Shopping Cart
Remove All
Your shopping cart is currently empty
Synonyms: Protein diaphanous homolog 1, p140DIA, low frequency hearing loss 1, LFHL1, hDIA1, FLJ25265, DRF1, Diaphanous-related formin-1, Diaphanous related formin 1, Diaphanous homolog 1 (Drosophila), diaphanous homolog 1, DIAPH1, DIAPH 1, DIAP1_HUMAN, DIAP1, DIA1, DFNA1, deafness, autosomal dominant 1
| Pack Size | Price | USA Stock | Global Stock | Quantity |
|---|---|---|---|---|
| 50 μL | $297 | 7-10 days | 7-10 days | |
| 100 μL | $497 | 7-10 days | 7-10 days |
| Description | Anti-DIAPH1 Antibody (6T639) is a Rabbit antibody targeting DIAPH1. Anti-DIAPH1 Antibody (6T639) can be used in ICC,IF,IHC,WB. |
| Synonyms | Protein diaphanous homolog 1, p140DIA, low frequency hearing loss 1, LFHL1, hDIA1, FLJ25265, DRF1, Diaphanous-related formin-1, Diaphanous related formin 1, Diaphanous homolog 1 (Drosophila), diaphanous homolog 1, DIAPH1, DIAPH 1, DIAP1_HUMAN, DIAP1, DIA1, DFNA1, deafness, autosomal dominant 1 |
| Ig Type | IgG |
| Clone | 6T639 |
| Reactivity | Human |
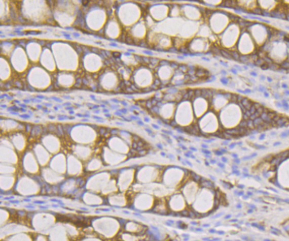
| Verified Activity | 1. Western blot analysis of DIAPH1 on SiHa cell lysate using anti-DIAPH1 antibody at 1/5,000 dilution. 2. Immunohistochemical analysis of paraffin-embedded human liver cancer tissue using anti-DIAPH1 antibody. Counter stained with hematoxylin. 3. Immunohistochemical analysis of paraffin-embedded human colon tissue using anti-DIAPH1 antibody. Counter stained with hematoxylin. 4. ICC staining DIAPH1 in LOVO cells (green). The nuclear counter stain is DAPI (blue). Cells were fixed in paraformaldehyde, permeabilised with 0.25% Triton X100/PBS. |
| Application | |
| Recommended Dose | WB: 1:5000-10000; IHC: 1:50-100; ICC: 1:50 |
| Antibody Type | Monoclonal |
| Host Species | Rabbit |
| Construction | Recombinant Antibody |
| Purification | ProA affinity purified |
| Appearance | Liquid |
| Formulation | 1*TBS (pH7.4), 1%BSA, 40%Glycerol. Preservative: 0.05% Sodium Azide. |
| Research Background | Dia 1, also known as DIAPH1 (diaphanous homolog 1) or DRF1, a mammalian homolog of the Drosophila diaphanous gene, belongs to a family of formin homology (FH) proteins which are characterized by having tandemly aligned FH1 (formin homology 1) and FH2 (formin homology 2) domains in their carboxy terminal regions. Dia 1 contains a DAD (diaphanous autoregulatory) domain, which is involved in the elongation of actin filaments, and a GBD/FH3 (Rho GTPase-binding/formin homology 3) domain, which interacts with the DAD domain via autoinhibitory interactions to regulate the activation of Dia 1. Dia 1 is required for the assembly of F-actin structures, and regulates the polymerization and depolymerization of actin filaments. Localizing to the cell membrane, Dia 1 is expressed in a wide range of tissues, including brain, heart, lung and kidney. Defects to the gene encoding Dia 1 have been linked to deafness autosomal dominant type 1 (DFNA1), a disorder characterized by sensorineural hearing loss.. |
| Conjucates | Unconjugated |
| Immunogen | Recombinant Protein: N-terminal human DIAPH1 |
| Antigen Species | human |
| Uniprot ID |
| Molecular Weight | Theoretical: 141 kDa. |
| Stability & Storage | Store at -20°C or -80°C for 12 months. Avoid repeated freeze-thaw cycles. |
| Transport | Shipping with blue ice. |
| Size | Quantity | Unit Price | Amount | Operation |
|---|

Copyright © 2015-2026 TargetMol Chemicals Inc. All Rights Reserved.