Shopping Cart
Remove All
Your shopping cart is currently empty
Anti-DIO2 Polyclonal Antibody is a Rabbit antibody targeting DIO2. Anti-DIO2 Polyclonal Antibody can be used in IF,IHC-Fr,IHC-P,WB.
| Pack Size | Price | USA Warehouse | Global Warehouse | Quantity |
|---|---|---|---|---|
| 50 μL | $220 | 7-10 days | 7-10 days | |
| 100 μL | $373 | 7-10 days | 7-10 days | |
| 200 μL | $528 | 7-10 days | 7-10 days |
| Description | Anti-DIO2 Polyclonal Antibody is a Rabbit antibody targeting DIO2. Anti-DIO2 Polyclonal Antibody can be used in IF,IHC-Fr,IHC-P,WB. |
| Synonyms | Type II iodothyronine deiodinase, Type II 5' deiodinase, Type 2 DI, TXDI2, Thyroxine deiodinase, type II, SelY, ITDI2, DIOII, Deiodinase, iodothyronine, type II, D2, 5DII |
| Ig Type | IgG |
| Reactivity | Human,Mouse,Rat (predicted:Dog,Pig,Cow,Horse,Rabbit,Sheep) |
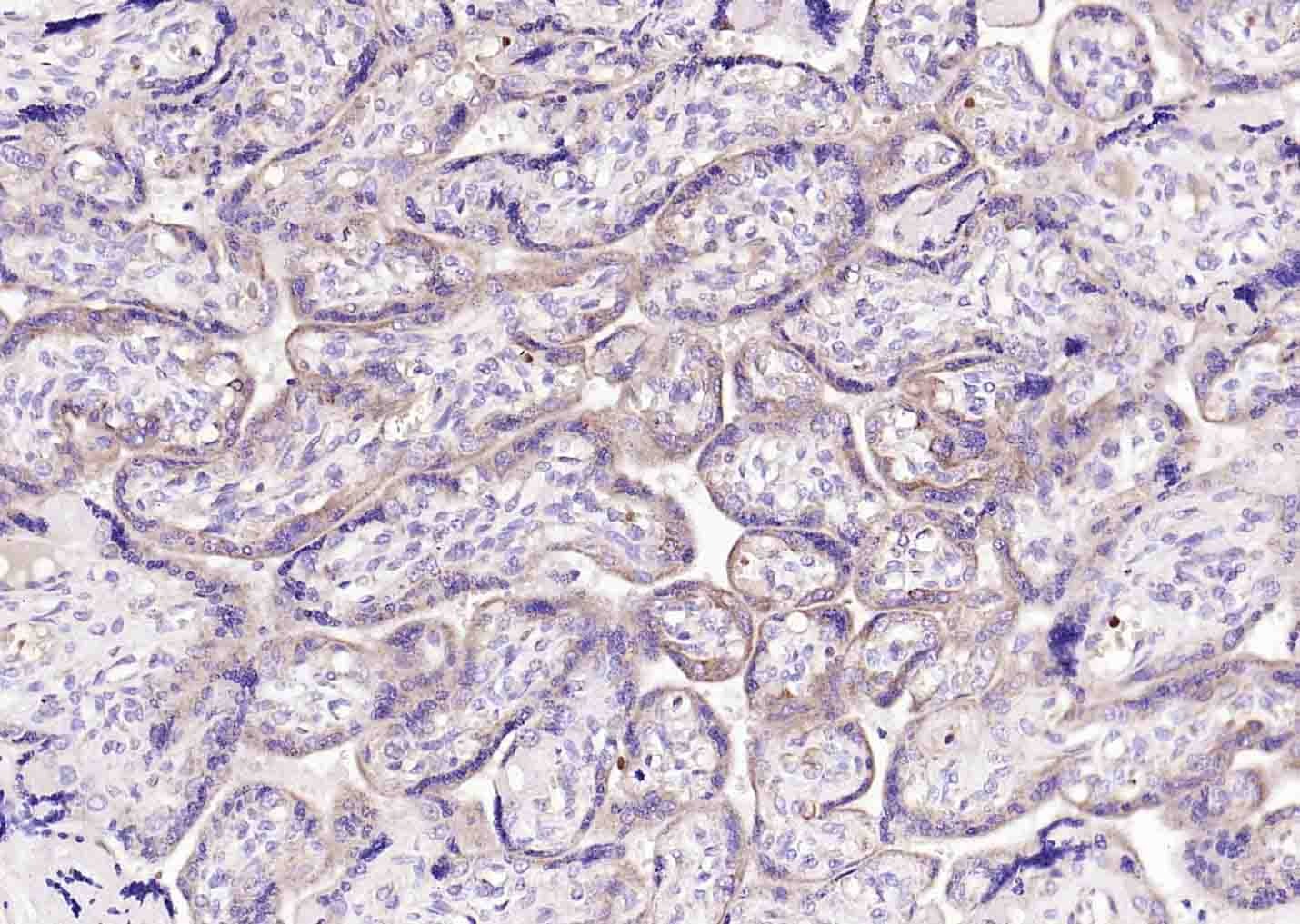
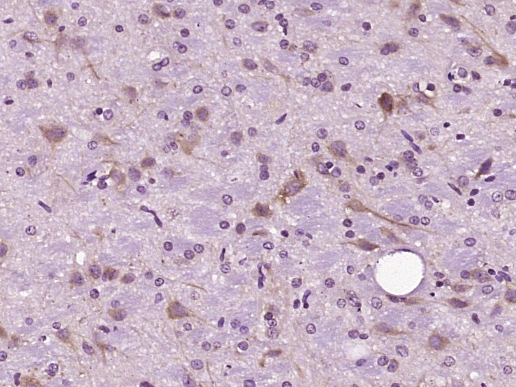
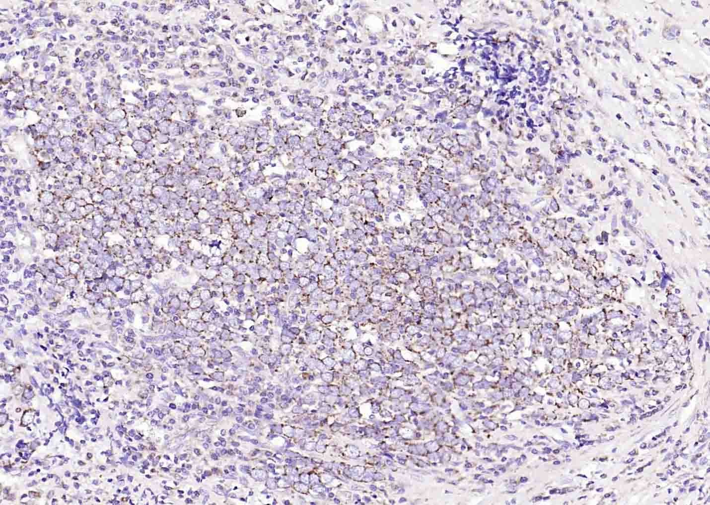
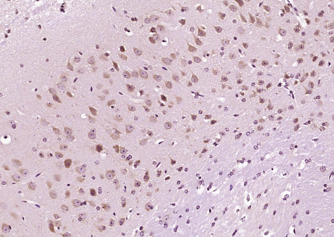
| Verified Activity | 1. Sample: Heart (Mouse) Lysate at 40 μg Primary: Anti-DIO2 (TMAB-00548) at 1/1000 dilution Secondary: IRDye800CW Goat Anti-Rabbit IgG at 1/20000 dilution Predicted band size: 30 kDa Observed band size: 30 kDa 2. Paraformaldehyde-fixed, paraffin embedded (Mouse brain); Antigen retrieval by boiling in sodium citrate buffer (pH6.0) for 15 min; Block endogenous peroxidase by 3% hydrogen peroxide for 20 min; Blocking buffer (normal goat serum) at 37°C for 30 min; Antibody incubation with (DIO2) Polyclonal Antibody, Unconjugated (TMAB-00548) at 1:400 overnight at 4°C, followed by operating according to SP Kit (Rabbit) instructionsand DAB staining. 3. Paraformaldehyde-fixed, paraffin embedded (Rat brain); Antigen retrieval by boiling in sodium citrate buffer (pH6.0) for 15 min; Block endogenous peroxidase by 3% hydrogen peroxide for 20 min; Blocking buffer (normal goat serum) at 37°C for 30 min; Antibody incubation with (DIO2) Polyclonal Antibody, Unconjugated (TMAB-00548) at 1:400 overnight at 4°C, followed by operating according to SP Kit (Rabbit) instructions and DAB staining. 4. Paraformaldehyde-fixed, paraffin embedded (Thyroid tumor); Antigen retrieval by boiling in sodium citrate buffer (pH6.0) for 15 min; Block endogenous peroxidase by 3% hydrogen peroxide for 20 min; Blocking buffer (normal goat serum) at 37°C for 30 min; Incubation with (DIO2) Polyclonal Antibody, Unconjugated (TMAB-00548) at 1:200 overnight at 4°C, followed by operating according to SP Kit (Rabbit) instructionsand DAB staining. 5. Paraformaldehyde-fixed, paraffin embedded (human placenta); Antigen retrieval by boiling in sodium citrate buffer (pH6.0) for 15 min; Block endogenous peroxidase by 3% hydrogen peroxide for 20 min; Blocking buffer (normal goat serum) at 37°C for 30 min; Incubation with (DIO2) Polyclonal Antibody, Unconjugated (TMAB-00548) at 1:200 overnight at 4°C, followed by operating according to SP Kit (Rabbit) instructionsand DAB staining. ![]() ![]() ![]() ![]() ![]() |
| Application | |
| Recommended Dose | WB: 1:500-2000; IHC-P: 1:100-500; IHC-Fr: 1:100-500; IF: 1:100-500 |
| Antibody Type | Polyclonal |
| Host Species | Rabbit |
| Subcellular Localization | Membrane; Single-pass membrane protein (Potential). |
| Tissue Specificity | Heart, skeletal muscle, placenta, fetal brain and several regions of the adult brain. |
| Construction | Polyclonal Antibody |
| Purification | Protein A purified |
| Appearance | Liquid |
| Formulation | 0.01M TBS (pH7.4) with 1% BSA, 0.02% Proclin300 and 50% Glycerol. |
| Concentration | 1 mg/mL |
| Research Background | DIO2 belongs to the iodothyronine deiodinase family and is responsible for the deiodination of T4 (3,5,3',5'-tetraiodothyronine) into T3 (3,5,3'-triiodothyronine). It is essential for providing the brain with appropriate levels of T3 during the critical period of development. DIO2 is expressed in heart, skeletal muscle, placenta, fetal brain and several regions of the adult brain. There are two named isoforms. |
| Immunogen | KLH conjugated synthetic peptide: human DIO2 |
| Antigen Species | Human |
| Gene Name | DIO2 |
| Gene ID | |
| Protein Name | Type II iodothyronine deiodinase |
| Uniprot ID | |
| Biology Area | Hormone biosynthesis,Hormone biosynthesis,Cancer,Thyroid axis,Hormones |
| Function | Responsible for the deiodination of T4 (3,5,3',5'-tetraiodothyronine) into T3 (3,5,3'-triiodothyronine). Essential for providing the brain with appropriate levels of T3 during the critical period of development. |
| Molecular Weight | Theoretical: 30 kDa. |
| Stability & Storage | Store at -20°C or -80°C for 12 months. Avoid repeated freeze-thaw cycles. |
| Transport | Shipping with blue ice. |
| Size | Quantity | Unit Price | Amount | Operation |
|---|

Copyright © 2015-2026 TargetMol Chemicals Inc. All Rights Reserved.