Shopping Cart
Remove All
Your shopping cart is currently empty
Anti-Di-methyl-HIST1H3A (Lys27) Polyclonal Antibody is a Rabbit antibody targeting Di-methyl-HIST1H3A (Lys27). Anti-Di-methyl-HIST1H3A (Lys27) Polyclonal Antibody can be used in IHC,WB.
| Pack Size | Price | USA Warehouse | Global Warehouse | Quantity |
|---|---|---|---|---|
| 50 μL | $217 | 7-10 days | 7-10 days | |
| 100 μL | $317 | 7-10 days | 7-10 days |
| Description | Anti-Di-methyl-HIST1H3A (Lys27) Polyclonal Antibody is a Rabbit antibody targeting Di-methyl-HIST1H3A (Lys27). Anti-Di-methyl-HIST1H3A (Lys27) Polyclonal Antibody can be used in IHC,WB. |
| Synonyms | Histone H3K27-dimethylated, H3K27me2, Di-methyl-HIST1H3A (K27), Di-Me-HIST1H3A (Lys27), Di-Me-HIST1H3A (K27), DiMe-H3K27 |
| Ig Type | IgG |
| Reactivity | Human,Mouse,Rat |
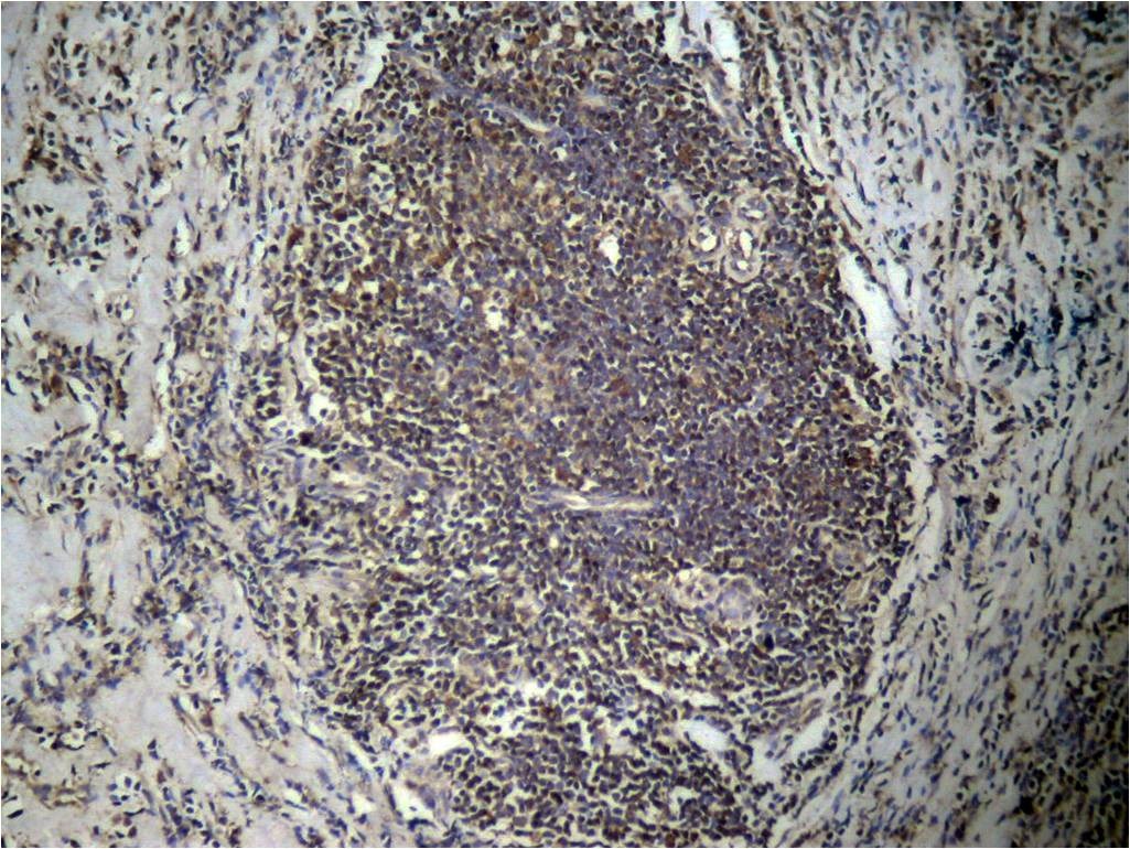
| Verified Activity | 1. Western blot analysis of extracts from C6 and Hela cells using Histone H3 (Di-Methyl-Lys27) Antibody TMAC-01882. 2. Immunohistochemical analysis of paraffin-embedded human breast carcinoma tissue using Histone H3 (Di-Methyl-Lys27) Antibody TMAC-01882. ![]() ![]() |
| Application | |
| Antibody Type | Polyclonal |
| Host Species | Rabbit |
| Construction | Polyclonal Antibody |
| Purification | Antibodies were produced by immunizing rabbits with synthetic phosphopeptide and KLH conjugates. Antibodies were purified by affinity-chromatography using epitope-specific phosphopeptide. Non-phospho specific antibodies were removed by chromatogramphy using non-phosphopeptide. |
| Appearance | Liquid |
| Formulation | Supplied at 1.0mg/mL in phosphate buffered saline (without Mg2+ and Ca2+), pH 7.4, 150mM NaCl, 0.02% sodium azide and 50% glycerol. |
| Research Background | Core component of nucleosome. Nucleosomes wrap and compact DNA into chromatin, limiting DNA accessibility to the cellular machineries which require DNA as a template. Histones thereby play a central role in transcription regulation, DNA repair, DNA replication and chromosomal stability. DNA accessibility is regulated via a complex set of post-translational modifications of histones, also called histone code, and nucleosome remodeling. |
| Conjucates | Unconjugated |
| Others Formats | Methylated/Acetylated |
| Immunogen | Peptide sequence around Di-Methylation site of lysine 27(A-R-K(di-methyl)-S-A) derived from Human Histone H3 |
| Antigen Species | human |
| Uniprot ID |
| Molecular Weight | Actual: 17 kDa. |
| Stability & Storage | Store at -20°C or -80°C for 12 months. Avoid repeated freeze-thaw cycles. |
| Transport | Shipping with blue ice. |
| Size | Quantity | Unit Price | Amount | Operation |
|---|

Copyright © 2015-2026 TargetMol Chemicals Inc. All Rights Reserved.