Shopping Cart
Remove All
Your shopping cart is currently empty
Anti-DLK1 Polyclonal Antibody is a Rabbit antibody targeting DLK1. Anti-DLK1 Polyclonal Antibody can be used in IF, IHC-Fr, IHC-P, WB.
| Pack Size | Price | USA Stock | Global Stock | Quantity |
|---|---|---|---|---|
| 50 μL | $221 | 7-10 days | 7-10 days | |
| 100 μL | $373 | 7-10 days | 7-10 days | |
| 200 μL | $528 | 7-10 days | 7-10 days |
| Description | Anti-DLK1 Polyclonal Antibody is a Rabbit antibody targeting DLK1. Anti-DLK1 Polyclonal Antibody can be used in IF, IHC-Fr, IHC-P, WB. |
| Synonyms | ZOG, secredeltin, Pref1, pG2, FA1, DLK-1, DLK1, DLK |
| Ig Type | IgG |
| Reactivity | Mouse,Rat (predicted:Human,Rabbit,Sheep) |
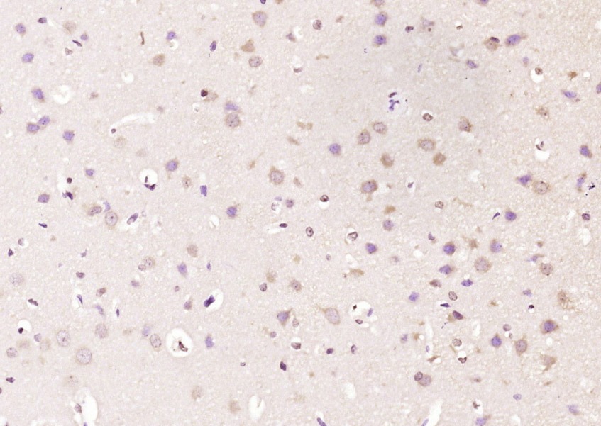
| Verified Activity | 1. Paraformaldehyde-fixed, paraffin embedded (rat brain); Antigen retrieval by boiling in sodium citrate buffer (pH6.0) for 15 min; Block endogenous peroxidase by 3% hydrogen peroxide for 20 min; Blocking buffer (normal goat serum) at 37°C for 30 min; Antibody incubation with (DLK1) Polyclonal Antibody, Unconjugated (TMAB-00553) at 1:200 overnight at 4°C, followed by operating according to SP Kit (Rabbit) instructionsand DAB staining. 2. Sample: Lane 1: Mouse Cerebrum tissue lysates Lane 2: Rat Cerebrum tissue lysates Primary: Anti-DLK1 (TMAB-00553) at 1/1000 dilution Secondary: IRDye800CW Goat Anti-Rabbit IgG at 1/20000 dilution Predicted band size: 42 kDa Observed band size: 45 kDa ![]() ![]() |
| Application | |
| Recommended Dose | WB: 1:500-2000; IHC-P: 1:100-500; IHC-Fr: 1:100-500; IF: 1:100-500 |
| Antibody Type | Polyclonal |
| Host Species | Rabbit |
| Subcellular Localization | Membrane; Single-pass type I membrane protein. |
| Tissue Specificity | Highly expressed in fetal liver, placenta, adult adrenal gland, brain, testis and ovary and, to a lesser degree, in adult kidney, muscle, thymus and heart. |
| Construction | Polyclonal Antibody |
| Purification | Protein A purified |
| Appearance | Liquid |
| Formulation | 0.01M TBS (pH7.4) with 1% BSA, 0.02% Proclin300 and 50% Glycerol. |
| Concentration | 1 mg/mL |
| Research Background | This gene encodes a transmembrane protein containing six epidermal growth factor repeats. The protein is involved in the differentiation of several cell types, including adipocytes; it is also thought to be a tumor suppressor. It is one of several imprinted genes located in a region of on chr 14q32. Certain mutations in this imprinted region can cause phenotypes similar to maternal and paternal uniparental disomy of chromosome 14 (UPD14). This gene is expressed from the paternal allele. A polymorphism within this gene has been associated with child and adolescent obesity. The mode of inheritance for this polymorphism is polar overdominance; this non-Mendelian inheritance pattern was first described in sheep with the callipyge phenotype, which is characterized by muscle hypertrophy and decreased fat mass. [provided by RefSeq, Mar 2010]. |
| Immunogen | KLH conjugated synthetic peptide: sheep DLK1 |
| Antigen Species | Sheep |
| Gene Name | DLK1 |
| Protein Name | Protein delta homolog 1 |
| Biology Area | Hypothalamic pituitary adrenal axis,Neurogenesis,Calcium Binding Proteins,Surface Molecules |
| Function | May have a role in neuroendocrine differentiation. Inhibits adipocyte differentiation. |
| Molecular Weight | Theoretical: 42 kDa. Actual: 45 kDa. |
| Stability & Storage | Store at -20°C or -80°C for 12 months. Avoid repeated freeze-thaw cycles. |
| Transport | Shipping with blue ice. |
| Size | Quantity | Unit Price | Amount | Operation |
|---|

Copyright © 2015-2026 TargetMol Chemicals Inc. All Rights Reserved.