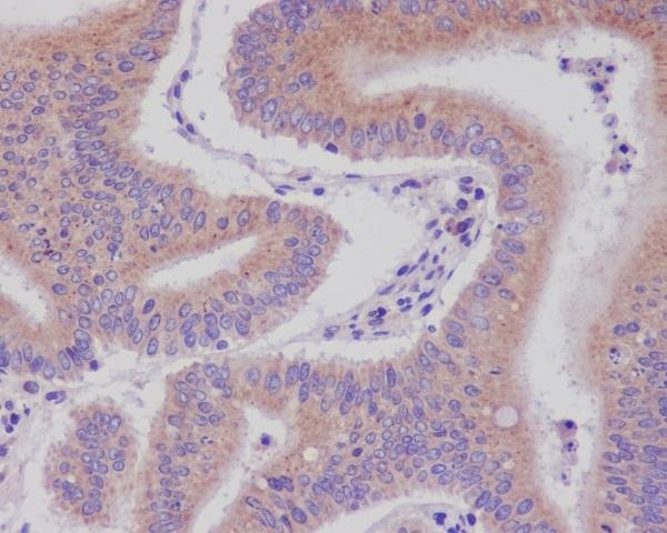
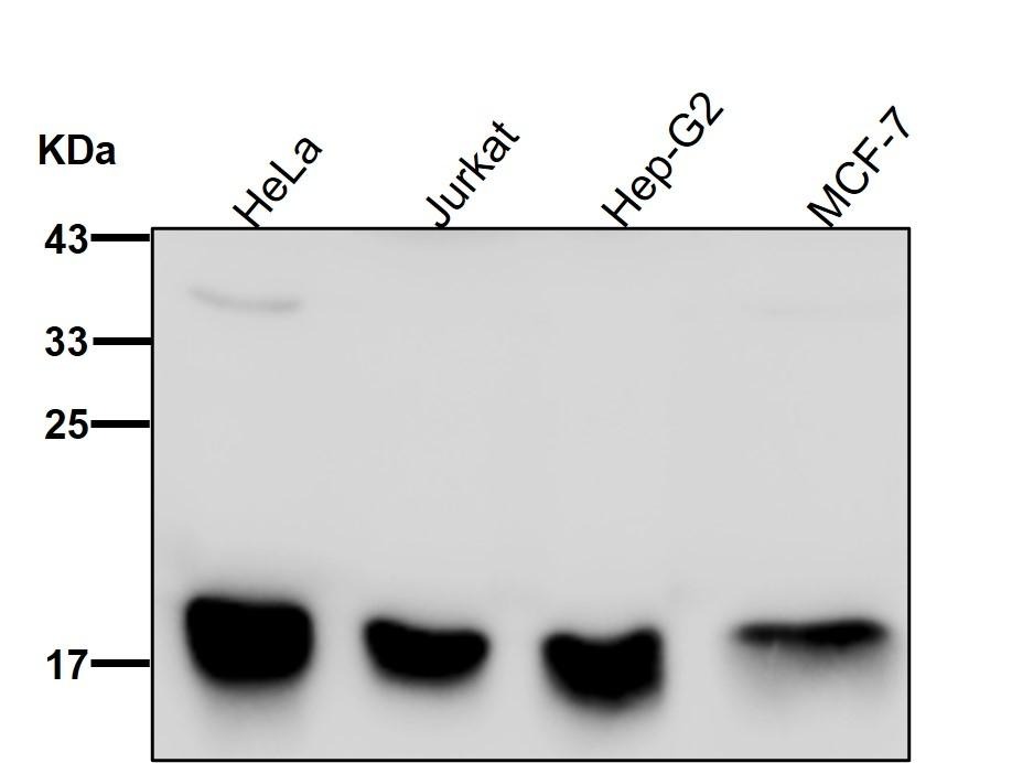
| Verified Activity | 1. All lanes use the Antibody at 1:2K dilution for 1 hour at room temperature. 2. Western blot analysis of DNAJC15 expression in MCF-7 cell lysate. 3. Immunohistochemical analysis of paraffin-embedded human colon carcinoma, using DNAJC15 Antibody. ![]() ![]() ![]() |
| Application | |
| Recommended Dose | WB: 1:1000-2000; IHC: 1:100-200 |
| Antibody Type | Monoclonal |
| Host Species | Rabbit |
| Construction | Recombinant Antibody |
| Purification | Affinity-chromatography |
| Appearance | Liquid |
| Formulation | Rabbit IgG in 10mM phosphate buffered saline , pH 7.4, 150mM sodium chloride, 0.05% BSA, 0.02% sodium azide and 50% glycerol. |
| Research Background | Negative regulator of the mitochondrial respiratory chain. Prevents mitochondrial hyperpolarization state and restricts mitochondrial generation of ATP.Acts as an import component of the TIM23 translocase complex. Stimulates the ATPase activity of HSPA9. |
| Conjucates | Unconjugated |
| Immunogen | Recombinant Protein |
| Uniprot ID |
| Molecular Weight | Theoretical: 16 kDa. |
| Stability & Storage | Store at 2°C-8°C for 1 month. Store at -20°C or -80°C for 12 months. Avoid repeated freeze-thaw cycles. |
| Transport | Shipping with blue ice. |
| Size | Quantity | Unit Price | Amount | Operation |
|---|

Copyright © 2015-2026 TargetMol Chemicals Inc. All Rights Reserved.